Enzym sorgt für dicke Isolation
ETH-Forscherinnen zeigen auf: Schwann-Zellen im peripheren Nervensystem stellen Fettsäuren zu einem grossen Teil selbst her, um Nervenfasern elektrisch zu isolieren. Entscheidend daran beteiligt ist ein Enzym. Fehlt es, ist die Isolation mangelhaft, und die Motorik wird geschädigt.
ETH-Forscherinnen zeigen auf: Schwann-Zellen im peripheren Nervensystem stellen Fettsäuren zu einem grossen Teil selbst her, um Nervenfasern elektrisch zu isolieren. Entscheidend daran beteiligt ist ein Enzym. Fehlt es, ist die Isolation mangelhaft, und die Motorik wird geschädigt.
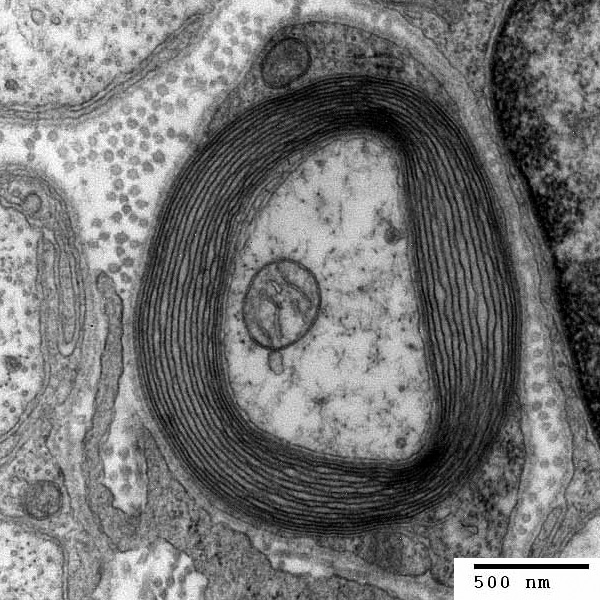
Axone, die langen Fortsätze von Nervenzellen, welche die Nerven unseres peripheren Nervensystems bilden, sind wie Elektrokabel: Sie sind dick elektrisch isoliert, damit sie Reize vom Körper und Signale aus dem Hirn beispielsweise an einen Zeh rasch weiterleiten können.
Diese Isolation namens Myelin besteht aus vielen Lagen von Zellmembranen. Im Querschnitt gleicht ein auf diese Weise isoliertes Axon den Jahrringen eines Baums. In regelmässigen Abständen sind diese Myelinscheiden eingeschnürt. Um schnell voranzukommen, springen Nervenimpulse von einer Einschnürung zur nächsten.
Schadhafte Isolation
Bei einigen neurodegenerativen Krankheiten verkümmern die Myelinscheiden von Axonen des peripheren Nervensystems. Dadurch können Signale und Befehle nicht mehr effizient weitergeleitet werden. Eine solche Erkrankung ist etwa die Charcot-Marie-Tooth-Krankheit (CMT), ein Erbleiden. Wegen des Abbaus der Isolation degenerieren mit der Zeit die Nerven, schliesslich auch die von Nervenimpulsen abgeschnittenen Muskeln. Patienten können mit der Zeit die Motorik nicht mehr kontrollieren und kaum mehr richtig gehen, und sie leiden an chronischen Schmerzen.
Verantwortlich für den Aufbau der Isolation von Axonen sind die sie umgebenden Schwann-Zellen. Sie verbrauchen in kürzester Zeit, meist in den Monaten nach der Geburt, grosse Mengen an verschiedenen Fettmolekülen (Lipide), um Axone mit Myelin zu ummanteln. Wie sie den grossen Lipidbedarf decken, war bislang unbekannt. Wissenschaftler waren sich uneins, ob Schwann-Zellen diese Moleküle aus der Nahrung beziehen oder ob sie diese selbst produzieren.
Zentrales Enzym für Aufbau
Forscherinnen der ETH Zürich um Laura Montani aus der Gruppe von Biologieprofessor Ueli Suter konnten nun aber anhand eines Mausmodells nachweisen, dass die Schwann-Zellen rund die Hälfte der zum Aufbau der Isolation benötigten Lipide von Grund auf neu aufbauen, also selbst herstellen. Die andere Hälfte der benötigten Lipide beziehen die Zellen aus der Nahrung.
