Erkrankungsmechanismus chronischer Nervenschädigungen aufgeklärt
Chronische Schädigungen des peripheren Nervensystems gehören zu den häufigen neurologischen Erkrankungen und werden durch Gendefekte, Entzündungen, Stoffwechselstörungen oder Medikamente verursacht. Erkrankte Menschen entwickeln eine langsam fortschreitende Neuropathie, die zu Gangschwierigkeiten bis hin zur Rollstuhlgebundenheit führen kann. Wissenschaftlern des Instituts für Anatomie der Universität Leipzig und der Abteilung für Neuropathologie des Universitätsklinikums Leipzig ist es nun gelungen, einen allgemeinen Erkrankungsmechanismus nachzuweisen, der womöglich einen universellen therapeutischen Ansatzpunkt für ein breites Spektrum chronischer Nervenschädigungen bietet.
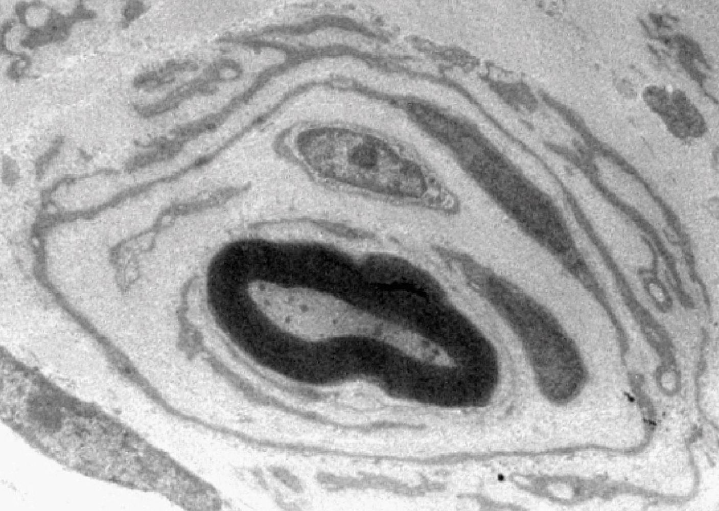
Unser Körper ist von Millionen Nervenfasern durchzogen, die Strom leiten wie Kabel. So können beispielsweise Muskeln angesteuert oder Sinneseindrücke weitergeleitet werden. Wie Kabel sind die Nervenfasern elektrisch isoliert: Durch spezialisierte Zellen, den Schwann-Zellen, die sie mit einer fettreichen Scheide, dem Myelin, ummanteln. Dadurch können Signale besonders schnell weitergeleitet werden. Bei Menschen, die an der häufigsten vererblichen Neuropathie, der CMT1A Erkrankung, leiden, ist die Interaktion zwischen Nervenfasern und Schwann-Zellen gestört. Nerven betroffener Patienten weisen im Querschnitt viele Fasern mit zahlreichen fehlerhaft angelagerten Schwann-Zellen auf. Dieses als „Zwiebelschalenformation“ bezeichnete Phänomen ist schon seit über 100 Jahren bekannt und dient Ärzten seither als wichtiges Diagnosekriterium. Ihre Entstehung ist aber komplett unverstanden.
Erkrankte Zellen dauerhaft im Reparatur-Modus
Die Leipziger Forscher konnten nun herausfinden, dass Zwiebelschalenformationen Ausdruck eines aus dem Ruder gelaufenen Reparaturversuchs sind. „Das periphere Nervensystem hat die Fähigkeit, sich nach einer akuten Nervenschädigung, wie zum Beispiel einer Quetschung oder Schnittverletzung, selbst zu reparieren. Dabei ordnen sich die Schwann-Zellen hintereinander der Reihe nach an und bilden so ein langes Band, entlang dessen die Nervenfasern erneut auswachsen. Während dieser Zeit produzieren Schwann-Zellen den Wachstumsfaktor Neuregulin-1, ein zeitlich begrenztes Signal, das die Reparatur verletzter Nerven unterstützt“, erklärt Dr. Ruth Stassart von der Abteilung für Neuropathologie am Universitätsklinikum Leipzig, Seniorautorin der Studie. „In der CMT1A Erkrankung kommt es hingegen zu einer dauerhaften Produktion des Neuregulin-1 Signals in erkrankten Schwann-Zellen. Dies führt dazu, dass die Schwann-Zellen zahlreiche Reparaturbänder bilden, die jedoch in dieser Menge überhaupt nicht benötigt werden. So entstehen schlussendlich die zahlreichen Zwiebelschalenformationen, die wir in Nervenbiopsien von Patienten nachweisen können“, so die Wissenschaftlerin weiter.
Mögliche Therapie: Signalwirkung des Wachstumsfaktors unterdrücken
In genetisch veränderten Nagetiermodellen konnten die Wissenschaftler nun nachweisen, dass die dauerhafte Neuregulin-1 Produktion in CMT1A Schwann-Zellen nicht nur für die Zwiebelschalenformationen verantwortlich ist, sondern darüber hinaus auch den Krankheitsverlauf maßgeblich negativ beeinflusst. „Die genetische Unterdrückung der Neuregulin-1 Produktion bei erkrankten Mäusen bewirkte eine drastische Verbesserung des Krankheitsverlaufs. Durch die anhaltende Stimulation der Schwann-Zellen mit Neuregulin-1 verbleiben diese dauerhaft im Reparaturmodus und eben nicht im Funktionsmodus. Für das periphere Nervensystem ist das sehr schädlich.“, erklärt Dr. Robert Fledrich vom Institut für Anatomie der Medizinischen Fakultät der Universität Leipzig, Co-Leiter der Studie. Da die Forscher auch in anderen Neuropathieformen eine chronische Neuregulin-1 Produktion messen konnten, vermuten sie, einem universellen Schädigungsmechanismus auf die Schliche gekommen zu sein. Die Wissenschaftler arbeiten nun daran die neuen Erkenntnisse therapeutisch nutzbar zu machen. „Es gibt eine Reihe bereits klinisch zugelassener Präparate mit denen sich die Neuregulin-1 Signalwirkung lindern lässt, und wir erproben gerade einige davon“, erläutert Dagmar Akkermann aus der Abteilung für Neuropathologie am Universitätsklinikum Leipzig, neben Fledrich Erstautorin der Studie.
Wissenschaftlicher Ansprechpartner:
Dr. Ruth Stassart
Abteilung für Neuropathologie am Universitätsklinikum Leipzig
Telefon: +49 341 97-15090
E-Mail: Ruth.Stassart@medizin.uni-leipzig.de
Dr. Robert Fledrich
Institut für Anatomie
Telefon: +49 341 97 15037
E-Mail: robert.fledrich@medizin.uni-leipzig.de
Originalpublikation:
„Nature Communications“:
„NRG1 type I dependent autoparacrine stimulation of Schwann cells in onion bulbs of peripheral neuropathies“, DOI: 10.1038/s41467-019-09385-6
Die semantisch ähnlichsten Pressemitteilungen im idw