Neuartiger diagnostischer Herzkatheter zur indirekten Koronarangiographie vorgestellt
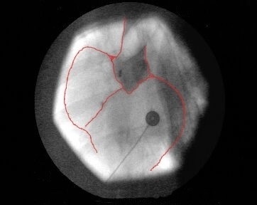
Die Fraunhofer-Technologie-Entwicklungsgruppe TEG in Stuttgart hat den Funktionsnachweis für einen völlig neuartigen diagnostischen Herzkatheter zur indirekten Koronarangiographie und Laevoventrikulographie erbracht. Sein Prinzip beruht auf der Verstärkung des (physiologischen) diastolischen koronaren Blutflusses mit Hilfe eines EKG-getriggerten supraaortalen Ballons und gleichzeitiger Kontrastmittelinjektion in Nähe der Koronarostien [s. Bild 1]. Hierdurch wird über mehrere Herzzyklen eine angiographische Darstellung der Koronararterien erzielt, ohne dass die Koronarostien sondiert werden müssen. Dies führt bei konventioneller Vorgehensweise immer wieder zu Komplikationen. Gefürchtet sind insbesondere die Auslösung von Herzrhythmusstörungen, die Ruptur hauptstammnaher Atherome sowie Gefäßdissektionen.
Derartige Zwischenfälle sind mit dem neuartigen Katheter nicht zu erwarten. Denn einerseits werden die Koronargefäße nicht invasiv exploriert, andererseits behält das Kontrastmittel-Blutgemisch während der Untersuchung einen deutlich höheren Sauerstoffanteil. Weitere Vorteile sind die ca. 50 Prozent schnellere Untersuchung mit entsprechend verminderter Strahlenbelastung für Patient und Untersucher sowie ein geringeres Infektionsrisiko durch Entfallen jeglicher Katheterwechsel. Da dieser Katheter auch zu der normalerweise meist vorweg durchgeführten Linksherzdarstellung geeignet ist, kann er die Funktion von mindestens drei Kathetern nach konventioneller Methode ersetzen. Darüber hinaus erscheint er besonders geeignet zum Auffinden aortokoronarer Bypassabgänge, was bislang oft sehr zeitaufwendig und mit erheblichem Kontrastmitteleinsatz sowie hoher Strahlenbelastung verbunden ist. Ein positiver Nebeneffekt ist die technisch einfachere Durchführung für den Untersucher, da der Katheter nach einmaliger Röntgenkontrolle in seiner korrekten Position verbleiben kann. Die Einführung in die Aorta kann wie bei konventionellen Koronarkathetern über eine A. femoralis-Schleuse erfolgen.
Der Katheter wurde von zwei deutschen Medizinern erfunden, die das Arbeitsprinzip in Kooperation mit der Fraunhofer TEG bis zum Funktionsnachweis begleitet und weiterentwickelt haben. Die in-vivo Versuche wurden zur größtmöglichen Annäherung an menschliche anatomische Verhältnisse an geeigneten Tiermodellen durchgeführt, wobei eine freundliche Unterstützung durch die herzchirurgische Klinik München-Großhadern und das Steinbeis-Transferzentrum für Gesundheitstechnologie in Tübingen erfolgte.
Als Referenz für die Darstellungsqualität wurden jeweils Koronarangiographien der Herzkranzgefäße in konventioneller Methode von einem Kardiologen durchgeführt [siehe Bild 2]. Es konnte gezeigt werden, dass die neuartige Methode einer indirekten Koronarangiographie in jedem modernen Herzkatheterlabor ohne zusätzliche Investitionen praktikabel ist. In den Versuchen gelang eine überzeugende gleichzeitige Darstellung beider Herzkranzgefäße [siehe Bild 1]. Weiterhin konnte auch die linke Herzkammer in gewohnter Qualität abgebildet werden.
Die Funktionsfähigkeit des neuen Katheters konnte mit relativ einfachen Mitteln nachgewiesen werden. In der Feinabstimmung der Methode, z.B. hinsichtlich der Steuerzeiten bei verschiedenen Herzfrequenzen, wird daher noch ein beträchtliches Potenzial für eine weitere Verbesserung der Darstellungsqualität gesehen.
Diese Neuentwicklung bleibt auch vor dem Hintergrund der jüngsten Erfolge nicht-invasiver koronardiagnostischer Verfahren wie EBT, Ultrafast-CT und Mehrzeilen-CT interessant, da zum einen deren Darstellungsqualität insbesondere nicht kalzifizierender Stenosen noch unbefriedigend ist. Zum anderen ist auch auf lange Sicht noch keine flächendeckende Versorgung mit diesen teuren Geräten zu erwarten. Und schließlich möchten kleinere und mittlere Katheterlabors ihr Equipment weiterhin nutzen und amortisieren. Hierbei kann der neue Ballonkatheter einerseits den Richtungswechsel zu weniger Invasivität einleiten und andererseits helfen, die Schwächen der neuen nicht-invasiven radiologischen Verfahren durch begleitende lokale Kontrastmittelapplikation auszugleichen.
Derzeit werden Kontakte mit medizintechnischen Unternehmen mit dem Ziel einer Weiterentwicklung und Markteinführung dieses innovativen Herzkatheters aufgenommen.
Dr. med. Thomas Wolffgram
Ansprechpartner
Fraunhofer-Technologie-Entwicklungsgruppe Stuttgart
Dipl.-Ing. Armin Grab
Telefon: 0711-970-3728
email: aag@teg.fhg.de
Ähnliche Pressemitteilungen im idw