Meilenstein im Kampf gegen den plötzlichen Herztod
Rhythmologen des Herzzentrums Leipzig implantieren weltweit ersten Defibrillator der neuesten Generation
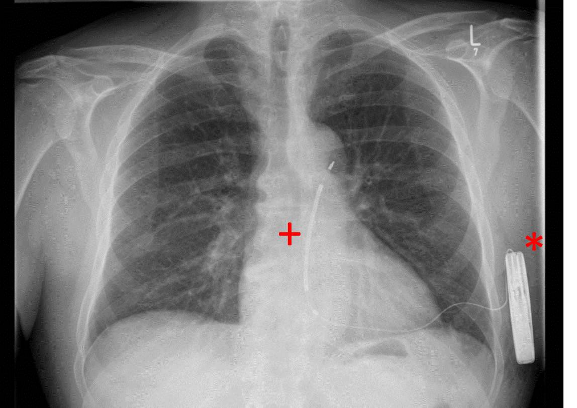
Der Februar 2015 könnte sich als ein ganz besonderer Monat im Kampf gegen den plötzlichen Herztod erweisen: zu diesem Zeitpunkt wurde im Herzzentrum Leipzig der weltweit erste Defibrillator der neuesten Generation in den Brustkorb eines herzkranken Patienten implantiert. Das neue Mini-Gerät ist deutlich kompakter und langlebiger als seine Vorgänger und kann deshalb deutlich schonender eingebracht werden.
Implantierbare Defibrillatoren – auch Schockgeber genannt – sind seit den 1980er-Jahren eine anerkannte Therapieform zur Prophylaxe des plötzlichen Herztodes. Seitdem wurden vorwiegend so genannte transvenöse Defibrillatoren verwendet, bei denen das Aggregat unter dem Schlüsselbein implantiert und die Elektrode über die Vene zum Herz vorgeführt und dort in der rechten Herzkammer verankert wurde.
Seit dem Jahr 2009 steht mit den so genannten subkutanen Defibrillatoren ein neuer technologischer Ansatz zur Verfügung: die Aggregate werden auf der linken Seite des Brustkorbes implantiert, die Elektrode verläuft dabei nur noch unter der Haut vor dem Herzen. Seit Februar 2015 ist die zweite Generation dieser Defi-Variante verfügbar und jetzt weltweit erstmals im Herzzentrum Leipzig eingesetzt worden. Das Gerät ist rund 20 Prozent flacher und weist im Vergleich zu seinem Vorgänger eine um 40 Prozent längere Batterielaufzeit auf.
„Es ist sehr positiv, dass nunmehr eine sehr kompakte und noch viel schonender zu implantierende Technologie zur Verfügung steht, mit der lebensgefährliche Herz-Rhythmusstörungen bis hin zum plötzlichen Herztod wirksam verhindert werden können“, sagt Prof. Dr. Gerhard Hindricks, Chefarzt der Abteilung für Rhythmologie im Herzzentrum Leipzig. „Wir sind sehr zuversichtlich, dass damit noch mehr betroffene bzw. gefährdete Patienten von dieser Therapieform profitieren können.“
Die Implantation wurde von den Oberärzten Dr. Michael Döring und Dr. Sergio Richter aus der Abteilung für Rhythmologie durchgeführt. Der minimal-invasive Eingriff erfolgte in Narkose, verlief völlig komplikationslos und dauerte nur 30 Minuten. Bereits am Folgetag konnte der Patient aus der Klinik entlassen werden und wird nun ambulant weiterbehandelt.
Über das Herzzentrum Leipzig:
Das Herzzentrum Leipzig bietet mit seinen 440 Betten und zehn tagesklinischen Betten in den drei Kliniken, Klinik für Herzchirurgie, Klinik für Innere Medizin/Kardiologie (inkl. der Abteilung für Rhythmologie) und Klinik für Pädiatrie/ Kinderkardiologie sowie den Abteilungen für Anästhesiologie und Radiologie Hochleistungsmedizin rund um das Herz. Unter der Leitung international erfahrener Ärzte und namhafter Wissenschaftler arbeitet am Herzzentrum Leipzig ein Team von mehr als 1.450 Mitarbeiterinnen und Mitarbeitern. Seit der Inbetriebnahme im September 1994 besteht mit dem Freistaat Sachsen und der Universität Leipzig ein Kooperations- und Nutzungsvertrag, der dem Haus den Status einer Universitätsklinik verleiht. Das rechtlich und wirtschaftlich selbständige Herzzentrum ist Teil der Medizinischen Fakultät der Universität Leipzig. Seit 2014 ist das Herzzentrum Leipzig eine 100-prozentige Tochter der HELIOS Kliniken GmbH. www.helios-kliniken.de/herzzentrum
Über die HELIOS Kliniken Gruppe:
Zur HELIOS Kliniken Gruppe gehören 110 eigene Akut- und Rehabilitationskliniken inklusive sieben Maximalversorger in Berlin-Buch, Duisburg, Erfurt, Krefeld, Schwerin, Wuppertal und Wiesbaden, 49 Medizinische Versorgungszentren (MVZ), fünf Rehazentren, elf Präventionszentren und 15 Pflegeeinrichtungen. HELIOS ist damit einer der größten Anbieter von stationärer und ambulanter Patientenversorgung in Deutschland und bietet Qualitätsmedizin innerhalb des gesamten Versorgungsspektrums. Sitz der Unternehmenszentrale ist Berlin. HELIOS versorgt jährlich mehr als 4,2 Millionen Patienten, davon mehr als 1,2 Millionen stationär. Die Klinikgruppe verfügt insgesamt über mehr als 34.000 Betten und beschäftigt rund 69.000 Mitarbeiter. Im Jahr 2013 erwirtschaftete HELIOS einen Umsatz von 3,4 Milliarden Euro. Die Klinikgruppe gehört zum Gesundheitskonzern Fresenius. www.helios-kliniken.de
Weitere Informationen:
http://www.helios-kliniken.de/herzzentrum
Die semantisch ähnlichsten Pressemitteilungen im idw