Ötzis letzte Mahlzeit weist hohen Fettanteil auf
Mumienforscher des Forschungsinstitutes Eurac Research (I) analysieren Mageninhalt der Gletschermumie und erlangen neue Erkenntnisse zur Ernährung und Nahrungszubereitung vor 5.300 Jahren.
Frisches oder getrocknetes Wildfleisch von Steinbock und Rothirsch, Einkorn und Spuren von giftigem Adlerfarn: So setzte sich Ötzis letzte Mahlzeit zusammen.
In einer internationalen Studie, geleitet von Forschern am Bozner Zentrum Eurac Research, haben Wissenschaftler den Mageninhalt der Gletschermumie auf Biomoleküle wie Proteine, Lipide und Kohlenhydrate und deren Ursprung untersucht.
Dank der Ergebnisse können die Forscher erstmals eine kupferzeitliche Mahlzeit rekonstruieren. Die Studienergebnisse wurden kürzlich im renommierten Fachjournal „Current Biology“ veröffentlicht.
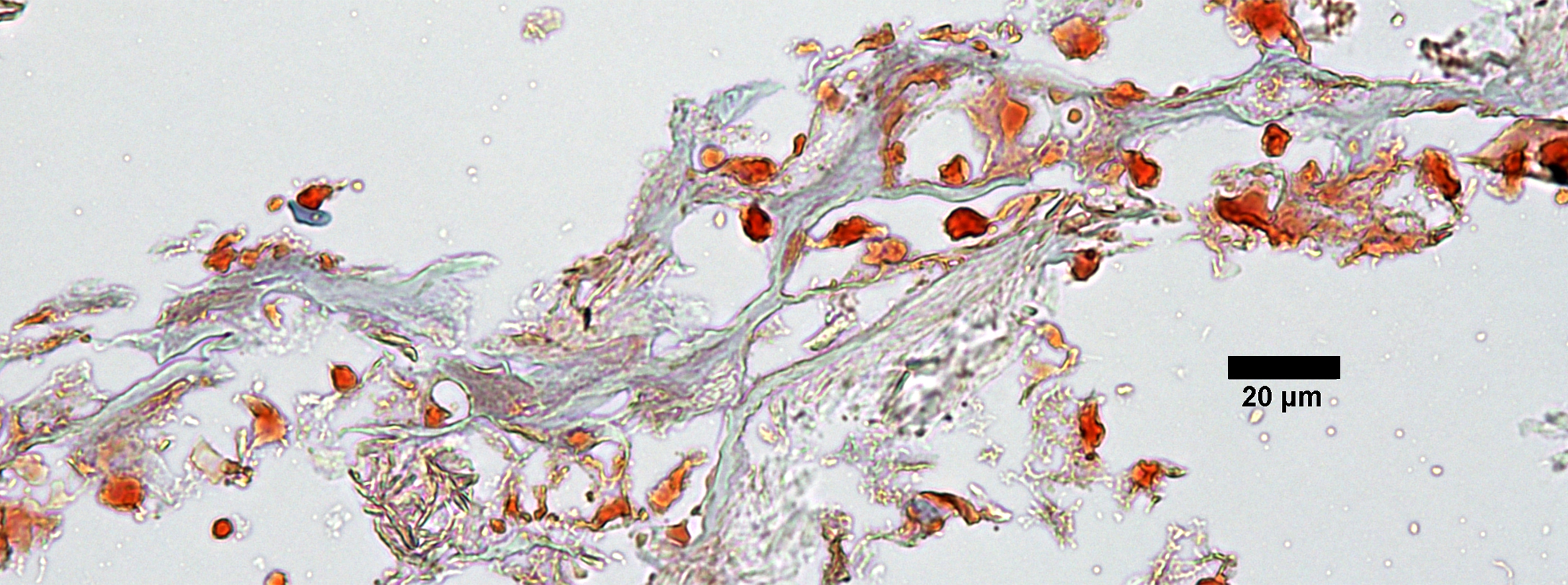
Der Mann aus dem Eis muss sich sicher gefühlt haben, kurz bevor er ums Leben kam. Zwei Stunden bis eine halbe Stunde vor seinem Tod hat er ein ausgiebiges Mahl zu sich genommen. Vom hohen Fettanteil in Ötzis komplett gefüllten Magen zeigen sich die Forscher überrascht: „Fett unterscheidet sich stark von anderen Substanzen, weil es wasserabweisend ist. Den hohen Fettanteil konnten wir daher mit bloßem Auge erkennen“, berichtet Frank Maixner, Mikrobiologe bei Eurac Research. Detaillierte Lipidanalysen haben dann bestätigt, dass es sich dabei um Fett tierischen Ursprungs handelt, und zwar um Fettgewebe vom Steinbock.
