Neues Verständnis der Parasitenbiologie könnte dazu beitragen die Malaria-Übertragung zu stoppen
Forschende am Schweizerischen Tropen- und Public Health-Institut sind der Aufklärung des Mechanismus, durch den sich Malaria-Parasiten in diejenigen Formen umwandeln, welche die Übertragung der Parasiten auf andere Menschen ermöglichen, einen wichtigen Schritt näher gekommen. Für die zukünftige Erforschung neuer Ansätze, die die Übertragung von Malaria unterbinden sollen, ist dieses Wissen von grundlegender Bedeutung. Die Forschungsergebnisse werden am 16. März 2018 in der Fachzeitschrift Science veröffentlicht.
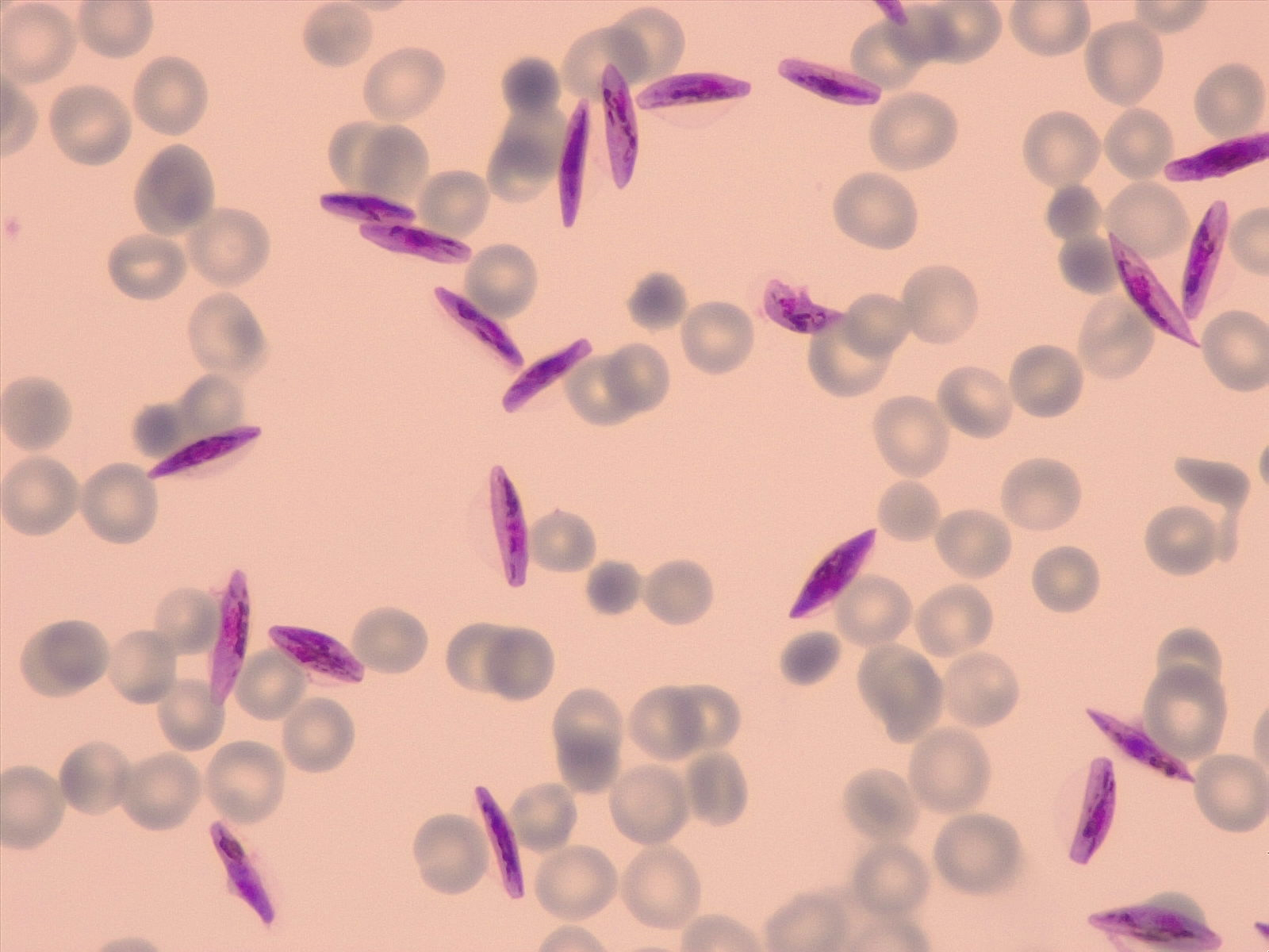
Malaria-Parasiten vermehren sich im menschlichen Blutkreislauf ungeschlechtlich und verursachen so chronische Infektionen und alle Komplikationen, die mit dieser verheerenden Krankheit einhergehen. Im Lauf jedes Vermehrungszyklus entwickelt sich jedoch ein kleiner Anteil der Parasiten in Gametozyten, die sich nicht mehr teilen. Gametozyten sind für Moskitos infektiös und somit für die Übertragung von Malaria auf andere Menschen verantwortlich. Zu verstehen, wie Malaria-Parasiten den „Schalter“ zur Gametozyten-Produktion kontrollieren, ist eine entscheidende Grundlage für die Entwicklung therapeutischer Massnahmen, um die Übertragung von Malaria zu blockieren.
