Disease mechanism of chronic nerve damage elucidated
Chronic damage to the peripheral nervous system is a common neurological disease and can be caused by genetic defects, inflammation, metabolic disorders or medication. Patients develop progressive neuropathy, which can lead to gait abnormality, wheelchair dependence, and sensory disorders such as numbness, tingling and pain. There is little understanding of the basic mechanisms of the disease. Scientists from the Institute of Anatomy at Leipzig University and the Division of Neuropathology at Leipzig University Hospital have now succeeded in detecting a general disease mechanism that may offer a universal therapeutic starting point for a broad spectrum of chronic nerve defects.
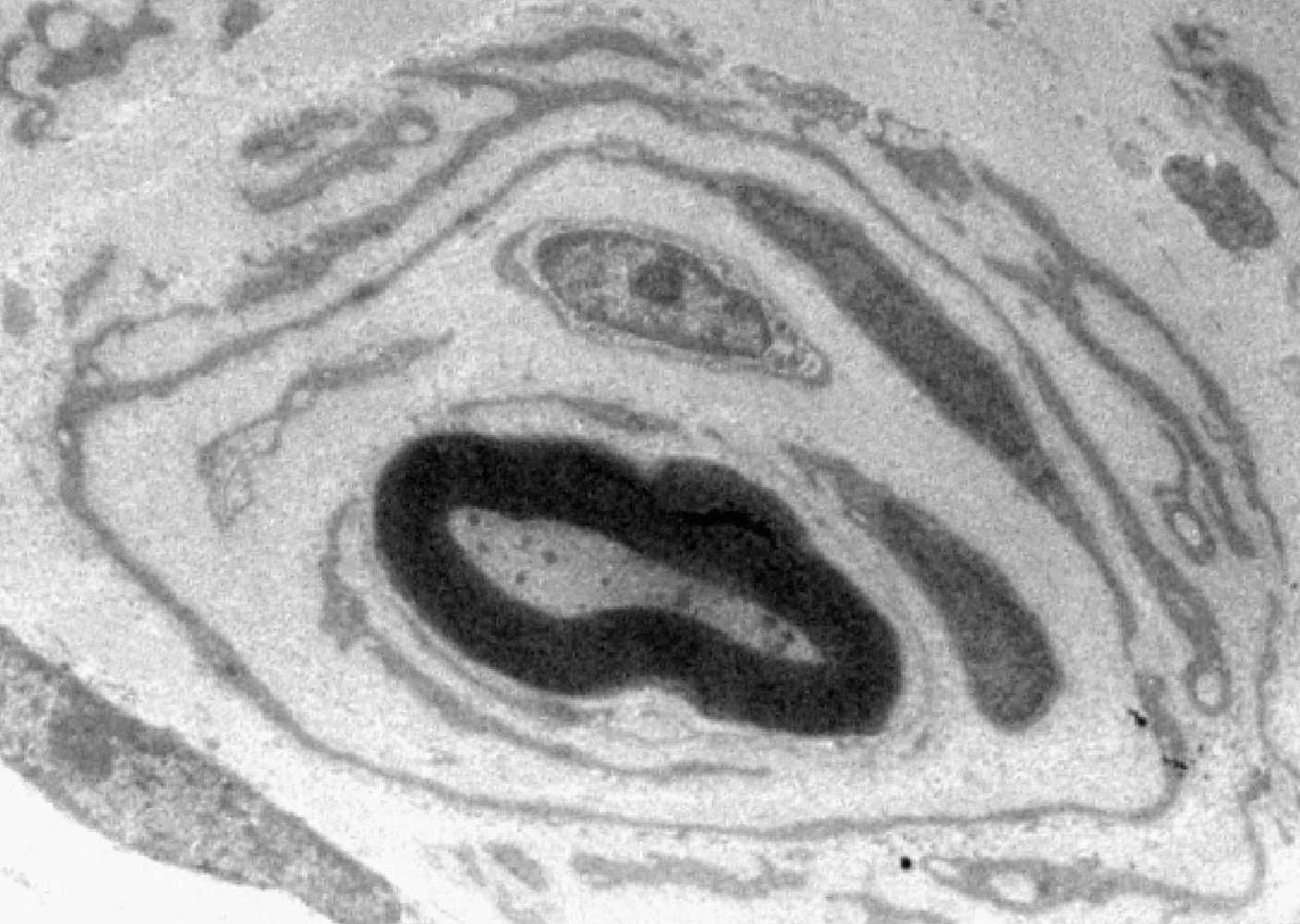
Our bodies are traversed by millions of nerve fibres that conduct electricity like wires. This allows us to do things like control our muscles and relay sensory impressions. Like wires, these nerve fibres are electrically insulated: by specialised Schwann cells, which coat the fibres with a lipid-rich sheath consisting of a substance known as myelin. As a result, signals can be transmitted particularly quickly. In people suffering from CMT1A – the most common hereditary neuropathy – the interaction between nerve fibres and Schwann cells is impaired. Transverse sections of the nerves of affected patients display large numbers of fibres with numerous Schwann cells that are incorrectly attached. Known as an “onion-bulb formation”, this phenomenon was first observed more than a century ago and has since served doctors as an important diagnostic criterion. However, scientists have remained baffled by just how it develops.
Diseased cells permanently in repair mode
The Leipzig-based researchers discovered that onion-bulb formations are an expression of an attempt at repair over which the body has lost control. “After acute nerve damage, such as a bruise or cut, the peripheral nervous system has the ability to repair itself. During this process, Schwann cells are arranged one after the other, forming a long strip along which the nerve fibres regrow. In this context, Schwann cells produce the growth factor neuregulin-1, a temporary signal that supports the repair of injured nerves,” explains Dr