„Es schien Ötzi bewusst gewesen zu sein, dass Fette eine ausgezeichnete Energiequelle sind. Die hochalpine Umgebung, in der der Mann aus dem Eis lebte und 5.300 Jahre nach seinem Tod gefunden wurde (3.210 m), stellt für die menschliche Physiologie eine besondere Herausforderung dar. Sie erfordert eine optimale Nährstoffversorgung, um einen schnellen Energieverlust zu vermeiden.“, erläutert Maixner.
Die ausführliche Analyse des Mageninhalts lässt zudem Rückschlüsse auf die Nahrungszubereitung in der Kupferzeit zu: Das Steinbockfleisch in Ötzis Magen war noch sehr gut erhalten. An der quergestreiften Fleischfaserung konnten die Forscher erkennen, dass es sich dabei um Muskelfleisch handelt, das luftgetrocknet beziehungsweise nur sehr mild erhitzt worden war – wahrscheinlich um es haltbar zu machen. Nur bis zu einer Erhitzungstemperatur von 60 Grad bleibt die Fleischfaserung nämlich so gut strukturiert. Das zeigen Tests, die die Forscher mit frischem Wildfleisch durchgeführt haben: Nach dem Braten oder Kochen verschwanden die regelmäßigen Muster in den Fleischfasern.
Was die pflanzlichen Bestandteile des Mageninhalts betrifft, stellten die Forscher in Ötzis letzter Mahlzeit Einkorn in nicht gemahlener Form und Spuren von Adlerfarn fest. Beim Einkorn handelt es sich um eine der ältesten domestizierten Getreidearten, die als Vorläufer des Weizens gilt. Wie die Spuren des giftigen Adlerfarns in Ötzis Magen gelangt sind, darüber können die Forscher nur Mutmaßungen anstellen: „Es kann sein, dass Ötzi aufgrund der Parasiten, die bereits in vorangehenden Studien in seinem Darm festgestellt wurden, an inneren Beschwerden litt und er den Adlerfarn als Medikament dagegen eingenommen hat. Es ist jedoch auch möglich, dass er die Farnblätter verwendet hat, um das Essen darin einzuwickeln und die Farnbestandteile unbeabsichtigt in seine Nahrung gelangt sind“, erklärt Albert Zink, Leiter des Instituts für Mumienforschung von Eurac Research. Trotz seiner Toxizität konsumieren verschiedene indigene Völker in Asien auch heute noch die Sprossen von Adlerfarn als pflanzliches Nahrungsmittel.
„Ötzis letzte Mahlzeit war eine ausgewogene Mischung aus Kohlenhydraten, Proteinen und Lipiden - perfekt abgestimmt auf die Anforderungen im Hochgebirge“, so Zink abschließend.
Originalpublikation:
https://doi.org/10.1016/j.cub.2018.05.067
Weitere Informationen:
https://www.youtube.com/watch?v=AV1LEIY3ScM Kurzvideo
http://webfolder.eurac.edu/press/Iceman_stomach_international Fotos mit Beschreibung und Copyright
Ähnliche Pressemitteilungen im idw