Every Person Has a Unique Brain Anatomy
Like with fingerprints, no two people have the same brain anatomy, a study by researchers of the University of Zurich has shown. This uniqueness is the result of a combination of genetic factors and individual life experiences.
The fingerprint is unique in every individual: As no two fingerprints are the same, they have become the go-to method of identity verification for police, immigration authorities and smartphone producers alike. But what about the central switchboard inside our heads? Is it possible to find out who a brain belongs to from certain anatomical features? This is the question posed by the group working with Lutz Jäncke, UZH professor of neuropsychology. In earlier studies, Jäncke had already been able to demonstrate that individual experiences and life circumstances influence the anatomy of the brain.
Experiences make their mark on the brain
Professional musicians, golfers or chess players, for example, have particular characteristics in the regions of the brain which they use the most for their skilled activity. However, events of shorter duration can also leave behind traces in the brain: If, for example, the right arm is kept still for two weeks, the thickness of the brain’s cortex in the areas responsible for controlling the immobilized arm is reduced. “We suspected that those experiences having an effect on the brain interact with the genetic make-up so that over the course of years every person develops a completely individual brain anatomy,” explains Jäncke.
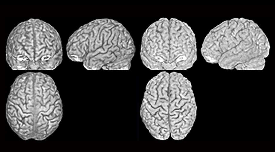
Magnetic resonance imaging provides basis for calculations
To investigate their hypothesis, Jäncke and his research team examined the brains of nearly 200 healthy older people using magnetic resonance imaging three times over a period of two years. Over 450 brain anatomical features were assessed, including very general ones such as total volume of the brain, thickness of the cortex, and volumes of grey and white matter. For each of the 191 people, the researchers were able to identify an individual combination of specific brain anatomical characteristics, whereby the identification accuracy, even for the very general brain anatomical characteristics, was over 90 percent.
Combination of circumstances and genetics
“With our study we were able to confirm that the structure of people’s brains is very individual,” says Lutz Jäncke on the findings. “The combination of genetic and non-genetic influences clearly affects not only the functioning of the brain, but also its anatomy.” The replacement of fingerprint sensors with MRI scans in the future is unlikely, however. MRIs are too expensive and time-consuming in comparison to the proven and simple method of taking fingerprints.
Progress in neuroscience
An important aspect of the study’s findings for Jäncke is that they reflect the great developments made in the field in recent years: “Just 30 years ago we thought that the human brain had few or no individual characteristics. Personal identification through brain anatomical characteristics was unimaginable.” In the meantime magnetic resonance imaging has got much better, as has the software used to evaluate digitalized brain scans – Jäncke says it is thanks to this progress that we now know better.
Wissenschaftlicher Ansprechpartner:
Prof. Lutz Jäncke, PhD
Department of Psychology
University of Zurich
Phone +41 44 635 74 01
lutz.jaencke@uzh.ch
Originalpublikation:
Valizadeh, S. A., Liem, F., Mérillat, S., Hänggi, J., & Jäncke, L. (2018). Identification of individual subjects on the basis of their brain anatomical features. Scientific Reports, April 4, 2018. DOI:10.1038/s41598-018-23696-6
Weitere Informationen:
http://www.media.uzh.ch/en/Press-Releases/2018/Brain-Anatomy.html
Die semantisch ähnlichsten Pressemitteilungen im idw
