Natürliche Geburt nach Endometriose-Operation
Spontan gebären trotz früherer Operation wegen schwerer Endometriose? Die Frauenklinik am Inselspital hat nachgewiesen, dass nach einer minimal-invasiven Operation, entgegen der allgemeinen Meinung, Endometriosepatientinnen nicht nur schwanger werden, sondern auch spontan gebären können.
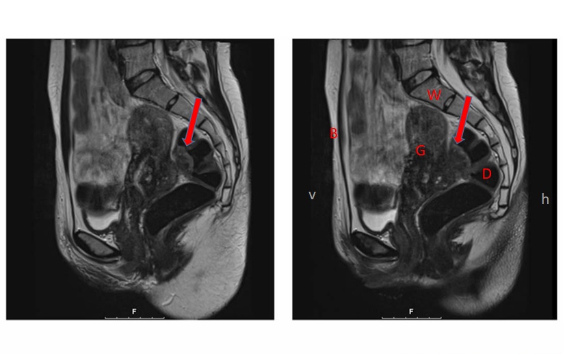
Endometriose betrifft jede zehnte Frau im gebärfähigen Alter. Diese gutartige chronische Erkrankung verursacht vor allem während der Regelblutung teils starke Bauchschmerzen und kann eine Rolle bei unerfülltem Kinderwunsch spielen. Dabei wächst Gewebe, das der Gebämutterschleimhaut ähnlich ist, ausserhalb der Gebärmutter im Bauch. Selten kann dieses Gewebe tief in andere Organe wie etwa den Darm oder die Vagina einwachsen (sogenannte tief-infiltrierende Endometriose). Oft wird dann eine Operation zur Entfernung der Endometriose nötig.
Forschende der Universitätsklinik für Frauenheilkunde am Inselspital wollten nun wissen, ob eine Schwangerschaft und Geburt nach einer solchen Operation risikoreicher ist als die einer Frau ohne Endometriose. Dazu untersuchten sie 62 Frauen nach einer erfolgreich durchgeführten Endometriose-Operation und verglichen sie mit 186 gesunden Frauen. Ihre Studie wurde im renommierten Journal «Fertility and Sterility» publiziert.
Weniger Risiken als erwartet
Die Ergebnisse: Die Frauen mit Endometriose hatten einen leicht höheren Blutverlust während der Geburt, aber sonst keine Tendenz zu vermehrten Komplikationen für Mutter und Kind. Spontangeburten waren fast so häufig wie in der Vergleichsgruppe. Aufgrund der Operation an Darm und Vagina wurde bisher angenommen, dass Vaginalgeburten problematisch seien mit beispielsweise häufigen Vaginalrissen oder Geburtsstillstand. «Dies ist die erste Studie, die zeigt, dass Frauen nach grösseren Endometriose-Operationen keine nennenswert höheren Risiken für die Geburt haben», erklärt Studienleiter Dr. med. Konstantinos Nirgianakis.
Weiter ergab die Studie: Frauen mit Endometriose hatten eine leicht erhöhte Neigung zu kleineren Kindern (Geburtsgewicht unter dem Durchschnitt) und zu Bluthochdruck während der Schwangerschaft. Ausserdem kam es etwas häufiger als gewöhnlich zu einer sogenannten «Plazenta previa», bei welcher der Mutterkuchen den Geburtskanal verschliesst.
Wissenschaftlicher Ansprechpartner:
Dr. med. Konstantinos Nirgianakis, Oberarzt, Endometriosezentrum, Universitätsklinik für Frauenheilkunde, Inselspital, Universitätsspital Bern, Konstantinos.Nirgianakis@insel.ch.
Originalpublikation:
https://doi.org/10.1016/j.fertnstert.2018.04.036
Die semantisch ähnlichsten Pressemitteilungen im idw