Gefürchtetes Aufweiten und Platzen der Aorta: Neue Gefäßprothese soll Herzpatienten besser schützen
Mediziner der Universitätsklinik München nutzen 3D-Druck-Technik für passgenauere Prothese bei Aortenaneurysma / Dr. Rusche-Projektförderung (60.000 Euro)
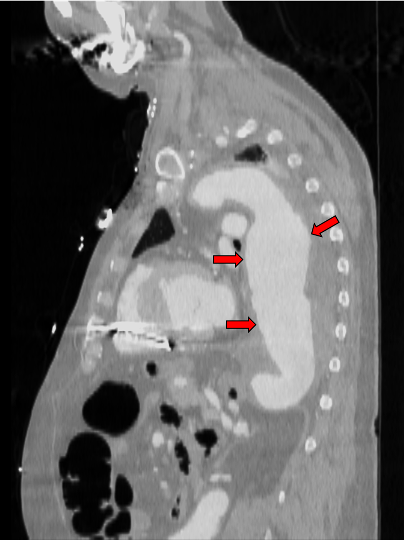
Im Zuge des Alterns oder aufgrund von Herz-Kreislauf-Erkrankungen (Arteriosklerose, Bluthochdruck), der genetischen Veranlagung oder durch Rauchen können sich Abschnitte an Arterien krankhaft aufweiten. Bei einer krankhaften Erweiterung der Hauptschlagader (Aorta) oberhalb des Zwerchfells (Brustaorta) auf einen Durchmesser von mehr als 50 % des Normwerts spricht man von einem Aortenaneurysma, das spindel- oder sackförmig aussehen kann und gefährlich ist. Unbehandelt können sich aus Aneurysmen an der Aorta die höchst gefürchteten Dissektionen („das Gefäß platzt“) entwickeln – auch heute ein Notfall, der häufig tödlich endet. „Weil das erkrankte Gefäß ab einem bestimmten Durchmesser oder beim Auftreten von Beschwerden mit einer Prothese versorgt werden muss, sind auf diesem Gebiet Neuentwicklungen, die der Sicherheit und der Verbesserung der Lebensqualität der Betroffenen dienen, besonders wichtig“, betont Prof. Dr. med. Hellmut Oelert, Vorsitzender des Wissenschaftlichen Beirats der Deutschen Stiftung für Herzforschung (DSHF) – von der Deutschen Herzstiftung 1988 gegründet (www.herzstiftung.de). Während der Eingriff früher nur mit Hilfe einer offenen Operation möglich war, lässt sich heute die Prothese in immer mehr Fällen katheterbasiert (minimalinvasiv) einsetzen. Es treten etwa 15 Fälle eines Aortenaneurysmas pro 100.000 Einwohner auf (Häufigkeitsgipfel im 6. und 7. Lebensjahrzehnt). Männer sind etwa 2- bis 4-mal häufiger als Frauen betroffen.
Neue Prothese passt sich noch besser an die Gefäßanatomie des Patienten an
Ein Forscherteam um den Herzchirurgen Dr. med. Nikolaus Thierfelder vom Klinikum der Ludwig-Maximilians-Universität München, Campus Großhadern, wird im Rahmen des mit rund 60.000 Euro geförderten Dr. Rusche-Forschungsprojektes* ein Verfahren entwickeln und testen, um künstliche Gefäßprothesen patienten-individuell herzustellen. „Unser Ziel ist es, durch die verbesserte Passgenauigkeit der Prothese die Komplikationsrate signifikant zu senken und gleichzeitig die Sicherheit für die Patienten zu erhöhen“, betont Dr. Thierfelder. Denn üblicherweise werden die Prothesen in bestimmten vorgefertigten Größen zur Verfügung gestellt, die der behandelnde Arzt nach Auswertung von Aufnahmen des erkrankten Gefäßes (z. B. Computertomographie) auswählt. „Dabei kann es vorkommen, dass die gewählte Prothese oft nicht ideal zur Anatomie des Patienten passt. Studien konnten zeigen, dass viele Komplikationen nach der Prothesenimplantation aus diesem Grund entstehen.“ Komplikationen seien z. B. das Verrutschen der Prothese oder eine mangelnde Abdichtung an den Prothesenenden, die oft einen zusätzlichen medizinischen Eingriff erforderten. Als Grundlage zur patienten-individuellen Prothesenproduktion dienen CT- oder MRT-Aufnahmen, die im Zuge der Diagnostik vor dem Eingriff ohnehin gewonnen werden müssen.
