Helmholtz-Wissenschaftler klären Ursache für Nebenwirkungen bei Kortison-Präparaten
Bei Patienten, die langfristig mit entzündungshemmenden Steroiden behandelt werden, können sich Nebenwirkungen im Stoffwechsel bemerkbar machen. Forscherinnen und Forscher am Helmholtz Zentrum München und der Ludwig-Maximilians-Universität München (LMU), Mitglieder im Deutschen Zentrum für Diabetesforschung (DZD), konnten nun einen Mechanismus aufklären, der zu diesem sogenannten Steroid-Diabetes führt. Die Ergebnisse sind in ‚Nature Communications‘ nachzulesen.
„Glukokortikoide wie Kortison werden seit vielen Jahrzehnten für die Behandlung von Entzündungskrankheiten wie Asthma oder Rheuma eingesetzt und sind das meistverschriebene Präparat zur entzündungshemmenden Behandlung“, erklärt Prof. Dr. Henriette Uhlenhaut, Gruppenleiterin am Institut für Diabetes und Adipositas des Helmholtz Zentrums München (IDO) sowie am Genzentrum der LMU. „Aber auch bei Autoimmunerkrankungen, Organtransplantationen oder Krebs kommen sie zur Anwendung. Schätzungen zufolge werden in der westlichen Welt zwischen ein und drei Prozent der Menschen damit behandelt, was in Deutschland zurzeit über einer Million Menschen entsprechen würde.“
Allerdings wird ihr vielseitiger Einsatz durch verschiedene Nebeneffekte beschränkt, die bei der Therapie auftreten können. Dazu gehören unter anderem unerwünschte Einflüsse auf den Stoffwechsel.* Denn nachdem die Glukokortikoide an ihren Rezeptor in den Körperzellen gebunden haben, beginnt dieser damit, zahlreiche Gene ein- und auszuschalten. „Dazu zählen auch verschiedene Stoffwechselgene, was in der Konsequenz zum sogenannten Steroid-Diabetes führen kann“, so Henriette Uhlenhaut.
In der aktuellen Studie untersuchte ihr Team gemeinsam mit Kollegen vom Max-Delbrück-Centrum für Molekulare Medizin in Berlin, dem Salk Institute in San Diego und der Universität Freiburg nach den genauen Mechanismen, die nach der Bindung der Steroide an den Rezeptor ablaufen.
„Dabei fiel uns vor allem der Transkriptionsfaktor E47 auf, der gemeinsam mit dem Glukokortikoid-Rezeptor für die veränderten Genaktivitäten speziell in Leberzellen sorgt“, erklärt Charlotte Hemmer, Doktorandin am IDO und Erstautorin der aktuellen Arbeit. „Diesen Zusammenhang konnten wir durch genomweite Analysen und genetische Experimente herausarbeiten.“
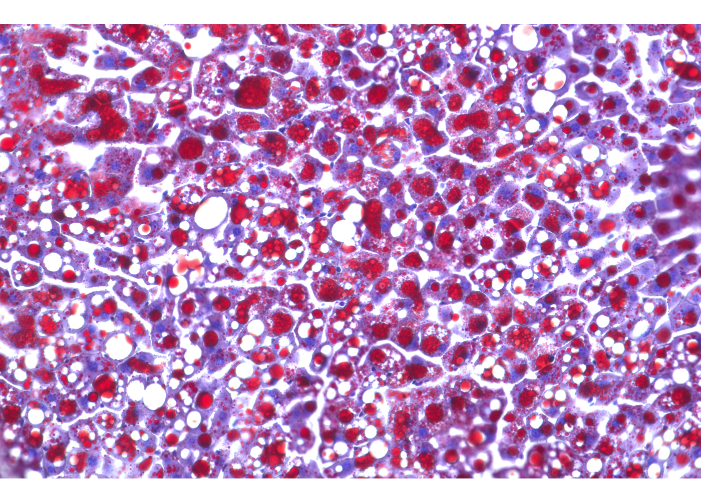
Um ihre Erkenntnisse zu erhärten, untersuchten die Wissenschaftlerinnen und Wissenschaftler die Zusammenhänge auch in einem präklinischen Modell. „Tatsächlich führte hier das Fehlen von E47 zu einem Schutz vor den negativen Effekten der Glukokortikoide, während die Steroidgabe bei intaktem E47 mit Stoffwechselveränderungen wie Überzucker, erhöhten Blutfetten oder einer Fettleber verbunden war“, so Charlotte Hemmer.
Da die Komponenten des neu gefundenen Mechanismus auch beim Menschen existieren, möchten Uhlenhaut und ihr Team gemeinsam mit klinischen Kooperationspartnern künftig herausfinden, ob sich die Ergebnisse dort bestätigen. „In diesem Fall könnten sich neue therapeutisches Eingriffsmöglichkeiten anbieten, um den Nebenwirkungen einer Steroid-Therapie durch sicherere Immunsuppressiva entgegenzuwirken“, hofft Henriette Uhlenhaut mit Blick auf die Zukunft.