Ruth Stassart from the Division of Neuropathology at Leipzig University Hospital, who was senior author of the study. “In patients suffering from CMT1A, however, the diseased cells continue to produce the neuregulin-1 signal. This causes the Schwann cells to form multiple superfluous repair strips, ultimately resulting in the numerous onion-bulb formations that we can detect in the nerve biopsies of patients,” adds the scientist.
Potential therapy by suppressing the signalling effect of the growth factor
In genetically modified rodents, the scientists have been able to demonstrate that the permanent production of neuregulin-1 in CMT1A Schwann cells is not only responsible for the onion-bulb formations, but also has a significant negative impact on disease progression. “The genetic suppression of neuregulin-1 production in diseased mice led to a drastic improvement in disease progression. The continuous stimulation of the Schwann cells with neuregulin-1 means they remain permanently in repair mode and not in their normal functional mode. This is very damaging for the peripheral nervous system,” explains Dr Robert Fledrich from the Institute of Anatomy at Leipzig University’s Faculty of Medicine, co-head of the study. Since the researchers also observed chronic neuregulin-1 production in other forms of neuropathy, they suspect that they have detected a universal damage mechanism. The team are now working on making the new findings useful in therapy. “There are a number of clinically approved preparations that can be used to alleviate the neuregulin-1 signalling effect, and we are currently testing some of them,” explains Dagmar Akkermann from the Division of Neuropathology at Leipzig University Hospital, lead author of the study alongside Fledrich.
Wissenschaftlicher Ansprechpartner:
Dr Ruth Stassart
Division of Neuropathology
Leipzig University Hospital
+49(0)341 97-15090
Ruth.Stassart@medizin.uni-leipzig.de
Dr Robert Fledrich
University of Leipzig
Institute of Anatomy
+49(0)341 97-15037
Robert.Fledrich@medizin.uni-leipzig.de
Originalpublikation:
Nature Communications:
NRG1 type I dependent autoparacrine stimulation of Schwann cells in onion bulbs of peripheral neuropathies, DOI: 10.1038/s41467-019-09385-6
Die semantisch ähnlichsten Pressemitteilungen im idw