Gießener Mediziner bei Jubiläumsexpedition zum Mount Everest dabei
Ziel: Wissenschaftliche Erkenntnisse für die Therapie von Herz- und Lungenerkrankungen - Pressegespräch am 7. März 2003 um 14 Uhr
Ärzte der Universität Gießen werden die internationale Bergsteigergruppe auf der Jubiläumsexpedition zum Mount Everest im April und Mai 2003 begleiten, die am 29. Mai, genau 50 Jahre nach der Erstbesteigung durch Edmund Hillary wieder den Gipfel des höchsten Berges der Erde erklimmen wollen (http://www.everest-2003.com). Unter der Leitung des Gießener Pneumologen und Intensivmediziners Prof. Dr. Friedrich Grimminger werden Dr. Ardeschir Ghofrani, Dr. Eike Mrosek, Dr. Frank Reichenberger und Dr. Markus Kohstall vom Zentrum für Innere Medizin der Justus-Liebig-Universität sowie Dr. Peter Becker aus Bad Tölz bei dieser Gelegenheit Veränderungen der Herz- und Lungenfunktion in extremen Höhen untersuchen. Zu einem Pressegespräch am Freitag, den 7. März 2003, um 14 Uhr in der Medizinischen Klinik II (Sekretariat von Prof. Grimminger, Klinikstraße 36, 35392 Gießen) laden wir Sie recht herzlich ein.
Sowohl bei Bergsteigern und Höhen-Rettungsteams als auch bei Bewohnern großer Höhen kommt es zu Fehlfunktionen der Herz- und Lungensysteme, die nur zum Teil durch Akklimatisation kompensiert werden können. Der in großen Höhen herrschende Sauerstoffmangel bewirkt dramatische Reaktionen der Lungengefäße, die bei nicht-akklimatisierten Personen bis hin zum akuten Kreislauf- und Lungenversagen mit teils tödlichem Ausgang führen können.
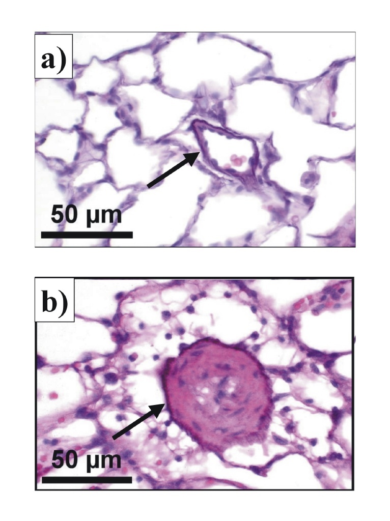
Die Akklimatisation bedeutet unter anderem, dass der Muskel der rechten Herzkammer sich den erhöhten Drucken im Lungenkreislauf allmählich durch eine Zunahme seiner Muskelmasse und Pumpkraft anpasst. Dennoch kann es bei längerem Aufenthalt in großen Höhen bei zunehmender Verdickung der Lungengefäßwände (Abbildung 1) zu einer schleichenden Überlastung des rechten Herzens und Abnahme der körperlichen Belastbarkeit kommen. Ein längerer Aufenthalt in Höhen über 5500 m kann auf Dauer nicht überlebt werden. In der Todeszone ab 7000 m ist ein Überleben ohne Hilfsmittel sogar nur für wenige Stunden bis Tage möglich.
Die durch Sauerstoffmangel bedingten Veränderungen bei Extrembergsteigern und Höhenbewohnern haben nach Ansicht der Gießener Mediziner Modellcharakter für eine Vielzahl von Herz- und Lungenerkrankungen, wie z.B. die Chronisch Obstruktive Lungenerkrankung, Lungenfibrose, Lungenhochdruck, angeborene Herzfehler, chronisches Linksherzversagen oder akute und chronische Lungenembolien. Bei diesen Erkrankungen kommt es ebenfalls zu chronischen Umbauvorgängen der Lunge mit Auswirkungen auf die rechte Herzkammer. Hieraus resultiert für die betroffenen Patienten eine dauerhafte Einschränkung der Leistungsfähigkeit, der Lebensqualität und der Lebenserwartung. Sowohl für Bergsteiger, die in eine Notlage geraten, als auch für die immense Zahl von Patienten mit den genannten Erkrankungen soll eine gezielte Therapie des Lungenhochdrucks entwickelt werden.
Die Gießener Spezialisten sind auf der Suche nach einem optimierten Medikament, das in der Lage ist, die übersteigerte Lungengefäßreaktion abzuschwächen und die Sauerstoffnahme durch eine gezielte Gefäßerweiterung der Lunge zu verbessern. Ziel der Untersuchungen ist es, die Wirksamkeit geeigneter Maßnahmen an einer Gruppe von gesunden Leistungssportlern aufzuzeigen, die sich unter den extremen Bedingungen einer Mount Everest-Expedition befinden. Sie setzen sich freiwillig einem Lungenhochdruck aus, der durch den Sauerstoffmangel provoziert wird. Innerhalb weniger Wochen werden wie im Zeitraffer Reaktionen im Gefäßsystem ausgelöst, die sich bei Patienten mit chronischen Lungenerkrankungen über Jahre und Jahrzehnte hinweg entwickeln. Glücklicherweise erholen sich die Organe bei den Bergsteigern aufgrund der nur vorübergehenden Exposition, wohingegen die Krankheitsprozesse bei den Patienten bislang unumkehrbar sind, da es derzeit keine gezielte Therapie gibt. Der wissenschaftliche Teil der Expedition liefert somit möglicherweise Erkenntnisse, die nicht nur von höhenmedizinischer, sondern vor allem auch von allgemeinmedizinischer Bedeutung sind.
Kontakt:
Prof. Dr. Friedrich Grimminger
Medizinische Klinik II und Poliklinik
Klinikstraße 36,
35392 Gießen
Tel.: 0641/99-42370
Fax: 0641/99-42359
e-mail: Friedrich.Grimminger@innere.med.uni-giessen.de
Abbildung 1
Legende Abbildung 1: Zur Darstellung kommen Schnittbilder aus einer gesunden Lunge (a) sowie einer Lunge nach Langzeit Hypoxie-Exposition (b). Die Pfeile markieren jeweils eine kleine Arterie aus dem Bereich der sogenannten Widerstandsgefäße. Sichtbar ist die zarte Struktur des normalen Lungengefäßes (a) im Gegensatz zum erheblich wandverdickten Gefäß unter Bedingungen der Sauerstoffarmut (b).
Legende Abbildung 2: Schematische Darstellung von Gefäßquerschnitten des Lungenkreislaufs. Unter Bedingungen des akuten Sauerstoffmangels kommt es zu einer Gefäßverengung (Gefäßquerschnitte linker und mittlerer Bildausschnitt), der bei Normalisierung des Sauerstoffgehalts wieder umkehrbar ist. Unter dem Einfluss chronischer Sauerstoffarmut kommt es zusätzlich zu einer aktiven Gefäßengstellung auch zu einer Zunahme der Gefäßwanddicke, die in einem chronischen Lungenhochdruck resultiert (Gefäßquerschnitt rechter Bildausschnitt).
Die semantisch ähnlichsten Pressemitteilungen im idw