COPD associated inflammation halted in model experiment
Chronic obstructive pulmonary disease, or COPD for short, is believed to be the third most common cause of death worldwide. However, because the underlying mechanism is still largely unknown, today’s treatments can only slow progression of the disease. Scientists at Helmholtz Zentrum München have now reported a previously unknown pathogenic mechanism, which they have already been able to prevent in the laboratory. Their findings are reported in ‘EMBO Molecular Medicine’.
Cigarette smoking and general environmental pollution pose far and away the greatest risks for COPD and lead to an inflammatory reaction in the airways and lung tissue. As a result, sufferers develop chronic cough, sputum production and shortness of breath. In the long term, lung tissue is destroyed, which makes breathing more difficult.
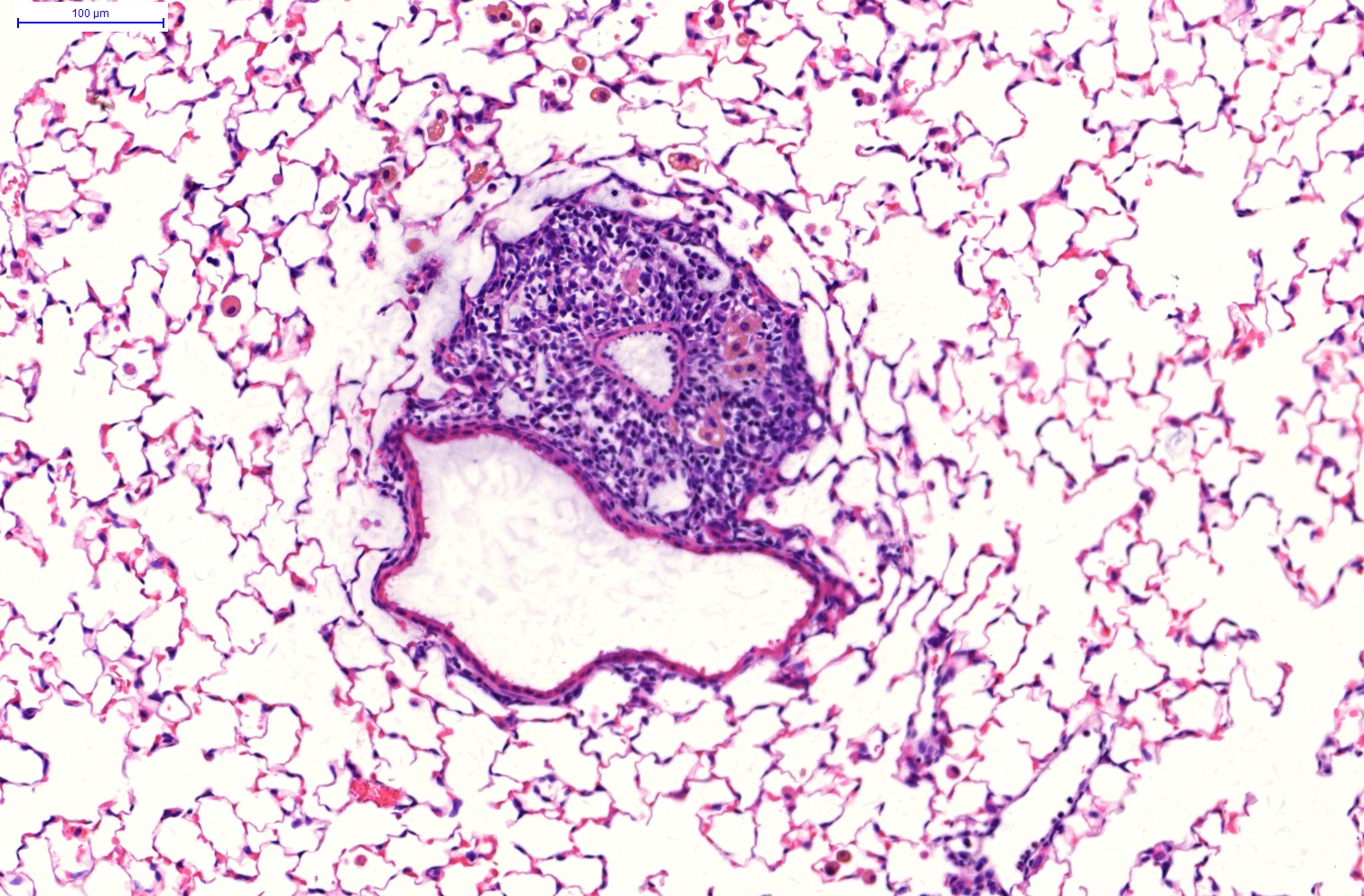
In a recent paper, a team led by Dr. Ali Önder Yildirim shed new light on the inflammatory process. “We focused on tertiary lymphoid organs* in the bronchi,” explains Yildirim, one of the acting directors of the Institute of Lung Biology at Helmholtz Zentrum München, a member of the German Center for Lung Research (DZL). Specifically, the researchers studied what is known as inducible bronchus-associated lymphoid tissue, or iBALT for short. “It is believed that the development of iBALT plays a key role in the deterioration of COPD − but until now it was unclear exactly how iBALT forms,” says the head of the study.