Wie Malaria-Parasiten den Schalter umlegen
Die Entscheidung, ob sich ein Parasit weiter vermehrt oder zu einem Gametozyten entwickelt, wird durch einen molekularen Schalter gesteuert. Erst kürzlich wurde in einer 30TUVeröffentlichung in Cell U30Tgezeigt, dass dieser Schalter auf ein im menschlichen Blut vorhandenes Lipidmolekül anspricht: Lysophosphatidylcholin (LPC). Bei hohen LPC-Konzentrationen vermehren sich die Parasiten und verbrauchen LPC, um neue Membranen zu bilden. Wenn die LPC-Konzentration sinkt, wie bei akuten Infektionen beobachtet, beginnen die Parasiten die Entwicklung von Gametozyten zu induzieren, um ihre Übertragung auf den nächsten menschlichen Wirt zu sichern.
Forschende am Schweizerischen Tropen- und Public Health-Institut (Swiss TPH) konnten nun ein Protein der Parasiten identifizieren (GDV1), das eine entscheidende Rolle bei der Aktivierung des Schalters für die Umwandlung zu Gametozyten spielt. «GDV1 setzt im Wesentlichen einen Prozess in Gang, der die Genexpression im Parasiten so umprogrammiert, dass die Entwicklung von Gametozyten stattfindet», erklärte Till Voss, Korrespondenzautor der Studie und Leiter der Malaria Gene Regulation Unit am Swiss TPH.
Die Science-Studie zeigt weiter, dass GDV1 nur in Parasiten produziert wird, die zur Gametozyten-Entwicklung bestimmt sind. Bei der ungeschlechtlichen Vermehrung der Parasiten verhindert ein inhibitorisches Molekül die Expression von GDV1. «Wir waren beeindruckt zu beobachten, dass nach gezielter Unterbrechung dieses inhibitorischen Moleküls mit Hilfe der CRISPR-Cas9-Technologie alle Parasiten das Protein GDV1 exprimierten», berichtete Michael Filarsky, Erstautor der Studie und Wissenschaftler am Swiss TPH. Ein weiteres wichtiges Ergebnis dieser Studie ist, dass die GDV1-Produktion ausserdem durch LPC gehemmt wird. «Das sind spannende Ergebnisse. Wir befinden uns auf der Spur des molekularen Signalwegs, der einen Umweltreiz an den Parasiten sendet, um die Entwicklung von Gametozyten zu aktivieren», so Voss.
«Grundlagenwissen und ein neues Werkzeug für die zukünftige Forschung»
Medikamente und Impfstoffe, die auf Gametozyten abzielen, werden dringend benötigt, um das erklärte Ziel der Eliminierung und Ausrottung von Malaria zu erreichen. «Obwohl unsere Studie keine sofortigen Lösungen für neuartige Therapien bietet, wirft sie ein neues Licht auf die Mechanismen, die für die Produktion von Gametozyten verantwortlich sind», erläuterte Till Voss. «Wenn wir diesen Mechanismus blockieren oder Gametozyten ganz eliminieren können, würden wir dem Ziel, die Übertragung von Malaria zu unterbrechen, einen beachtlichen Schritt näher kommen.»
