Die Software folgt dem Arzt aufs Wort
Sprachgesteuerte 3D-Angiographie
"Tupfer" und "Spritze" - Verständigung ohne Zeitverlust ist für ein eingespieltes Operationsteam so typisch wie notwendig. Nun folgen auch technische Systeme dem Operateur aufs Wort. In Zusammenarbeit mit industriellen Partnern haben Informatiker der Universität Erlangen-Nürnberg erreicht, dass ein Computerprogramm zur räumlichen Darstellung von Blutgefäßen, das bei einem Eingriff das Operationsfeld sichtbar macht, auf gesprochene Anweisungen reagiert. Die am Lehrstuhl für Mustererkennung entwickelte sprachgesteuerte 3D-Angiographie wird derzeit klinisch erprobt.
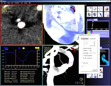
Wenn die Durchblutung des Gehirns durch Engstellen beeinträchtigt wird, kann ein Röhrchen (Stent) das verengte Gefäß von innen her offen halten. Beim Einführen des Stents ist es eine große Hilfe, den Ort des Eingriffs auf einem Bildschirm vergrößert und so plastisch vor Augen zu haben, als ob der Kopf des Patienten durchsichtig wäre. Neurochirurgen können dafür ein Mess- und Visualisierungssystem der Siemens AG nutzen.
Normalerweise wird diese moderne Operationshilfe per Maus oder Joystick gesteuert. In der Konsequenz stehen die Hände dem Chirurgen nicht mehr ausschließlich für den Eingriff zur Verfügung. "Das ist für den Arzt schrecklich umständlich", kommentiert Joachim Hornegger, der im Oktober 2003 eine Professur für Medizinische Bildverarbeitung am Erlanger Informatik-Institut übernommen hat und zuvor bei Siemens tätig war. Allenfalls kann ein Teammitglied das System nach Anweisung des Chirurgen steuern. Einfacher wäre es, stattdessen das Computerprogramm direkt anzusprechen - sofern die Software versteht, was gesprochen wird.
Treffen der Spezialisten
Es traf sich günstig, dass der Bildverarbeitungs-Fachmann Hornegger bei seinem Wechsel auf die Professur am Lehrstuhl für Mustererkennung von Prof. Dr. Heinrich Niemann mit Spezialisten für automatisches Sprachverstehen zusammenkam. Unter der Leitung von Dr. Elmar Nöth war dort schon 1993 das erste vollautomatische Dialogsystem für Telefonauskünfte entwickelt worden. Einige Mitglieder des damaligen Forschungsteams gründeten im Jahr 2000 das Spin-off-Unternehmen Sympalog und brachten die Technologie zur Marktreife. Die Möglichkeiten dieser Sprachverarbeitungs-Software können zur Gerätesteuerung genutzt werden. "Ob Telefonhörer oder Mikrofon, das ist kein großer Unterschied. Das System musste nur etwas angepasst werden", erläutert Dr. Nöth.
Marcus Prümmer, ein Doktorand von Prof. Hornegger, hat zusammen mit einem Spezialisten von Sympalog die Komponente für die Spracherkennung in das Gesamtsystem von Siemens integriert und führt das Endergebnis der Zusammenarbeit vor. "Rotiere nach rechts", fordert er, und das Abbild der verzweigten Ader beginnt sich folgsam zu drehen. "Erhöhe den Schwellenwert auf zehn. Bewege den Zeiger nach links. Stop!" Prümmer spricht klar artikuliert, doch er könnte auch sächseln oder sich einen amerikanischen Akzent zulegen - nach einer Trainingsphase würde das System die Kommandos dennoch erkennen. Der gebürtige Ungar Prof. Dr. Laszlo Solymosi, zuständig für die laufenden klinischen Tests an der Abteilung für Neuroradiologie der Würzburger Universitätskliniken, kann bestätigen, dass er dazu keine Ausspracheübungen absolvieren musste.
Ebensowenig lässt sich das Spracherkennungssystem irritieren, wenn Marcus Prümmer zwischen zwei Anweisungen einen virtuellen Flug durchs Gefäßinnere ankündigt oder erklärt, dass ein höherer Schwellenwert das Blutgefäß deutlicher vom Hintergrund abhebt. Es registriert, dass diese Bemerkungen nicht ihm gelten, obwohl es ständig mithört. Die Robustheit ist inhaltlich bedingt: nur bestimmte standardisierte Sätze lösen Reaktionen aus. Der Transfer vom Deutschen in eine andere Sprache wäre aus demselben Grund nicht schwierig.
Die Entwicklung der sprachgesteuerten 3D-Angiographie ist ein Musterbeispiel für sinnvolle Kooperation zwischen mittelständischen Unternehmen, Großindustrie und Wissenschaft. Die grundlegende Siemens-Produktsoftware wurde am Lehrstuhl um Komponenten zur Bildverarbeitung und die Spracherkennungs-Software von Sympalog erweitert. Wenn im Juli 2004 der klinische Probelauf beendet und, wie die Entwickler hoffen, bestanden ist, ist die Rolle der Informatiker als "Geburtshelfer" zu Ende. Das künftige Arbeitsfeld der Spracherkennungs-Software muss nicht auf das Vermessen von Blutgefäßen im Gehirn beschränkt bleiben. Außerhalb der Neurochirurgie könnten Operateure künftig ebenso schätzen lernen, dass ihre technischen Helfer tun, was man ihnen sagt.
Weitere Informationen
Prof. Dr. Joachim Hornegger
Tel.: 09131/85 -27883
Joachim.Hornegger@informatik.uni-erlangen.de
Die semantisch ähnlichsten Pressemitteilungen im idw