Entzündungsreaktion bei COPD im Modellversuch unterbunden
Die chronisch obstruktive Lungenerkrankung, kurz COPD, ist Schätzungen zufolge die dritthäufigste Todesursache weltweit. Da ihre Abläufe aber noch weitgehend ungeklärt sind, können aktuelle Therapien lediglich das Fortschreiten verlangsamen. Wissenschaftlerinnen und Wissenschaftler des Helmholtz Zentrums München, berichten nun in ‚EMBO Molecular Medicine‘ über einen bisher unbekannten Krankheitsmechanismus, den sie bereits im Labor unterbinden konnten.
Zigarettenrauchen und Umweltverschmutzung stellen mit Abstand die höchsten Risiken für eine COPD dar und führen zu einer Entzündungsreaktion in Atemwegen und Lungengewebe. In der Folge haben Betroffene chronischen Husten, Auswurf und Atemnot. Langfristig kommt es zu einem Verlust von Lungengewebe, was in der Folge die Atmung erschwert.
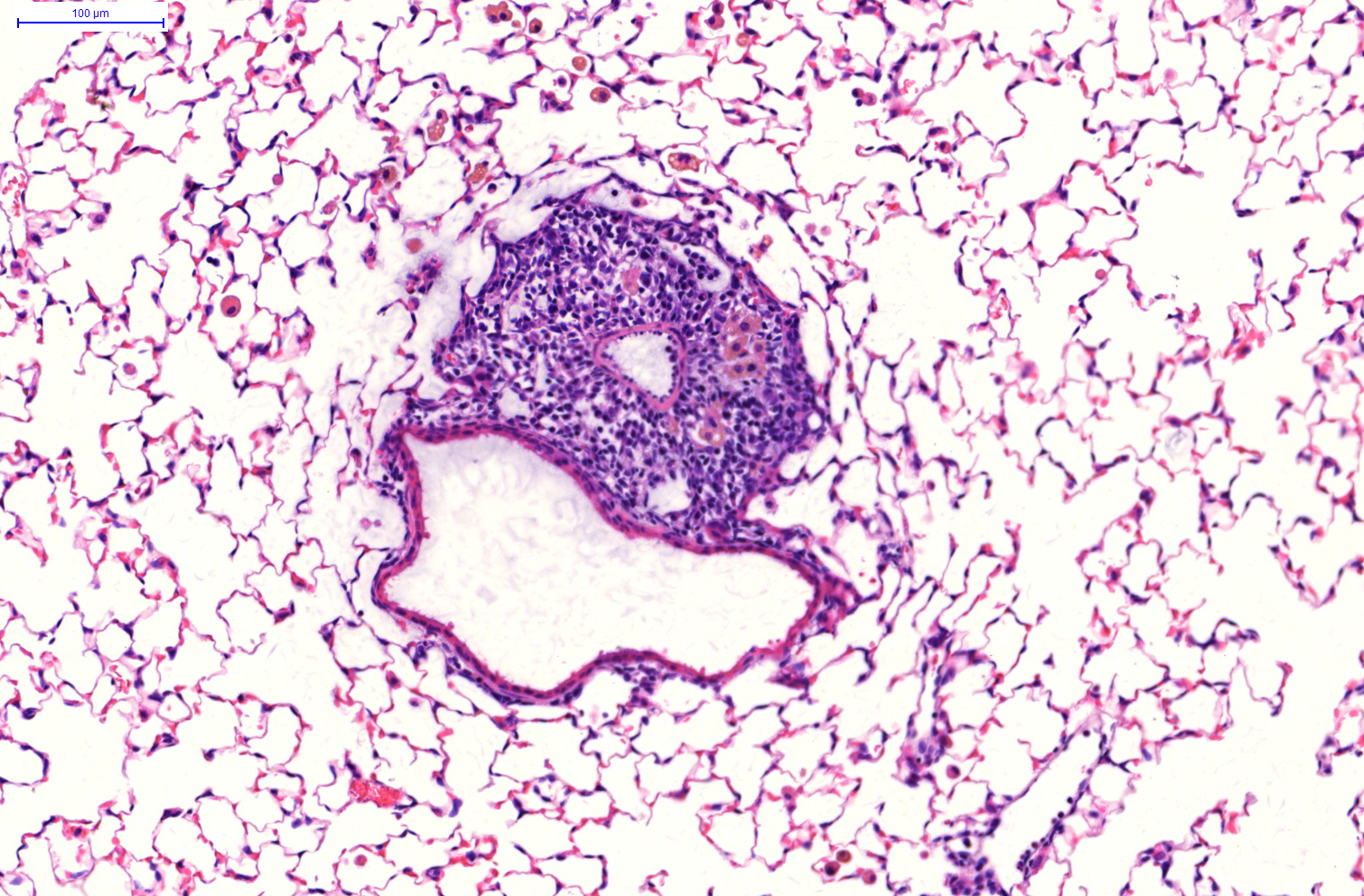
In der aktuellen Arbeit konnte ein Team um Dr. Ali Önder Yildirim nun den Entzündungsprozess näher aufklären. „Wir haben uns dabei auf tertiäre Lymphknoten* in den Bronchien konzentriert“, erklärt Yildirim, kommissarischer Leiter des Instituts für Lungenbiologie am Helmholtz Zentrum München, Mitglied im Deutschen Zentrum für Lungenforschung (DZL). Konkret untersuchten die Forscher die sogenannten induzierbaren Bronchien assoziierten Lymphknoten, kurz iBALT. „Mittlerweile geht man davon aus, dass die Entstehung von iBALT ein ganz zentraler Aspekt bei einer Verschlechterung von COPD ist – wie er aber entsteht war bis dato unklar“, so der Studienleiter weiter.
Entsprechend suchten die Lungenspezialisten nach bekannten Abläufen in anderen Lymphgeweben. Dabei wurden sie auch auf den sogenannten Oxysterol-Stoffwechsel aufmerksam. Oxysterole sind Abkömmlinge des Cholesterins und spielen in vielen unterschiedlichen biologischen Prozessen eine Rolle, unter anderem bei der Wanderung von Immunzellen in das Lymphgewebe.
