Alternativer Therapieansatz für die Fettspeicherkrankheit Morbus Gaucher
Entzündungsforscher aus Lübeck und Cincinnati (USA) haben einen überraschenden Mechanismus im Stoffwechsel aufgedeckt, der neue therapeutische Ansätze zur Behandlung der häufigsten Fettspeicherkrankheit Morbus Gaucher eröffnet. Professor Jörg Köhl, Institut für Systemische Entzündungsforschung an der Universität zu Lübeck und Mitglied im Exzellenzcluster „Entzündungsforschung“, veröffentlichte die neuen Erkenntnisse jetzt gemeinsam mit seinen US-amerikanischen Kollegen in der renommierten Fachzeitschrift Nature.
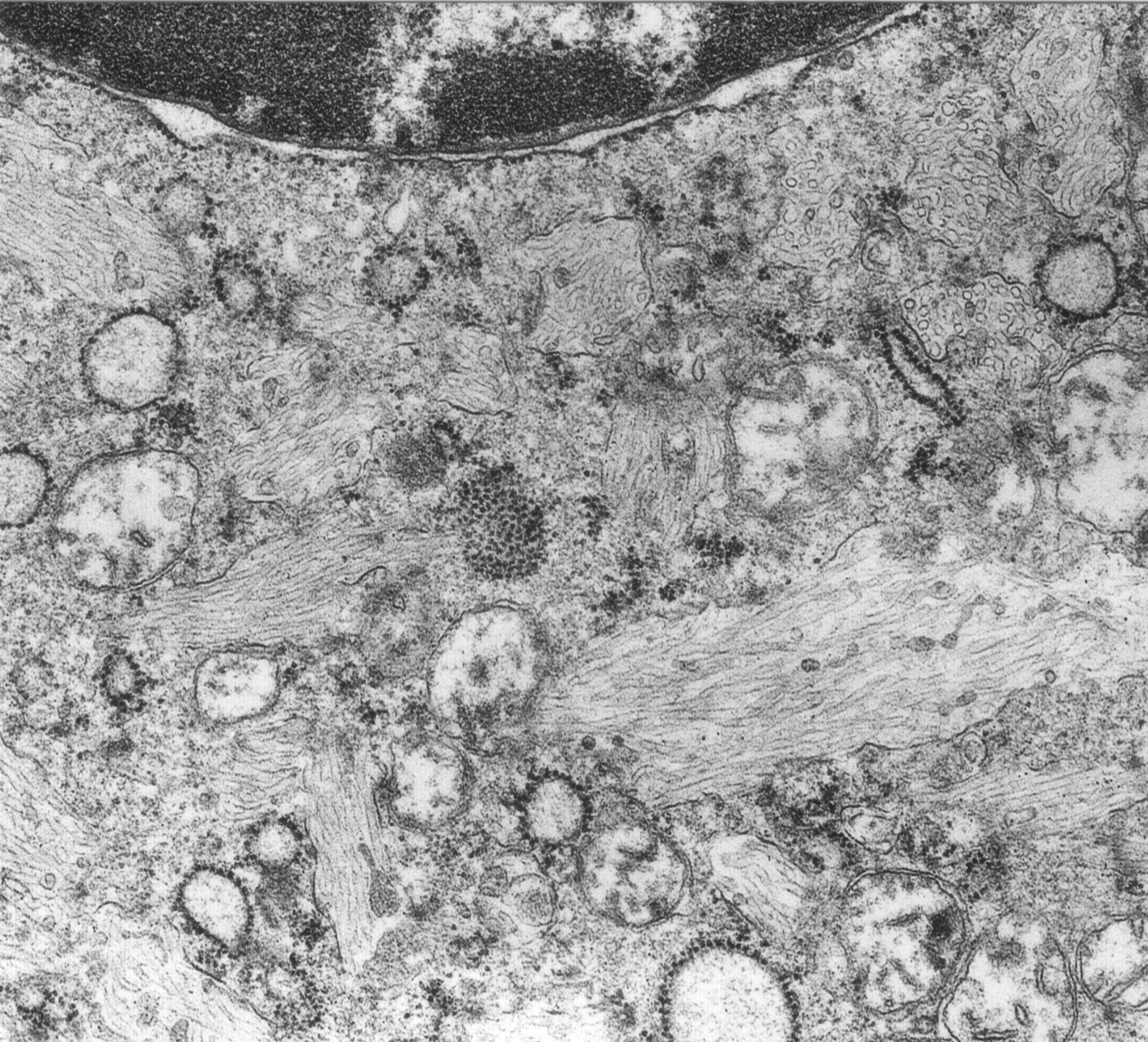
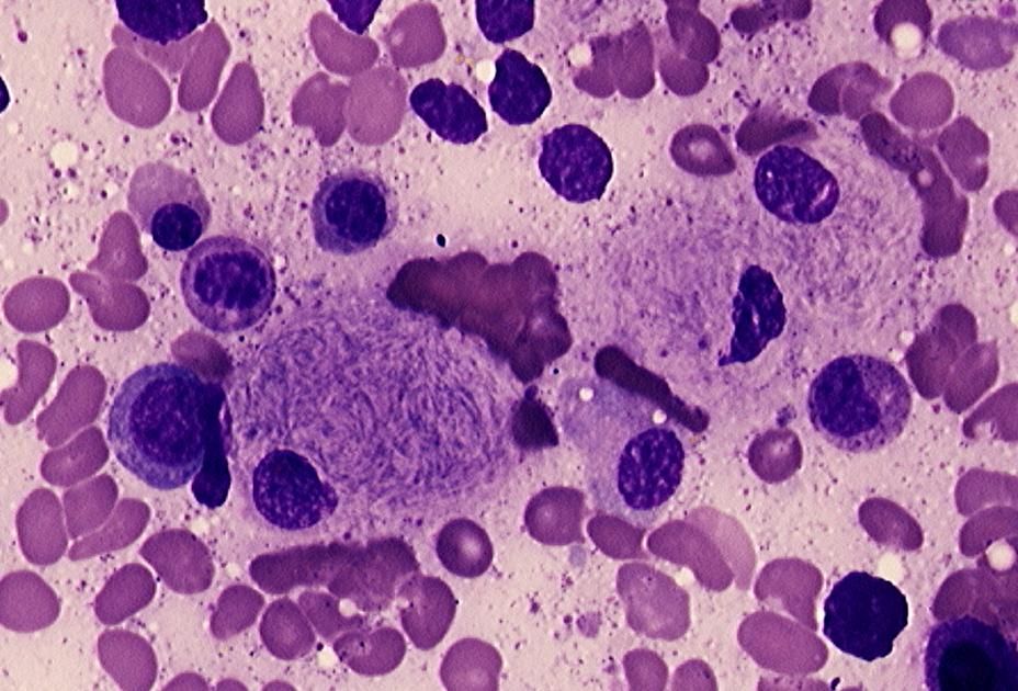
Morbus Gaucher ist eine seltene, erbliche Fettspeicherkrankheit. Weltweit erkrankt durchschnittlich 1 von 40.000 Menschen. Bei der am häufigsten vorkommenden Variante erfolgt die Erstdiagnose meistens im Alter von 20 bis 30 Jahren. Die Erkrankung betrifft Frauen und Männer gleichermaßen. Bisher war bekannt, dass die Erkrankung ursächlich nur durch den genetisch bedingten Mangel eines bestimmten Enzyms (ß-Glukozerebrosidase) verursacht wird. Durch den Enzymmangel werden zuckerhaltige Fettstoffe nicht korrekt aufgespalten und abgebaut. In der Folge reichern sich diese so genannten Glukosylceramide in verschiedenen Immunzellen an, vorzugsweise in den Fresszellen (Makrophagen). Die geschwollenen Zellen, sogenannte Gaucher-Zellen, finden sich in großer Zahl in Lunge, Milz, Leber und Knochenmark. Dort setzen sie große Mengen entzündlicher Substanzen frei und führen in der Folge zur Gaucher-Erkrankung. Dabei kommt es je nach Schweregrad zu entzündlichen Funktionsstörungen innerer Organe und des Skeletts.
In der jetzt in Nature publizierten Arbeit konnten die Forschenden zeigen , dass an Morbus Gaucher Erkrankte Antikörper gegen die angereicherten Glukosylceramide bilden. In der Folge entstehen Immunkomplexe, die zur Freisetzung der Substanz C5a führen. Wie die Forscher herausfanden, übt dieses C5a eine Schlüsselfunktion bei der Entwicklung des Morbus Gaucher aus. Es führt zur Ausschüttung eines weiteren Enzyms, welches den Zusammenbau von Glukose und Ceramid zu Glukosylceramid katalysiert. In experimentell ausgelöstem Morbus Gaucher verhindert die Blockade des Rezeptors von C5a die Anreicherung von Glukosylceramid und die Auslösung der Erkrankung.
