Tabakrauchen verkalkt Arterien stärker als reiner Cannabis-Konsum
Langfristiger Cannabis-Konsum wurde wiederholt mit Ablagerungen in Herzarterien (Plaques) in Verbindung gebracht. Nun konnte in einer Langzeitstudie unter Leitung der Universität Bern nachgewiesen werden, dass nicht der Cannabis-Konsum an sich, sondern Tabakrauch der Hauptauslöser ist.
Dass Tabakrauchen Plaques bildet und dadurch das Herzinfarktrisiko erhöht, ist bereits bekannt. Noch nicht untersucht worden war, ob Cannabis-Konsum dieselbe Wirkung hat. Eine Langzeitstudie über 25 Jahre unter der Leitung von Prof. Reto Auer vom Berner Institut für Hausarztmedizin (BIHAM) hat nun nachgewiesen, dass regelmässiger Cannabis-Konsum nur dann schädlich für die Herzarterien ist, wenn Cannabis zusammen mit Tabak konsumiert wird. «Unsere Studie bestätigt die starke und konsistente Verbindung zwischen Tabakkonsum und der Bildung von Plaques», sagt Reto Auer. «Cannabiskonsumentinnen und -konsumenten rauchen viel Tabak und erhöhen dadurch ihr Risiko für Herzinfarkte.»
Tabak für das Herz schädlicher als Cannabis
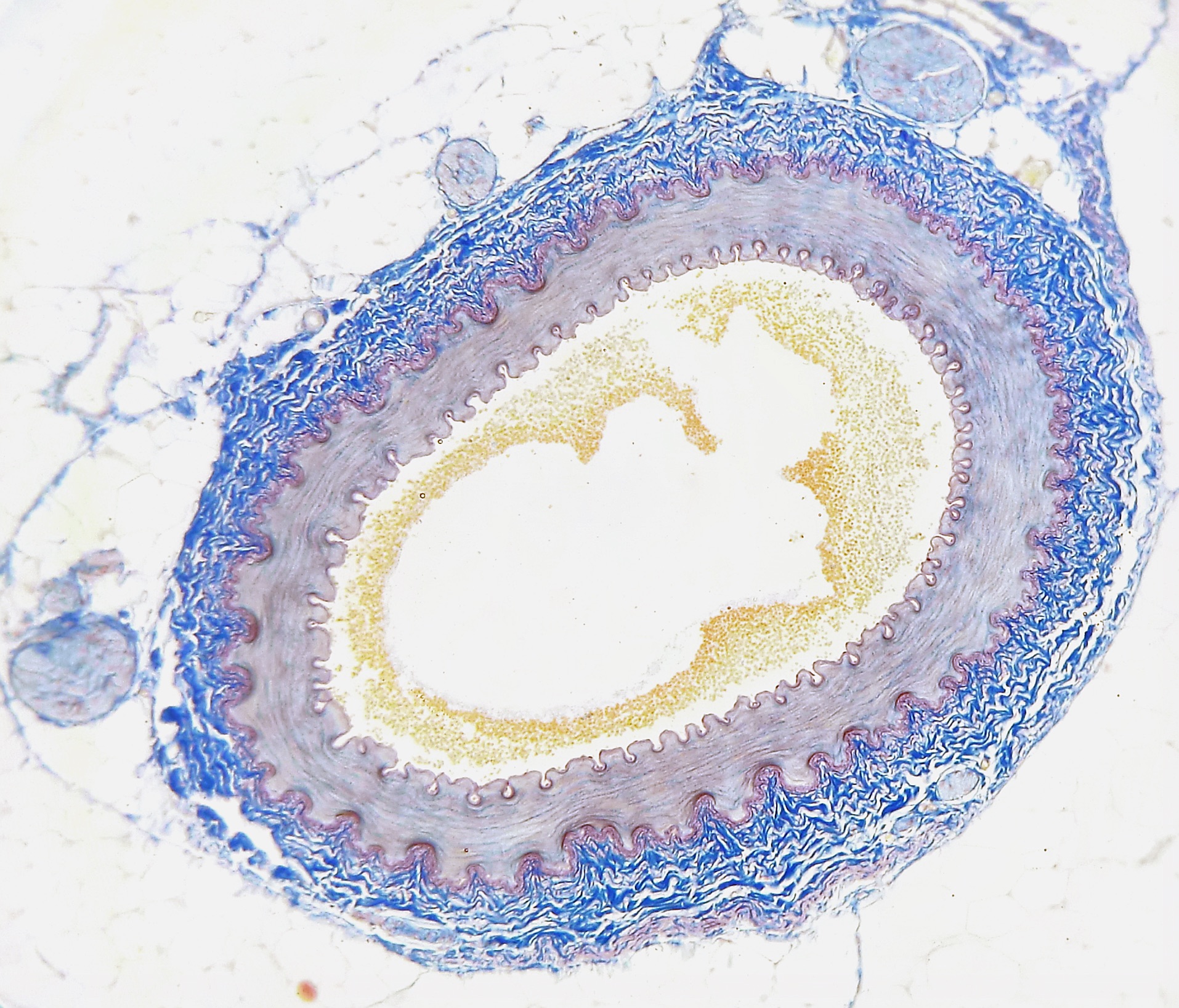
Für die Untersuchungen wurden Daten aus der Langzeitstudie CARDIA verwendet, die seit 1985 die Entwicklung von Atherosklerose (Arterienverkalkung) und deren Risikofaktoren bei jungen Erwachsenen untersucht. Sie erfasst über 25 Jahre hinweg unter anderem den Cannabis- und Tabakkonsum von über 5'000 Teilnehmenden in den Vereinigten Staaten, beginnend im frühen Erwachsenenalter. Für die vorliegende Studie wurden 3'498 Teilnehmende mittleren Alters berücksichtigt, die in ihrem Umfeld eine typische Cannabis- und Tabakexposition hatten und bei denen über 25 Jahre hinweg der Tabak- und Cannabiskonsum erhoben wurde. Im 25. Jahr wurde mit Computertomographie das Calcium in den Herz- und Baucharterien gemessen. Die Forschenden untersuchten anhand der Messungen den Zusammenhang zwischen jahrelangem Konsum von Cannabis und Tabak und der Arterienverkalkung.
Von den 3’498 untersuchten Teilnehmenden hatten 89% eine Computertomographie. Bei 60% dieser Teilnehmenden hatten sich Plaques gebildet. Von diesen 3‘117 Teilnehmenden mit Plaques berichteten 84% über Cannabiskonsum, aber nur 6% konsumierten täglich. Im Gegensatz dazu rauchten 49% täglich Tabak.
