Vorbeugung und Behandlung unerwünschter Strahlenschäden der Lunge
Strahlenbehandlung ist Teil der Therapie bei einer Vielzahl von Tumoren – auch von Lungentumoren. Bei der Bestrahlung des Tumors kann auch das normale Lungengewebe geschädigt werden. Das Forscherteam um Professor Gerhard Fritz der Universitätsklinik Düsseldorf hat sich zum Ziel gesetzt, das Auftreten unerwünschter Strahlenwirkungen durch ausgewählte Arzneimittel zu vermeiden bzw. deren Spätfolgen abzumildern. Als molekulare Angriffspunkte dienen an der Oberfläche von Lungenzellen verankerte Proteine, sogenannte Ras-homologe (Rho) Proteine. Da diese für schädliche Strahleneffekte bedeutsam sind, wollen die Wissenschaftler versuchen, sie u.a. mit Lipidsenkern in ihrer Funktion zu hemmen.
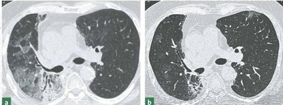
Bei der Strahlenbehandlung von Lungentumoren ist eine Exposition von normalem Lungengewebe meist nicht gänzlich zu vermeiden. Die dadurch hervorgerufenen Stress-Reaktionen führen zu akut entzündlichen Prozessen in der Lunge (Lungenentzündung), die jedoch wieder abheilen können. Allerdings können auch Schäden entstehen, die letztendlich die Elastizität der Lunge anhaltend beeinträchtigen und somit zu andauernden Atembeschwerden führen. Die Arbeitsgruppe am Institut für Toxikologie der Heinrich-Heine-Universität Düsseldorf untersucht, inwieweit eine Hemmung der oben genannten Rho Proteine – u.a. durch die als Lipidsenker weit verbreiteten Statine – dazu geeignet ist, die akuten und andauernden schädlichen Strahlenwirkungen auf das gesunde Gewebe der Lunge zu reduzieren. Auf diese Weise streben die Forscher eine wirksamere Tumortherapie bei gleichzeitig verminderten Nebenwirkungen an. Als Modell für diese Untersuchungen dienen Mäuse. Es wird überprüft, ob nach Bestrahlung des Brustkorbs der Tiere das Ausmaß toxischer Strahlenwirkungen auf die Lunge durch Gabe von Statinen verringert werden kann.
Hintergrund der Untersuchungen sind an Zellkulturen, aber auch an Tiermodellen erhobene Vorbefunde, wonach die an der Oberfläche von Zellen lokalisierten Rho Proteine für strahleninduzierbare schädliche Normalgewebsreaktionen (z.B. Entzündung und Zelltod) bedeutsam sind. Die Wissenschaftler nehmen an, dass eine Hemmung dieser Proteine durch geeignete Arzneistoffe schädlichen Strahlenwirkungen vorbeugen bzw. die Schwere der Lungenschäden reduzieren kann. Die zum Zweck der Cholesterinsenkung häufig verwendeten Statine stören die Verankerung der Rho Proteine auf der Zelloberfläche. Man geht davon aus, dass viele der in der wissenschaftlichen Literatur beschriebenen schützenden Effekte von Statinen auf diesem Mechanismus beruhen. „Wir möchten nachweisen, dass Statine auch dazu geeignet sind, die Nebenwirkungen einer Strahlentherapie auf das gesunde Lungengewebe zu minimieren“, erklärt Professor Gerhard Fritz. Neben Statinen sollen zudem neue, ebenfalls an Rho Proteinen angreifende, Substanzen auf ihre Eignung zur Vorbeugung gegen Strahlenschäden überprüft werden. Bei positiven Ergebnissen der im Rahmen des Projektes durchgeführten Tierstudien wäre eine kurzfristige Anwendung von Statinen zur Prophylaxe und Therapie von Strahlennebenwirkungen beim Menschen denkbar.
Die Wilhelm Sander-Stiftung fördert dieses Forschungsprojekt mit rund 90.000 Euro. Stiftungszweck der Stiftung ist die medizinische Forschung, insbesondere Projekte im Rahmen der Krebsbekämpfung. Seit Gründung der Stiftung wurden dabei insgesamt über 190 Mio. Euro für die Forschungsförderung in Deutschland und der Schweiz bewilligt. Die Stiftung geht aus dem Nachlass des gleichnamigen Unternehmers hervor, der 1973 verstorben ist.
Kontakt (Projektleitung):
Prof. Dr. Gerhard Fritz, Heinrich-Heine-Universität Düsseldorf, Tel: +49 (0) 211 81-13022; E-Mail: fritz@uni-duesseldorf.de
Weitere Informationen zur Stiftung: http://www.wilhelm-sander-stiftung.de
Ähnliche Pressemitteilungen im idw