Schnitt gegen Krämpfe: Sehr gute Langzeit-Erfolge durch Gehirn-Operation bei Epilepsie
Eine Gehirnoperation kann weit mehr Epilepsie-Patienten von ihren Anfällen befreien als bislang vermutet. Eine Langzeitstudie des Universitätsklinikums Freiburg zeigt nun, dass selbst zwölf Jahre nach der Operation etwa zwei Drittel der Patienten anfallsfrei blieben, die an einer sogenannten fokalen kortikalen Dysplasie (FCD) litten. An dieser Epilepsieform sind allein in Deutschland etwa 90.000 Menschen erkrankt. Die Studie fand besonders bei jungen Patienten eine sehr positive Entwicklung nach der OP. Ihre Ergebnisse stellen die Wissenschaftlerinnen und Wissenschaftler in der Fachzeitschrift „Epilepsia“ vor.
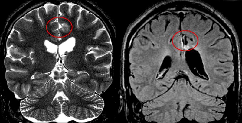
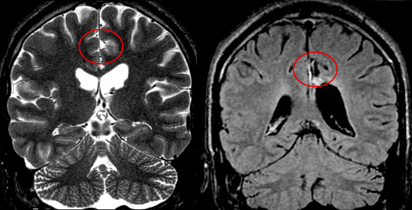
Rund 600.000 Menschen in Deutschland leiden an Epilepsie, der häufigsten neurologischen Erkrankung. Bei etwa einem Drittel der Patienten lassen sich die Anfälle nicht mit Medikamenten oder anderen nicht-invasiven Methoden beseitigen. Dies gilt auch für die FCD, bei der eine umschriebene Fehlentwicklung der Großhirnrinde die epileptischen Anfälle verursacht. Bei dem neurochirurgischen Eingriff wird der anfallsauslösende Bereich der Großhirnrinde entfernt.
Doppelt so viele Patienten wie erwartet profitieren
In der bislang größten Studie untersuchte ein Team um Prof. Dr. Andreas Schulze-Bonhage, Leiter des Epilepsiezentrums an der Klinik für Neurochirurgie des Universitätsklinikums Freiburg, die Langzeitwirkung der Operation. Sie begleiteten insgesamt 211 FCD-Patienten unterschiedlichen Alters über einen Zeitraum von bis zu zwölf Jahren. Frühere Studien hatten bei 30 bis 40 Prozent der Patienten eine Anfallsfreiheit nachgewiesen. „In unserer Studie traten bei zwei Drittel der Patienten selbst nach bis zu zwölf Jahren keine Anfälle mehr auf. Dieses Ergebnis übertraf unsere Erwartungen deutlich“, sagt Prof. Schulze-Bonhage.
Von den Patienten, die nach der Operation anfallsfrei waren, konnten 67 Prozent teilweise oder sogar ganz auf eine zusätzliche medikamentöse Epilepsie-Therapie verzichten. Bei etwa 30 Prozent wurde die gleiche Therapie beibehalten, oft auf Wunsch der Patienten selbst. „Für die Patienten ist es von höchster Priorität, sicher anfallsfrei zu bleiben. Darum möchten viele weiterhin Medikamente nehmen, auch wenn es aus ärztlicher Sicht nicht nötig wäre“, sagt Prof. Schulze-Bonhage.
Junge Patienten haben die besten Heilungschancen
„Ob der Patient nach der Operation anfallsfrei ist, hängt stark vom Alter des Patienten ab“, sagt Prof. Schulze-Bonhage. Patienten unter 18 Jahren zeigten in der Studie deutlich bessere Chancen auf eine Anfallsfreiheit als ältere Patienten. „Bei Kindern und Jugendlichen sollte deshalb eine Operation erwogen werden, sobald sich zeigt, dass die Erkrankung nicht mit Medikamenten behandelt werden kann.“ Am Universitätsklinikum Freiburg können Kinder mit ausgeprägter Epilepsie bereits ab einem Alter von drei Monaten operiert werden. Aber auch bei älteren Patienten brachte ein chirurgischer Eingriff eine Verbesserung im Vergleich zur rein medikamentösen Therapie.
Ausgefeilte Diagnostik ermöglicht präzise Operationen
Die Epilepsieform FCD galt bislang als relativ schlecht operabel, da sich der krampfauslösende Hirnbereich schwer von gesundem Gewebe abgrenzen lässt. Doch die Weiterentwicklung bildgebender Verfahren wie der Magnetresonanztomografie, ergänzt durch hochauflösende Messungen der Hirnaktivität erlauben heute eine bessere Lokalisierung der Anfallsherde, die der Operateur dann präzise entfernt. Mikrochirurgische Techniken reduzieren nicht nur das Risiko operativer Komplikationen sondern minimieren auch das entfernte Gehirngewebe, so dass kognitive Leistungen des Gehirns bewahrt werden können.
Für Epilepsiepatienten gibt es drei wesentliche Behandlungs-Optionen. Erste Wahl ist fast immer die kontinuierliche Behandlung mit Medikamenten, die bei etwa 70 Prozent zur Anfallsfreiheit führt. Bringt die Therapie nicht den gewünschten Erfolg, werden ein chirurgischer Eingriff oder eine Neurostimulation in Betracht gezogen. Dabei wird entweder eine bestimmte Region im Gehirn direkt oder der Vagus-Nerv im Halsbereich elektrisch stimuliert. Die Hirnstimulation kann Linderung bringen, führt aber nur selten zu einer dauerhaften Anfallsfreiheit. Für Patienten mit FCD ist diese Methode daher nur eine Option, wenn der Anfallsherd nicht operable Hirnareale einbezieht.
Original-Titel der Arbeit: Long-term seizure outcome in 211 patients with focal cortical dysplasia
DOI: 10.1111/epi.12876
Link zum Online-Artikel: http://onlinelibrary.wiley.com/doi/10.1111/epi.12876/abstract
Kontakt:
Prof. Dr. Andreas Schulze-Bonhage
Abteilungsleiter
Abteilung Prächirurgische Epilepsiediagnostik
Klinik für Neurochirurgie
Universitätsklinikum Freiburg
Telefon: +49 761 270 54250
andreas.schulze-bonhage@uniklinik-freiburg.de
Weitere Informationen:
http://www.uniklinik-freiburg.de/epilepsie.html Epilepsiezentrum Freiburg
http://www.uniklinik-freiburg.de/nc/presse/pressemitteilungen/detailansicht/presse/39 PM Uniklinikum Freiburg (29.11.2013): Das räumliche Umfeld trägt zum Erinnern von Gedächtnisinhalten bei
http://www.uniklinik-freiburg.de/nc/presse/pressemitteilungen/detailansicht/presse/333 PM Uniklinikum Freiburg (23.10.2014): Epileptische Anfälle aufspüren
Ähnliche Pressemitteilungen im idw