Stammzellen als Trojanische Pferde
Stammzellen als Trojanische Pferde
Genfähren bringen Tumorzellen den Tod
Die mit Stammzellen verbundenen medizinischen Hoffnungen richten sich in der Regel auf den Ersatz erkrankter Gewebe oder Organe. Die Onkologie, die ja ein Zuviel von (krankhaftem) Gewebe bekämpft, wird selten in einem Atemzug mit Stammzellen genannt. Für PD Dr. Christian Beltinger in der Universitätsklinik für Kinder- und Jugendmedizin der Universität Ulm ist das Grenzland zwischen Stammzellbiologie und Onkologie jedoch ein überaus vielversprechendes Forschungsgebiet. In den Labors der Kinderklinik befassen sich unter Leitung von Prof. Dr. Klaus-Michael Debatin verschiedene Arbeitsgruppen mit der Frage, wie in Tumorzellen Selbstmordprogramme (Apoptose) ausgelöst werden können.
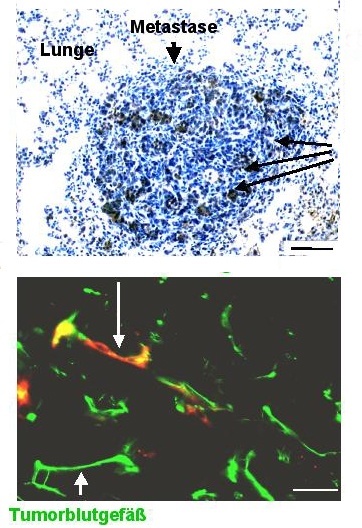
Krebs tötet in der Regel durch die Bildung von Metastasen. Schnell wachsende Metastasen sind oft sauerstoffarm und rekrutieren dann aus dem Knochenmark kommende, im Blut zirkulierende Gefäßstammzellen, um Blutgefäße zu bauen und so weiterwachsen zu können. Beltingers Arbeitsgruppe hat jetzt gezeigt, daß sich Stammzellen als "Trojanische Pferde" zu dem Zweck benutzen lassen, Selbstmordgene in Metastasen einzuschleusen. Die Selbstmordgene bauen sich in die Metastasen ein und zerstören Teile davon nach Aktivierung eines therapeutischen Gens. Beltinger verwendete hierzu embryonale Gefäßstammzellen (aus der Maus), da sich diese im Unterschied zu erwachsenen Stammzellen aus dem Blut oder Knochenmark beliebig vermehren und leicht genetisch verändern lassen. In Petrischalen gezüchtete und mit einem Selbstmordgen versehene Gefäßstammzellen wanderten zielgerichtet vor allem in sauerstoffarme Lungenmetastasen von Mäusen ein, in die sie intravenös injiziert worden waren. Nach dem Einbau in den Tumor wird der programmierte Zelltod durch die Gabe eines Medikaments ausgelöst. Dies ist deshalb besonders bemerkenswert, weil sauerstoffarme Metastasen gegen herkömmliche Chemo- und Strahlentherapie notorisch resistent sind.
Überraschenderweise waren diese embryonalen Vorläuferzellen teilweise gegen die Immunantwort des Körpers geschützt, was ihren Einsatz in fremden Empfängern möglich erscheinen läßt. Die in der Maiausgabe 2004 von Cancer Cell veröffentlichten Ergebnisse bilden eine Grundlage für die Erforschung gezüchteter menschlicher Gefäßstammzellen zur Gentherapie von Tumoren. Entsprechende Arbeiten mit adulten menschlichen Gefäßstammzellen, die aus Blut gezüchtet wurden und an Mäusen erprobt werden, sind in Beltingers Gruppe schon weit vorangekommen. Adulte Stammzellen sind schwieriger zu kultivieren als embryonale Stammzellen, auch verfügen sie nicht über deren Verwandlungsfähigkeit. Jedoch haben sie, vom Empfänger selbst stammend, den Vorteil, vor Abstoßungreaktionen vollständig geschützt zu sein und zudem keine ethischen Probleme aufzuwerfen.
Neben Blutgefäßstammzellen arbeitet Beltinger auch mit Hirnstammzellen, die er aus embryonalen Stammzellen (der Maus) züchtet. Diese Hirnstammzellen werden auf ihre Eignung als Genfähren zur Therapie von Hirntumoren untersucht. Ein großes therapeutisches Problem ist die Eigenheit von Hirntumorzellen, nicht als umschriebene, vom normalen Hirn abgegrenzte Masse zu wachsen, sondern sich, oft weit vom Haupttumor entfernt, zwischen normales Hirngewebe zu drängen. Dies macht es häufig unmöglich, den oft chemoresistenten Tumor chirurgisch oder durch Bestrahlung zu entfernen, ohne normales Hirngewebe zu schädigen. Hirnstammzellen haben eine ausgeprägte Fähigkeit, zielgerichtet und über weite Entfernung Hirntumorzellen anzusteuern und zu stellen. Wenn sie ein therapeutisches Gen mitbringen, kann die Apoptose der Tumorzellen in Gang gesetzt werden. Die molekularen Mechanismen, die diesem effektiven Ziellauf der Hirnstammzellen zugrunde liegen, sind weitgehend unbekannt, aber wesentlich für einen eventuellen therapeutischen Einsatz und daher Gegenstand intensiver Forschung in Beltingers Arbeitsgruppe. Im Tierversuch erweist sich diese Therapiestrategie als vielversprechend. Gleichwohl dürften vor einer möglichen klinischen Anwendung noch mehrjährige vorklinische Untersuchungen liegen.
Die semantisch ähnlichsten Pressemitteilungen im idw
 
					
					
				