Weitere Informationen
* Glukokortikoide zählen zu den Kortikosteroiden, einer Klasse von Steroidhormonen aus der Nebennierenrinde. Ihr Name leitet sich von ihrer Funktion im Zuckerstoffwechsel ab, wo sie die Umwandlung von Eiweiß (Protein) in Glukose und Glykogen fördern.
** Transkriptionsfaktoren sind Proteine, die dafür sorgen, dass bestimmte Gene abgelesen werden oder eben nicht. Dafür beeinflussen (fördern oder behindern) sie in der Regel die Bindung der RNA-Polymerase an die DNA-Sequenz, die für das entsprechende Gen kodiert.
Hintergrund:
Das aktuelle Projekt wurde durch die Deutsche Forschungsgemeinschaft (DFG) gefördert. Für ihre Arbeiten zu den regulatorischen Prozessen am Glukokortikoid-Rezeptor erhielt Henriette Uhlenhaut 2014 zudem einen Starting Grant des Europäischen Forschungsrats (European Research Council, ERC).
Das Helmholtz Zentrum München verfolgt als Deutsches Forschungszentrum für Gesundheit und Umwelt das Ziel, personalisierte Medizin für die Diagnose, Therapie und Prävention weit verbreiteter Volkskrankheiten wie Diabetes mellitus, Allergien und Lungenerkrankungen zu entwickeln. Dafür untersucht es das Zusammenwirken von Genetik, Umweltfaktoren und Lebensstil. Der Hauptsitz des Zentrums liegt in Neuherberg im Norden Münchens. Das Helmholtz Zentrum München beschäftigt rund 2.300 Mitarbeiter und ist Mitglied der Helmholtz-Gemeinschaft, der 18 naturwissenschaftlich-technische und medizinisch-biologische Forschungszentren mit rund 37.000 Beschäftigten angehören. www.helmholtz-muenchen.de
Die LMU ist eine der führenden Universitäten in Europa mit einer über 500-jährigen Tradition. Sie bietet ein breites Spektrum aller Wissensgebiete – die ideale Basis für hervorragende Forschung und ein anspruchsvolles Lehrangebot. Es reicht von den Geistes- und Kultur- über Rechts-, Wirtschafts- und Sozialwissenschaften bis hin zur Medizin und den Naturwissenschaften. 15 Prozent der 50.000 Studierenden kommen aus dem Ausland – aus insgesamt 130 Nationen. Das Know-how und die Kreativität der Wissenschaftlerinnen und Wissenschaftler bilden die Grundlage für die herausragende Forschungsbilanz der Universität. Der Erfolg der LMU in der Exzellenzinitiative, einem deutschlandweiten Wettbewerb zur Stärkung der universitären Spitzenforschung, dokumentiert eindrucksvoll die Forschungsstärke der Münchener Universität. www.lmu.de
Das Deutsche Zentrum für Diabetesforschung e.V. ist eines der sechs Deutschen Zentren der Gesundheitsforschung. Es bündelt Experten auf dem Gebiet der Diabetesforschung und verzahnt Grundlagenforschung, Epidemiologie und klinische Anwendung. Ziel des DZD ist es, über einen neuartigen, integrativen Forschungsansatz einen wesentlichen Beitrag zur erfolgreichen, maßgeschneiderten Prävention, Diagnose und Therapie des Diabetes mellitus zu leisten. Mitglieder des Verbunds sind das Helmholtz Zentrum München – Deutsches Forschungszentrum für Gesundheit und Umwelt, das Deutsche Diabetes-Zentrum DDZ in Düsseldorf, das Deutsche Institut für Ernährungsforschung DIfE in Potsdam-Rehbrücke, das Institut für Diabetesforschung und Metabolische Erkrankungen des Helmholtz Zentrum München an der Eberhard-Karls-Universität Tübingen und das Paul-Langerhans-Institut Dresden des Helmholtz Zentrum München am Universitätsklinikum Carl Gustav Carus der TU Dresden, assoziierte Partner an den Universitäten in Heidelberg, Köln, Leipzig, Lübeck und München sowie weitere Projektpartner. www.dzd-ev.de
Ansprechpartner für die Medien:
Abteilung Kommunikation, Helmholtz Zentrum München - Deutsches Forschungszentrum für Gesundheit und Umwelt (GmbH), Ingolstädter Landstr. 1, 85764 Neuherberg - Tel. +49 89 3187 2238 - E-Mail: presse@helmholtz-muenchen.de
Wissenschaftlicher Ansprechpartner:
Prof. Dr. Henriette Uhlenhaut, Helmholtz Zentrum München - Deutsches Forschungszentrum für Gesundheit und Umwelt (GmbH), Institut für Diabetes und Krebs, Ingolstädter Landstr. 1, 85764 Neuherberg - Tel. +49 89 3187 2052 - E-Mail: henriette.uhlenhaut@helmholtz-muenchen.de
Originalpublikation:
Hemmer, MC et al. (2019): E47 modulates hepatic glucocorticoid action. Nature Communications, DOI: 10.1038/s41467-018-08196-5
Die semantisch ähnlichsten Pressemitteilungen im idw