Zurzeit wird die Gaucher-Erkrankung vor allem durch den Ersatz des defekten Enzyms therapiert. Dadurch werden viele der klinischen Symptome reduziert. Leider zeigen eine Reihe von Betroffenen trotz Therapie entzündliche Veränderungen und ein erhöhtes Risiko für die Entwicklung bösartiger Tumore und der Parkinson-Krankheit. Die jetzt in Nature vorgestellten Daten wecken die Hoffnung, dass die gezielte Blockade des Rezeptors für C5a sowohl die Anreicherung von Glukosylceramid in Immunzellen verhindert, als auch die Entzündungskette unterbricht. Dadurch könnte nicht nur die Ausbildung der Erkrankung unterbunden, sondern auch das Risiko für die Bildung von Tumoren und Morbus Parkinson minimiert werden. Darüber hinaus könnte der neu entdeckte Mechanismus auch von Bedeutung bei anderen Fettspeicherkrankheiten sein.
Die Forschungsarbeiten sind assoziiert mit dem von der Deutschen Forschungsgemeinschaft finanzierten Internationalen Graduiertenkolleg 1911 “Immunoregulation of Inflammation in Allergy and Infection” (Sprecher Prof. Jörg Köhl) und dem Exzellenzcluster 306 „Inflammation at Interfaces“.
Originalpublikation:
Manoj. K. Pandey, Thomas A. Burrow, Reena Rani, Lisa J. Martin, Kenneth D. Setchell, Mary A. Mckay, Albert F. Magnusen, Wujuan Zhang, Benjamin Liou, Jörg Köhl* und Gregory A. Grabowski*(2017): Complement drives glucosylceramide accumulation and tissue inflammation in Gaucher Disease. Nature,
http://dx.doi.org/10.1038/nature21368
* geteilte Senior-Autorschaft
Kontakt:
Prof. Dr. Jörg Köhl
Institut für Systemische Entzündungsforschung (Universität zu Lübeck) und Exzellenzcluster „Entzündungsforschung”
Tel.: 0451/500-51400
E-Mail: joerg.koehl@uksh.de
Weitere Informationen:
http://dx.doi.org/10.1038/nature21368
Ähnliche Pressemitteilungen im idw