„Wir wollten nun herausfinden, ob das auch im Umfeld der Lunge und speziell bei einer durch Zigarettenrauch bedingten COPD so ist“, berichtet Yildirim. Tatsächlich fanden die Forscher sowohl im Versuchsmodell als auch in der Lunge von COPD-Patienten erhöhte Mengen der Enzyme, die für den Oxysterol-Stoffwechsel verantwortlich sind, begleitet von ins Gewebe einwandernden Immunzellen. Weitere Versuchsreihen zeigten zudem, dass die iBALT-Bildung gehemmt ist, wenn die Stoffwechsel-Enzyme nicht vorhanden sind. Dadurch wurde auch das Einwandern von Immunzellen verhindert und die Lunge nahm trotz Zigarettenrauch keinen Schaden.
Die Wissenschaftler versuchten anschließend diesen Effekt pharmakologisch nachzubauen: Hierfür blockierten sie den Oxysterol-Stoffwechselweg mit einem Hemmstoff**, woraufhin im Modellversuch das Einwandern der Immunzellen nach Zigarettenrauch-Reizung und damit die iBALT-Bildung verhindert wurde. „Künftig wird es unser Ziel sein, die Ergebnisse aus dem Modell auf den Menschen zu übertragen, um möglicherweise in die Entstehung von COPD eingreifen zu können“, hofft Ali Önder Yildirim. „Da kommt viel Arbeit auf uns zu, auf die wir uns bereits freuen.“
Weitere Informationen
* Das Lymphsystem mit den Lymphgefäßen als Leitungsbahnen ist neben dem Blutkreislauf das wichtigste Transportsystem im menschlichen Körper. Es ist auf den Transport von Nähr- und Abfallstoffen spezialisiert und entsorgt in den Lymphknoten auch Krankheitserreger wie Bakterien und Fremdkörper. Tertiäre Lymphknoten bilden sich später in den verschiedenen Organen in der Nähe von Entzündungen, vereinfacht gesagt als improvisierter Lymphknoten.