Das neue Wissen versetzt die Wissenschaftler darüber hinaus in die Lage, grosse Mengen von Gametozyten im Labor herzustellen. «Die Erforschung der Gametozyten wird dadurch erschwert, dass sie in der Regel nur in sehr geringer Zahl auftreten», ergänzte Michael Filarsky. «Nun sind wir in der Lage, gentechnisch veränderte Parasiten zu entwickeln, die enorme Mengen von Gametozyten produzieren. Wir gehen davon aus, dass diese Parasiten nicht nur für die Grundlagenforschung, sondern auch für die angewandte Forschung auf diesem Gebiet von Nutzen sein werden».
Über die Publikation
Die Studienergebnisse werden am 16. März 2018 in der Fachzeitschrift Science veröffentlicht. Durchgeführt wurde die Studie von Forschenden des Departements Medical Parasitology and Infection Biology am Swiss TPH (ein an die Universität Basel angeschlossenes Institut), in Kooperation mit Forschungsteams der Abteilung für Molekularbiologie an der Radboud Universität in den Niederlanden und dem Biozentrum der Universität Basel, Schweiz.
GDV1 induces sexual commitment of malaria parasites by antagonizing HP1-dependent gene silencing. Michael Filarsky, Sabine A. Fraschka, Igor Niederwieser, Nicolas M. B. Brancucci, Eilidh Carrington, Elvira Carrió, Suzette Moes, Paul Jenoe, Richárd Bártfai, Till S. Voss. Science, 2018 Mar 16. DOI: 10.1126/science.aan6042.
Über Malaria und ihre Übertragung
Malaria ist eine Infektionskrankheit, die durch Parasiten der Gattung Plasmodium verursacht wird. Die Parasiten werden durch den Stich infizierter weiblicher Anopheles-Mücken auf den Menschen übertragen. Malaria stellt in tropischen und subtropischen Ländern eine enorme Krankheitsbelastung dar, insbesondere in Afrika südlich der Sahara. Nach Angaben der Weltgesundheitsorganisation (WHO) gab es allein im Jahr 2016 rund 210 Millionen klinische Malaria-Fälle und über 440‘000 malariabedingte Todesfälle.
Die Gametozyten-Stadien stellen eines der Haupthindernisse für die Eliminierung und Ausrottung der Malaria dar. In Ländern, in denen Malaria endemisch ist, zirkulieren Gametozyten im Blut von mehreren Hundert Millionen Menschen. Viele der Betroffenen entwickeln keine Malaria-Symptome und erhalten daher keine medikamentöse Behandlung. Darüber hinaus werden Gametozyten durch die meisten der derzeit verfügbaren Malaria-Medikamente nicht effektiv abgetötet.
Kompetenzzentrum für Malaria
Das Swiss TPH ist ein weltweit führendes Institut auf dem Gebiet der Malariaforschung mit über 200 Mitarbeitenden und Studierenden, die sich aktiv mit verschiedenen Aspekten dieser Krankheit befassen. Die Aktivitäten reichen von der Grundlagenforschung in den Bereichen der Parasitenbiologie, der Wirt-Parasiten-Interaktionen und der Wirtsimmunität über die Entwicklung, Validierung und Anwendung neuartiger Medikamente, Impfstoffe und Diagnostika bis hin zu neuen Strategien für integrierte Interventionsprogramme zur Kontrolle und Eliminierung der Krankheit. Das Swiss TPH unterhält auch ein WHO-Kooperationszentrum für Modellierung, Überwachung und Training im Bereich Malariakontrolle und -beseitigung.
Medienkontakte:
• Prof. Dr. Till Voss, Leiter der Malaria Gene Regulation Unit, Swiss TPH: +41 61 284 8161, till.voss@swisstph.ch
• Sabina Beatrice-Matter, Leiterin Kommunikation, Swiss TPH: +41 61 284 8364, +41 79 737 9158, sabina.beatrice@swisstph.ch
Korrekturen
14.03.2018 11:56
Die Bildunterschrift zum zweiten Bild ist falsch. Bitte diese hier benutzen:
Michael Filarsky, Forscher am Swiss TPH und Erstautor im Labor.
Die semantisch ähnlichsten Pressemitteilungen im idw