Entzündete Därme bei Maus und Mensch
GBF-Forscher studieren die Folgen fehlgesteuerter Immunreaktionen
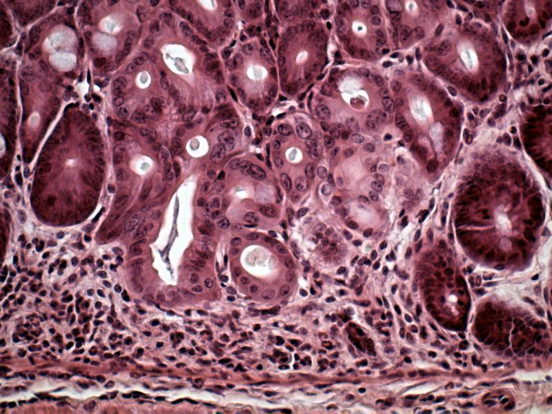
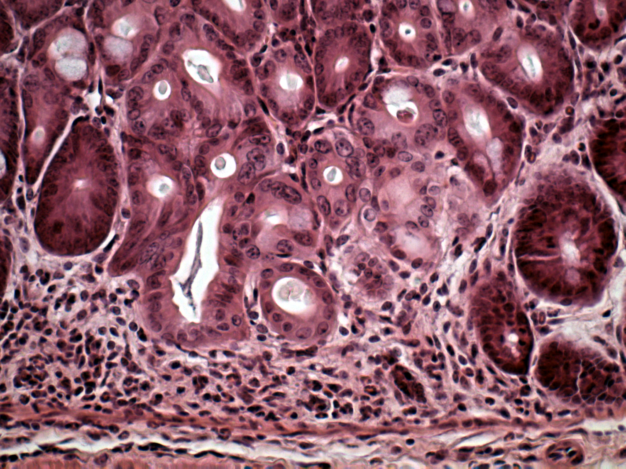
Mäuse mit einer Neigung zur chronischen Darmentzündung sollen der medizinischen Forschung helfen, neue Heilverfahren zu entwickeln. Bei der Untersuchung dieser Tiere stießen Forscher der Gesellschaft für Biotechnologische Forschung (GBF) in Braunschweig auf eine mögliche Erklärung für das bislang noch wenig verstandene Krankheitsbild. Die Ursache von chronischen Darmentzündungen wie etwa Morbus Crohn ist - so legen ihre Ergebnisse nahe - eine Autoimmunerkrankung, also eine Fehlsteuerung von Abwehrzellen des Immunsystems. Ihre Erkenntnisse beschreiben die Forscher in der jüngsten Ausgabe der Zeitschrift Gut, eines Fachmagazins für Darmerkrankungen.
"Man hat schon mehrfach vermutet, dass sich chronische Darmentzündungen entwickeln, wenn sich Immun-Abwehrzellen irrtümlich gegen das eigene Körpergewebe wenden und die Darmschleimhaut angreifen", erklärt GBF-Wissenschaftler Professor Dr. Jan Buer. "Bislang ist ein solcher Vorgang aber noch nicht an einem konkreten Beispiel gezeigt worden."
Instabiles Gleichgewicht im Verdauungstrakt
Das haben Buer und seine Arbeitsgruppe jetzt getan. Sie kreuzten eine Zuchtlinie von Mäusen, deren Darm-Zellen ein besonderes Proteinmolekül auf ihrer Oberfläche tragen - ein so genanntes Antigen - mit einem Mäuse-Stamm, der gegen genau dieses Antigen aggressive Immunzellen produziert. Das Ergebnis sind Mäuse, deren Abwehrsystem die eigene Darmschleimhaut angreift. Darmentzündung ist die Folge.
Gleichzeitig mit der fehlgeleiteten Immunreaktion löst das Nebeneinander von Antigen und dagegen gerichteten Abwehrzellen auch Mechanismen der Immuntoleranz aus: Entzündungshemmende Botenstoffe werden freigesetzt, Abwehrreaktionen gedämpft und abgebremst. Warum diese beiden gegenläufigen Prozesse gleichzeitig in Gang gesetzt werden und sich wechselseitig ins Gehege kommen, ist noch nicht vollständig verstanden. Fest steht: "Ein prekärer und instabiler Gleichgewichtszustand stellt sich ein", sagt GBF-Wissenschaftlerin Dr. Dunja Bruder, "eine immunologische Balance, die ständig auf der Kippe steht."
"Dieser Zustand ähnelt stark dem von menschlichen Patienten, die unter einer der vielen chronischen Formen der Darmentzündung leiden", erläutert Dr. Astrid Westendorf, eine Forscherin in Buers Arbeitsgruppe. Zu diesen Erscheinungsbildern der Krankheit gehören Morbus Crohn und Colitis ulcerosa. Sie äußern sich in regelmäßig wiederkehrenden schmerzhaften Darmkrämpfen, Durchfall und Darmblutungen. Allein an Morbus Crohn leiden in Deutschland nach Schätzungen 100 000 Menschen, in den USA sind es mehr als 400 000. Professor Buer: "An unseren Mäusen können wir jetzt viele Eigenschaften solcher Krankheiten studieren. Wann entstehen sie? Wie verlaufen sie? Wann gibt es akute Ausbrüche? Und vor allem: Wie kann man sie heilen?"
Hinweise
Ausführliche Informationen bietet der Originalartikel: Westendorf,A.M., Templin,M., Geffers,R., Deppenmeier,S., Gruber,A.D., Probst-Kepper,M., Hansen,W., Liblau,R.S., Gunzer,F., Bruder,D., and Buer,J. CD4+ T cell mediated intestinal immunity: chronic inflammation versus immune regulation. Gut. 2005 Jan;54(1):60-9.
Fotos zum Thema finden Sie unter www.gbf.de/presseinformationen
Weitere Informationen:
http://www.gbf.de/presseinformationen
Ähnliche Pressemitteilungen im idw