** Konkret verwendete das Team den Wirkstoff Clotrimazol, ein bereits zugelassenes Antimykotikum.
Original-Publikation:
Jia, J. & Conlon, TM. et al. (2018): Cholesterol metabolism promotes B‐cell positioning during immune pathogenesis of chronic obstructive pulmonary disease. EMBO Molecular Medicine, DOI: 10.15252/emmm.201708349
Das Helmholtz Zentrum München verfolgt als Deutsches Forschungszentrum für Gesundheit und Umwelt das Ziel, personalisierte Medizin für die Diagnose, Therapie und Prävention weit verbreiteter Volkskrankheiten wie Diabetes mellitus und Lungenerkrankungen zu entwickeln. Dafür untersucht es das Zusammenwirken von Genetik, Umweltfaktoren und Lebensstil. Der Hauptsitz des Zentrums liegt in Neuherberg im Norden Münchens. Das Helmholtz Zentrum München beschäftigt rund 2.300 Mitarbeiter und ist Mitglied der Helmholtz-Gemeinschaft, der 18 naturwissenschaftlich-technische und medizinisch-biologische Forschungszentren mit rund 37.000 Beschäftigten angehören. www.helmholtz-muenchen.de
Das Institut für Lungenbiologie (ILBD) gehört dem Comprehensive Pneumoloy Center (CPC) an, einem Zusammenschluss des Helmholtz Zentrums München mit dem Universitätsklinikum der Ludwig-Maximilians-Universität München und den Asklepios Fachkliniken München-Gauting. Ziel des CPC ist die Erforschung chronischer Lungenerkrankungen, um neue diagnostische und therapeutische Strategien zu entwickeln. Das ILBD führt mit der Untersuchung zellulärer, molekularer und immunologischer Mechanismen von Lungenerkrankungen den Schwerpunkt der experimentellen Pneumologie an. Das CPC ist ein Standort des Deutschen Zentrums für Lungenforschung (DZL). www.helmholtz-muenchen.de/ilbd
Das Deutsche Zentrum für Lungenforschung (DZL) ist ein nationaler Verbund, der Experten auf dem Gebiet der Lungenforschung bündelt und Grundlagenforschung, Epidemiologie und klinische Anwendung verzahnt. Standorte sind Borstel/Lübeck/Kiel/Großhansdorf, Gießen/Marburg/Bad Nauheim, Hannover, Heidelberg und München. Ziel des DZL ist es, über einen neuartigen, integrativen Forschungsansatz Antworten auf offene Fragen in der Erforschung von Lungenkrankheiten zu finden und damit einen wesentlichen Beitrag zur Verbesserung von Prävention, Diagnose und Therapie zu leisten. www.dzl.de
Ansprechpartner für die Medien:
Abteilung Kommunikation, Helmholtz Zentrum München - Deutsches Forschungszentrum für Gesundheit und Umwelt (GmbH), Ingolstädter Landstr. 1, 85764 Neuherberg - Tel. +49 89 3187 2238 - E-Mail: presse@helmholtz-muenchen.de
Fachlicher Ansprechpartner:
Dr. Ali Önder Yildirim, Helmholtz Zentrum München - Deutsches Forschungszentrum für Gesundheit und Umwelt (GmbH), Comprehensive Pneumology Center, Max-Lebsche-Platz 31, 81377 München - Tel. +49 89 3187 4037 - E-Mail: oender.yildirim@helmholtz-muenchen.de
Die semantisch ähnlichsten Pressemitteilungen im idw