Wie die Forschenden erwarteten, gab es einen starken Zusammenhang zwischen der Tabakrauchexposition in der Vergangenheit und dem Plaque-Aufbau in den Herz- und Baucharterien. Bei denjenigen Cannabis-Konsumierenden, die niemals Tabak geraucht hatten, war dieser Zusammenhang jedoch nicht nachweisbar. Nur bei Personen mit sehr hohem Cannabis-Konsum fanden die Forschenden einen Trend zu einem erhöhten Risiko für Atherosklerose. «Wir müssen diese Ergebnisse aber sorgfältig interpretieren, weil nur wenige Teilnehmer so stark exponiert waren», sagt Auer.
Insgesamt hatte häufiger Cannabis-Konsum einzig eine schwache Wirkung auf die Verkalkung von Baucharterien. «Wir konnten bereits in einer früheren Studie zeigen, dass Cannabis und Herzinfarkte nicht assoziiert sind», sagt Ko-Autor Stephen Sidney, MD, Principal Investigator der CARDIA-Studie.
«Hingegen sehen wir deutlich die nachteiligen Effekte des Tabakkonsums – oder mit anderen Worten: die Begleiteffekte, wenn Cannabis mit Tabak konsumiert wird, sind nicht zu unterschätzen», sagt Auer.
Angaben zur Publikation:
Auer, R., Sidney, S., Goff, D., Vittinghoff, E., Pletcher, M.J., Allen, N.B., Reis, J.P., Lewis, C.E., Carr, J., Rana, J.S., 2017. Lifetime Marijuana Use and Subclinical Atherosclerosis: The Coronary Artery Risk Development in Young Adults (CARDIA) Study. Addiction. [epub ahead of print]
https://onlinelibrary.wiley.com/doi/full/10.1111/add.14110
Angaben zur früheren Publikation:
* Reis, J.P., et al., Cumulative Lifetime Marijuana Use and Incident Cardiovascular Disease in Middle Age: The Coronary Artery Risk Development in Young Adults (CARDIA) Study. Am J Public Health, 2017. 107(4): p. 601-606, doi:10.2105/AJPH.2017.303654
Kontaktperson:
Prof. Dr. Reto Auer
Berner Institut für Hausarztmedizin (BIHAM), Universität Bern
Tel. +41 31 631 58 79 / +41 76 391 23 97
reto.auer@biham.unibe.ch
Weitere Informationen:
http://www.unibe.ch/aktuell/medien/media_relations/medienmitteilungen/2018/medienmitteilungen_2018/tabakrauchen_verkalkt_arterien_staerker_als_reiner_cannabis_konsum/index_ger.html
https://onlinelibrary.wiley.com/doi/full/10.1111/add.14110
Die semantisch ähnlichsten Pressemitteilungen im idw