Auf der Suche nach neurobiologischen Faktoren der Schizophrenie
Der Beginn schizophrener Psychosen lässt sich nicht vorhersagen. Identifiziert man jedoch Faktoren, die mit dem Psychoserisiko zusammenhängen, kann dies wichtige Erkenntnisse über die zugrundeliegenden Mechanismen liefern. Basler Wissenschaftler haben nun bei Personen mit einem erhöhten Psychoserisiko eine Verbindung zwischen bestimmten Genen und der Grösse wichtiger Hirnstrukturen nachgewiesen. Die Ergebnisse der Studie erscheinen in der aktuellen Ausgabe der Fachzeitschrift Translational Psychiatry.
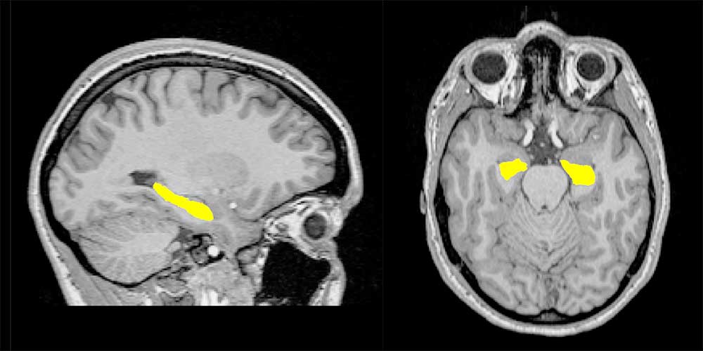
Schizophrene Psychosen sind eine häufig vorkommende Gruppe psychiatrischer Erkrankungen, an deren Entstehung biologische, soziale und Umweltfaktoren beteiligt sind. Die Erkrankung geht mit Veränderungen der Hirnstruktur einher. So ist beispielsweise bei Betroffenen der Hippocampus im Schläfenlappen häufig kleiner als bei gesunden Menschen. Ob diese Veränderungen der Hirnstruktur eine Folge der Krankheit und der damit einhergehenden Medikation darstellen oder bereits vor ihrem Ausbruch zu beobachten sind, ist bisher nicht geklärt.
Eine Forschungsgruppe der Universität Basel um Fabienne Harrisberger und Stefan Borgwardt haben in einer aktuellen Studie die Hirnstruktur von Personen untersucht, bei denen sich eine Psychose zum ersten Mal manifestierte, oder die ein erhöhtes Psychoserisiko aufweisen. Die Wissenschaftler der Erwachsenen-Psychiatrischen Klinik der Universitären Psychiatrischen Kliniken (UPK) und der Transfakultären Forschungsplattform Molekulare und Kognitive Neurowissenschaften (MCN) konnten zunächst beobachten, dass es keine nennenswerten Unterschiede des Hippocampus zwischen Hochrisikopersonen und Patienten gab.
In einem zweiten Schritt haben sie zusammen mit Wissenschaftlern der Transfakultären Forschungsplattform untersucht, ob bekannte, mit Schizophrenie assoziierte Risikogene in Zusammenhang mit dem Hippocampus stehen. Dies scheint der Fall zu sein: Je höher die Anzahl der Risikogene einer Person war, desto kleiner war das Volumen des Hippocampus dieser Person, und zwar unabhängig davon, ob es sich um Hochrisikoprobanden oder Patienten handelte. Dies bedeutet, dass eine Gruppe von Risikogenen in Zusammenhang mit der Volumenminderung einer kritischen Hirnregion steht, bevor sich die Erkrankung manifestiert.
Potential für differenzierte Therapie
Dieser Befund ist für das Verständnis der neurobiologischen Faktoren der Schizophrenie von Bedeutung. Zwar ist es bekannt, dass keiner der verbreiteten Risikofaktoren (z.B. Gene, Umwelt, ungünstiges soziales Umfeld) dazu genutzt werden kann, um beim einzelnen Individuum den Ausbruch einer Psychose vorherzusagen. Dennoch kann die Identifizierung für die Therapie der Schizophrenie von Bedeutung sein.
«Es ist durchaus denkbar, dass Personen mit einem kleinen Hippocampus anders auf Therapien ansprechen als Personen, bei denen der Hippocampus normal ausgeprägt ist,» erklärt Prof. Stefan Borgwardt von der Erwachsenen-Psychiatrischen Klinik. Weitere Studien sind geplant, um das therapeutische Potenzial dieser Forschung zu ermitteln.
Originalbeitrag
Fabienne Harrisberger, Renata Smieskova, Christian Vogler, Tobias Egli, André Schmidt, Claudia Lenz, Andor E Simon, Anita Riecher-Rössler, Andreas Papassotiropoulos, Stefan Borgwardt
Impact of polygenic schizophrenia-related risk and hippocampal volumes on the onset of psychosis
Translational Psychiatry (2016), doi: 10.1038/TP.2016.143
Weitere Auskünfte
Prof. Dr. Stefan Borgwardt, Universität Basel, Erwachsenen-Psychiatrische Klinik an den Universitären Psychiatrischen Kliniken (UPK), Tel. +41 61 325 81 87, E-Mail: stefan.borgwardt@upkbs.ch
Prof. Dr. Andreas Papassotiropoulos, Universität Basel, Transfakultäre Forschungsplattform Molecular and Cognitive Neurosciences, Tel. +41 61 267 05 99, E-Mail: andreas.papas@unibas.ch
Weitere Informationen:
https://www.unibas.ch/de/Aktuell/News/Uni-Research/Auf-der-Suche-nach-neurobiologischen-Faktoren-der-Schizophrenie.html
Ähnliche Pressemitteilungen im idw