Mikroalgen mit "Fischölen"
Biologen des IGB weisen Nannochloropsis erstmals in Binnengewässern Nord- und Mitteldeutschlands nach / Hoher Anteil an blutfettgehalt- und blutdruck-senkenden hochwertigen w3-Fettsäuren
Nannochloropsis ist eine Gattung einzelliger Algen mit gelbgrünen Farbstoffen (Algenklasse: Eustigmatophyceae). Sie wurde bisher ausschließlich im Plankton der Meere gefunden und in der marinen Fischhaltung (Aquakultur) intensiv als Lebendfutter bei der Aufzucht von Meereskrabben, Muscheln und Fischbrut genutzt. Nannochloropsis ist deshalb so interessant, weil sie sich gut kultivieren läßt und einen sehr hohen Anteil an essentiellen Fettsäuren besitzt. Diese Fettsäuren sind auch die Ursache für das gute Wachstum der Jungfische, wenn sie mit dieser Alge gefüttert werden.
Arten von Nannochloropsis wachsen als winzig kleine, kugelförmige oder ellipsoide Einzelzeller von ca. 2-3 Mikrometern Durchmesser; sie werden daher in die Gruppe der Picoplankter eingeordnet. Diese Organismen sind infolge ihres günstigen Oberflächen/Volumen-Verhältnisses sehr stoffwechselaktiv (sie produzieren photosynthetisch Algenbiomasse) und stehen damit am Beginn von Nahrungsketten in Gewässerökosystemen.
Nachweis auch in Binnengewässern
Unlängst ist es einer Gruppe von Biologen im IGB gelungen, auch in Binnengewässern Nord- und Mitteldeutschlands Nannochloropsis nachzuweisen. Die neue Art Nannochloropsis limnetica kommt in kleinen Seen und Dorfteichen vor und kann dort Zelldichten von 250 - 500 Millionen Zellen pro Liter erreichen. Das entspricht etwa einer Biomasse (Frischmasse) von 2 - 6 Milligramm pro Liter. Das Wasser wird dadurch intensiv bräunlich-grün gefärbt.
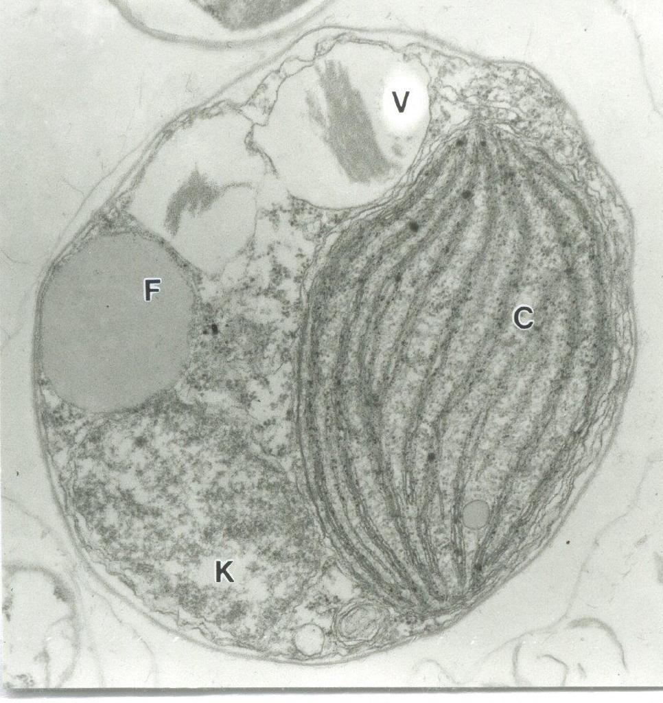
Die Zellen von Nannochloropsis limnetica sind so winzig, dass lediglich ein Minimal-Set lebenswichtiger Organellen in die Zellen passt: Zellkern, Chloroplast, Mitochondrium und Vakuolen. Besonders auffällig im elektronenmikroskopischen Bild sind die Fetttröpfchen (siehe Abbildung).
Für Süßwasser bisher einmalige Zusammensetzung an hochwertigen Fettsäuren
Den Wissenschaftlern ist es gelungen, diese Alge zu isolieren und Kulturen daraus zu gewinnen. So konnte auch der Fettsäuregehalt der Zellen überprüft werden. Kulturen von Nannochloropsis können etwa die doppelte Menge an Fettsäuren enthalten als bisher bei marinen Species nachgewiesen wurde. Etwa 10 Prozent der Algenfrischmasse bestehen aus Kohlenstoff. Bei Nannochloropsis limnetica sind gut 30 Prozent des Kohlenstoffs Fettsäuren. Auch andere Süßwasseralgen, besonders Kieselagen, verfügen über einen hohen Fettsäuregehalt. Aber Nannochloropsis hat eine im Phytoplankton des Süßwassers bisher einmalige Zusammensetzung der Fettsäuren, speziell der hohe Anteil der auch für die menschliche Ernährung so hochwertigen w3-Fettsäure (Omega 3 Fettsäuren) Eicosapentaensäure ist interessant. Diese Fettsäure ist wesentlicher Bestandteil des Fischöls. w3-Fettsäuren senken den Blutfettgehalt und den Blutdruck und beugen Herz-Kreislauf-Erkrankungen vor.
Derzeit prüfen die Wissenschaftler, wie diese Alge in limnischen Aquakulturen eingesetzt werden kann. Erste Ansätze bestehen bei Fraß-Experimenten mit Wasserflöhen und Fütterungsversuchen mit der Süßwasser-Dreikantmuschel Dreissena polymorpha. Fischbrutfütterungsversuche sind am IGB in Vorbereitung.
Kontakt: L. Krienitz, Tel. (03 30 82) 699 26, e-mail: krie@igb-berlin.de
Bildunterschrift:
Zelle der Alge Nannochloropsis limnetica im Elektronenmikroskop. Zelldurchmesser: 2 Mikrometer. Abkürzungen: C = Chloroplast, F = Fetttropfen, K = Zellkern, V = Vakuole. Abbildung: V. Sasse; L. Krienitz / Institut für Gewässerökologie und Binnenfischerei
Weitere Informationen:
http://www.igb-berlin.de
Die semantisch ähnlichsten Pressemitteilungen im idw