Zentraler Schalter für den Aufbau der Fettmoleküle ist ein Enzym namens Fettsäure-Synthase (FASN), das in den Schwann-Zellen sitzt. Die Forscherinnen fanden, dass dieses Enzym unerlässlich ist für die richtige Lipid-Zusammensetzung in den Isolationsschichten und das gesunde Wachstum des Myelins. Die Zellen benötigen es zudem, um die Myelinisierung zu starten. FASN steuert über die Produktion von Fettsäuren zudem ein ganzes Signalnetzwerk, das bei der Myelinisierung eine wichtige Rolle spielt.
Sobald dieses Enzym fehlt, können die Zellen keine für die Myelinschichten unverzichtbaren Lipide mehr erzeugen. Die Schwann-Zellen greifen dann verstärkt auf Nahrungslipide aus Blutgefässen, welche Nervenfasern durchziehen, zurück. Schwann-Zellen, die etwas weiter weg vom Blutstrom liegen, können aber weder eigene Lipide herstellen noch solche aus dem Blut beziehen. Als Folge davon werden die Axone nicht oder nur ungenügend isoliert.
Fetthaltige Ernährung ändert Prozess nicht
Die Forscherin und ihre Kollegen von verschiedenen Hochschulen, darunter die Universität Graz, Washington-St. Louis (USA) und Zürich, fanden weiter heraus, dass selbst eine stark fetthaltige Ernährung den Prozess nicht umkehren konnte, wenn Mäusen das Enzym FASN fehlte: die Isolation der Axone blieb schadhaft. «Dies zeigt, dass die Lipideigenproduktion durch Schwann-Zellen für die Bildung der Myelinscheiden in Nerven entscheidend ist», sagt Montani.
Für ihre Versuche verwendeten Montani und Kollegen Tiere mit einer bestimmten Mutation, so dass ihnen das Enzym fehlte. Für ihre Studie verglich die Forscherin die Myelinisierung dieser Mäuse mit solchen, bei denen FASN vorkommt. Untersucht wurden Tiere in ihrer «Kindheit» ab Geburt. Das ist die kritische Lebensphase, in welcher Axone mit Myelin isoliert werden. Nach der Adoleszenz ist die Myelinisierung mehr oder weniger abgeschlossen. Die Isolation wird allenfalls noch verdickt, aber der rasante Aufbau ist dann vorbei.
Zusammenhang mit seltenen Erkrankungen
Was die Ergebnisse für verschiedene Erkrankungen heisst, ist Gegenstand weiterer Forschung. Montani untersucht derzeit, ob das Enzym unerlässlich ist für Zellen, die während der nachgeburtlichen Entwicklung Nervenzellen des Gehirns myelinisieren. Zudem könnte das Enzym auch wichtig sein bei der Reparatur von Schäden an Myelinscheiden wie sie bei Multiple Sklerose-Patienten auftreten.
Viele seltene Kinderkrankheiten werden durch Mutationen in Genen, die bei der Lipidsynthese unerlässlich sind, verursacht. Diese Krankheiten sind schlecht erforscht, da sie sehr selten auftreten. Die Patienten sterben meist sehr jung aufgrund der starken Degeneration des Nervensystems.
Montani vermutet, dass der Abbau von Neuronen unter anderem durch eine verminderte Lipidsynthese in myelinisierenden Zellen des Nervensystems verursacht werden könnte. «Zu wissen, wie eine verminderte Lipidsynthese die Myelinisierung während der menschlichen Entwicklung ab Geburt beeinflusst, ist ein wichtiger Schritt, um den Verlauf solcher Krankheiten besser zu verstehen», sagt sie.
Obwohl nur sehr wenige Menschen an jeweils einer dieser Krankheiten litten, seien solche seltenen Störungen in der Summe heute in den Industrienationen eine der wichtigsten Todesursachen bei Säuglingen und Kleinstkindern. Sie sind verantwortlich für einen Drittel der Todesfälle im ersten Lebensjahr. Montani möchte deshalb künftig in diese Richtung weiterforschen. Ihr nun abgeschlossenes Projekt, in das sie sechs Jahre Arbeit investierte, ist ein erster Grundstein dazu.
Literaturhinweis
Montani L et al. De novo fatty acid synthesis by Schwann cells is essential for peripheral nervous system myelination. J. Cell Biol. 2018. https://doi.org/10.1083/jcb.201706010
Weitere Informationen:
https://www.ethz.ch/de/news-und-veranstaltungen/eth-news/news/2018/03/enzym-der-schwann-zelle-essentiell-fuer-myelinbildung.html
Die semantisch ähnlichsten Pressemitteilungen im idw
