Einladung: LIN weiht neuen Ultra-Hochfeld-Kleintierscanner ein
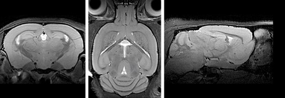
Dem Gehirn beim Arbeiten zuzuschauen, ist dank Magnetresonanztomographie (MRT) ohne Eingriff von außen möglich. Am 27. und 28. September wird am Magdeburger Leibniz-Institut für Neurobiologie (LIN) ein neuer 9,4-Tesla-Kleintierscanner offiziell eingeweiht. Das Gerät ermöglicht Aussagen über Veränderungen der Hirnstruktur, des Stoffwechsels und der regionalen Gehirnaktivität, die sich gut mit MRT-Befunden am Menschen vergleichen lassen und somit auch zur Erprobung diagnostischer Verfahren dienen können.
Als projektverantwortlicher Wissenschaftler war Privatdozent Dr. Eike Budinger bereits seit 2016 in die ersten Planungen zum MRT eingebunden und freut sich nun, dass er endlich in Betrieb genommen werden kann: „Wir möchten mit Hilfe des Scanners vor allem Maus- und Rattenmodelle mit Lern- und Gedächtnisstörungen untersuchen und herausfinden, wie diese beispielsweise bedingt durch Alterskrankheiten wie Demenz oder Entwicklungsstörungen wie ADHS, Autismus oder Epilepsie, aber auch Depression, Schizophrenie oder Schlaganfall entstehen.“
Mit 9,4 Tesla beträgt das Magnetfeld des Gerätes das 200.000-fache des natürlichen Erdmagnetfeldes – und ist damit dreimal so hoch wie das Magnetfeld in üblichen Klinik-Geräten, was deutlich detailreichere Einblicke in das arbeitende Gehirn bedeutet. Dank der modernen MRT-Technik können Bilder von der Struktur des Gehirns erzeugt werden, die Verteilung von biochemischen Stoffen kann dargestellt werden und sogar die Hirnaktivität beim Denken, Fühlen oder Entscheiden kann mit diesem Verfahren sichtbar gemacht werden.
Magdeburg war bereits seit den 1990er Jahren ein Vorreiter bei der Nutzung der Kernspintomographie zur Aufklärung neuronaler Prozesse bei Mensch und Tier. Hier wurden ab 1993 die ersten Magnetresonanztomographen installiert: ein 3-Tesla-Gerät für Untersuchungen am Menschen und ein 4,7-Tesla-Kleintierscanner. Im Jahr 2005 wurde am LIN der europaweit erste 7-Tesla-Ultrahochfeld-Human-Tomograph in Betrieb genommen.
Zum Programm:
Die Veranstaltung beginnt am 27. September um 14 Uhr mit einer Begrüßung durch den Institutsdirektor, Prof. Dr. Eckart Gundelfinger, gefolgt von einem Grußwort durch den Minister für Wirtschaft, Wissenschaft und Digitalisierung des Landes Sachsen-Anhalt, Prof. Dr. Armin Willingmann. Danach wird Dr. Eike Budinger das Gerät vorstellen sowie einen Einblick in das neue Labor und die dafür notwendigen Baumaßnahmen geben. Diese drei Vorträge werden auf Deutsch sein. Das sich anschließende, 2-tägige wissenschaftliche Kolloquium wird englische Vorträge zu Ergebnissen und Perspektiven der MRT-Forschung beinhalten. Namhafte Wissenschaftler aus Deutschland und der Schweiz haben zugesagt.
Die semantisch ähnlichsten Pressemitteilungen im idw