Therefore, the lung specialists looked for known processes in other lymphoid tissues. In this context, their attention was drawn to the metabolism of oxysterols. Oxysterols are derivatives of cholesterol that play a role in a wide range of biological processes, including the positioning of immune cells in lymphoid tissue.
“We wanted to find out whether that is also the case around the lungs and specifically in cigarette-smoke-induced COPD,” Yildirim says. In fact, the researchers found elevated levels of enzymes involved in oxysterol metabolism together with immune cells that migrate into the tissue both in the experimental model and in the lungs of COPD patients. Further experiments also showed that iBALT formation is inhibited if the metabolic enzymes are absent. Their absence also prevented the migration of immune cells and damage to the lungs despite exposure to cigarette smoke.
The scientists then attempted to recreate this effect pharmacologically by blocking the oxysterol pathway with an inhibitor**, which they found prevented the immune cell migration following cigarette smoke irritation and therefore iBALT formation in the experimental model. “Our future goal is to transfer the results from the model to humans with a view to intervening in the development of COPD,” Ali Önder Yildirim says. “There is still a lot of work to do, however we are very much looking forward to it.”
Further Information
* The lymphatic system, with the lymphatic vessels acting as conduits, is the second most important transport system in the human body next to the circulatory system. It specializes in the transport of nutrients and waste products and also disposes of pathogens, such as bacteria, and foreign bodies in the lymph nodes. Tertiary lymphoid organs develop later in various organs near sites of inflammation. They are, to put it simply, improvised lymph nodes.
** Specifically, the team used the drug clotrimazole, an approved antimycotic.
Original Publication:
Jia, J. & Conlon, TM. et al. (2018): Cholesterol metabolism promotes B‐cell positioning during immune pathogenesis of chronic obstructive pulmonary disease. EMBO Molecular Medicine, DOI: 10.15252/emmm.201708349
The Helmholtz Zentrum München, the German Research Center for Environmental Health, pursues the goal of developing personalized medical approaches for the prevention and therapy of major common diseases such as diabetes and lung diseases. To achieve this, it investigates the interaction of genetics, environmental factors and lifestyle. The Helmholtz Zentrum München is headquartered in Neuherberg in the north of Munich and has about 2,300 staff members. It is a member of the Helmholtz Association, a community of 18 scientific-technical and medical-biological research centers with a total of about 37,000 staff members. www.helmholtz-muenchen.de/en
The Comprehensive Pneumology Center (CPC) is a joint research project of the Helmholtz Zentrum München, the Ludwig-Maximilians-Universität Clinic Complex and the Asklepios Fachkliniken München-Gauting. The CPC's objective is to conduct research on chronic lung diseases in order to develop new diagnosis and therapy strategies. The CPC maintains a focus on experimental pneumology with the investigation of cellular, molecular and immunological mechanisms involved in lung diseases. The CPC is a site of the Deutsches Zentrum für Lungenforschung (DZL). www.helmholtz-muenchen.de/ilbd
The German Center for Lung Research (DZL) pools German expertise in the field of pulmonology research and clinical pulmonology. The association’s head office is in Giessen. The aim of the DZL is to find answers to open questions in research into lung diseases by adopting an innovative, integrated approach and thus to make a sizeable contribution to improving the prevention, diagnosis and individualized treatment of lung disease and to ensure optimum patient care. www.dzl.de/index.php/en
Contact for the media:
Department of Communication, Helmholtz Zentrum München - German Research Center for Environmental Health, Ingolstädter Landstr. 1, 85764 Neuherberg - Tel. +49 89 3187 2238 - Fax: +49 89 3187 3324 - E-mail: presse@helmholtz-muenchen.de  
Scientific contact: 
Dr. Ali Önder Yildirim, Helmholtz Zentrum München - German Research Center for Environmental Health, Comprehensive Pneumology Center, Max-Lebsche-Platz 31, 81377 München, Germany - Tel. +49 89 3187 4037 - E-mail: oender.yildirim@helmholtz-muenchen.de
Die semantisch ähnlichsten Pressemitteilungen im idw
 
					
					
				