Plastische 3D-Druck-Modell des erkrankten Gefäßes
In einem mehrstufigen Prozess, können aus den Aufnahmen mit Hilfe einer spezialisierten Software anatomische Strukturen (z.B. das erkrankte Gefäß) definiert und freigestellt werden. Die erkrankten Stellen des Gefäßes werden ausgewählt, modifiziert und anschließend mit Hilfe eines 3D-Druckers als plastisches Modell hergestellt. Auf dieses Modell wird dann mit einem elektronischen Spinnverfahren („Elektrospinning“) eine dünne, faserige Polymerschicht aufgetragen. Die neu entwickelte patientenspezifische Prothese wird nicht nur aus einem Kunststoffschlauch wie bisherige Modelle, sondern auch aus einen form- und stabilitätsgebenden Drahtskelett bestehen. Dieses wird in einem separaten Prozess ebenfalls individuell geformt, um dann in den elektrogesponnenen Schlauch eingearbeitet zu werden. „Mit dem neuen Verfahren wollen wir die Prothesenherstellung im Vergleich zur bisherigen, manuellen Produktionsmethode nicht nur individueller, sondern auch ökonomischer, schneller und insbesondere sicherer machen“, so Dr. Thierfelder.
*Titel: Entwicklung und automatisierte Herstellung von patientenindividuellen endovaskulären Gefäßprothesen mittels additiver Fertigung und Elektrospinning
Zur Hauptschlagader (Aorta)
Die Aorta hat die Aufgabe, das aus dem Herzen kommende sauerstoffreiche Blut im Körper zu verteilen. So fließen etwa 200 Millionen Liter Blut im Lauf eines Lebens aus dem Herzen in die Aorta und verteilen sich im Körper, um Organe wie das Herz, das Gehirn, das Rückenmark, die Muskeln, die Bauchorgane sowie Arme und Beine mit dem lebenswichtigen Sauerstoff zu versorgen. Die Aorta entspringt direkt der linken Herzkammer und weist beim gesunden Erwachsenen einen Durchmesser von etwa 2,5 bis 3,5 cm auf. Sie hat die Form und den Verlauf eines Wanderstocks, der von rechts vorne nach hinten links gedreht ist und nach unten entlang der Wirbelsäule verläuft.
Dank der finanziellen Unterstützung durch Stifterinnen und Stifter, Spender und Erblasser kann die Deutsche Stiftung für Herzforschung (www.dshf.de) – von der Deutschen Herzstiftung e. V. 1988 gegründet – Forschungsprojekte in einer Größenordnung finanzieren, die die Deutsche Herzstiftung e. V. und die DSHF in der Herz-Kreislauf-Forschung unverzichtbar machen.
Druckfähiges Bildmaterial erhalten Sie zum Download unter den folgenden Links:
www.herzstiftung.de/presse/bildmaterial/forschung-Dr-thierfelder-3-D-Modell-a.jpg
www.herzstiftung.de/presse/bildmaterial/forschung-Dr-thierfelder-3-D-Modell-b.jpg
www.herzstiftung.de/presse/bildmaterial/forschung-rusche-aortenaneurysma.jpg
www.herzstiftung.de/presse/bildmaterial/forschung-rusche-uebergabe.jpg
(Für Bildunterschriften und -nachweise siehe PM als Attachment)
23/2018
Informationen:
Deutsche Stiftung für Herzforschung
Pressestelle:
Michael Wichert/Pierre König
Tel. 069/955128-114/-140
E-Mail: wichert@herzstiftung.de/
koenig@herzstiftung.de
www.dshf.de
Weitere Informationen:
https://www.herzstiftung.de/presse/bildmaterial/forschung-Dr-thierfelder-3-D-Modell-a.jpg
https://www.herzstiftung.de/presse/bildmaterial/forschung-Dr-thierfelder-3-D-Modell-b.jpg
https://www.herzstiftung.de/presse/bildmaterial/forschung-rusche-aortenaneurysma.jpg
https://www.herzstiftung.de/presse/bildmaterial/forschung-rusche-uebergabe.jpg
https://www.herzstiftung.de
https://www.dshf.de
Die semantisch ähnlichsten Pressemitteilungen im idw
