Künstliche Intelligenz im Kampf gegen die Flussblindheit
Mehr als 21 Millionen Menschen in Afrika sind mit dem Fadenwurm Onchocerca volvulus, dem Erreger der Flussblindheit, infiziert. Etwa jeder Zehnte der Betroffenen erblindet. Parasitologen am Universitätsklinikum Bonn suchen nach neuen, effektiveren Waffen gegen den heimtückischen Parasiten. Dabei ist die Beurteilung des Behandlungserfolges wichtig. Dazu wollen sie jetzt ein Verfahren entwickeln, bei der Künstliche Intelligenz (KI) Gewebeproben von Patienten unter dem Mikroskop automatisch auswertet. Ziel ist es, so den Zeitaufwand zu reduzieren und einen objektiven Standard für die Analyse zu etablieren. Das Projekt wird von der Bill & Melinda Gates-Stiftung gefördert.
Der Stich der Kriebelmücke infiziert hauptsächlich in der Sub-Sahara Afrika Menschen mit Larven des Fadenwurms Onchocerca volvulus – Auslöser der Flussblindheit, der so genannten Onchozerkose. Als erstes wachsen die Larven zu geschlechtsreifen Würmern heran, die am liebsten in Knoten unter der Haut leben. Ein Weibchen, das bis zu 60 Zentimeter großwerden kann, produziert täglich bis zu 1.000 Nachkommen, so genannte Mikrofilarien. Diese breiten sich über die Lymphkanäle in der Haut bis hin zum Auge aus. Dort entzündet sich die Hornhaut, deren Zerstörung zur Erblindung führt. Auch werden die „Babywürmer“ von einer neuen Kriebelmücke bei einer Blutmahlzeit aufgenommen und weiter verbreitet.
Die WHO empfiehlt eine Behandlung aller Personen in betroffenen Gebieten mit dem üblichen Medikament Ivermectin, das die Nachkommen der Würmer abtötet, ohne den erwachsenen Wurm schädigen zu können. So können trotz dieser Therapie relativ rasch wieder neue Generationen von Mikrofilarien entstehen, die für eine weitere Übertragung durch Mücken und für die Krankheitssymptome Sehstörung und Hautentzündung verantwortlich sind. Daher muss die Behandlung flächendeckend über viele Jahre erfolgen, um die Krankheit nachhaltig auszurotten. „Es ist wichtig Wirkstoffe zu finden, die die erwachsenen Würmer direkt abtöten“, sagt Prof. Dr. Achim Hörauf. Das Institut für Medizinische Mikrobiologie, Immunologie und Parasitologie (IMMIP) am Universitätsklinikum Bonn unter seiner Leitung gehört zu den führenden Institutionen in der Entwicklung solcher neuer Therapien.
Antibiotika im Kampf gegen den Wurm
Ein Schlüssel könnte eine von Prof. Hörauf entdeckte Symbiose sein. Der Fadenwurm Onchocerca volvulus beherbergt schon seit Millionen von Jahren Bakterien, die er zum Überleben braucht. Sterben diese Bakterien, stirbt früher oder später auch der Parasit. „Antibiotika mit einem speziell auf diese Bakterien ausgerichteten Wirkspektrum sind also eine Chance, eine Übertragung der Flussblindheit dauerhaft zu verhindern“, sagt Prof. Hörauf. Das Antibiotikum Doxycyclin, der von Höraufs Gruppe entdeckte Prototyp eines Wirkstoffes, wird zwar weltweit zur Behandlung der Filarien in Kliniken eingesetzt, ist aber nicht gut für Massenbehandlungen in abgelegenen Gegenden mit schlechter Infrastruktur geeignet. Denn das Antibiotikum muss über einen Zeitraum von vier-sechs Wochen täglich eingenommen werden, um seine Wirkung zu entfalten. Daher suchen die Bonner Parasitologen im Rahmen einer weltweiten Forschungs-Allianz weiter nach schneller wirkenden Alternativen mit kürzerer Therapiedauer, die dem Fadenwurm Onchocerca volvulus endgültig den Garaus machen. Die Bill & Melinda Gates-Stiftung unterstützt diese Aufgabe bereits seit längerem finanziell.
KI soll die Entwicklung von Therapien gegen den Wurm beschleunigen
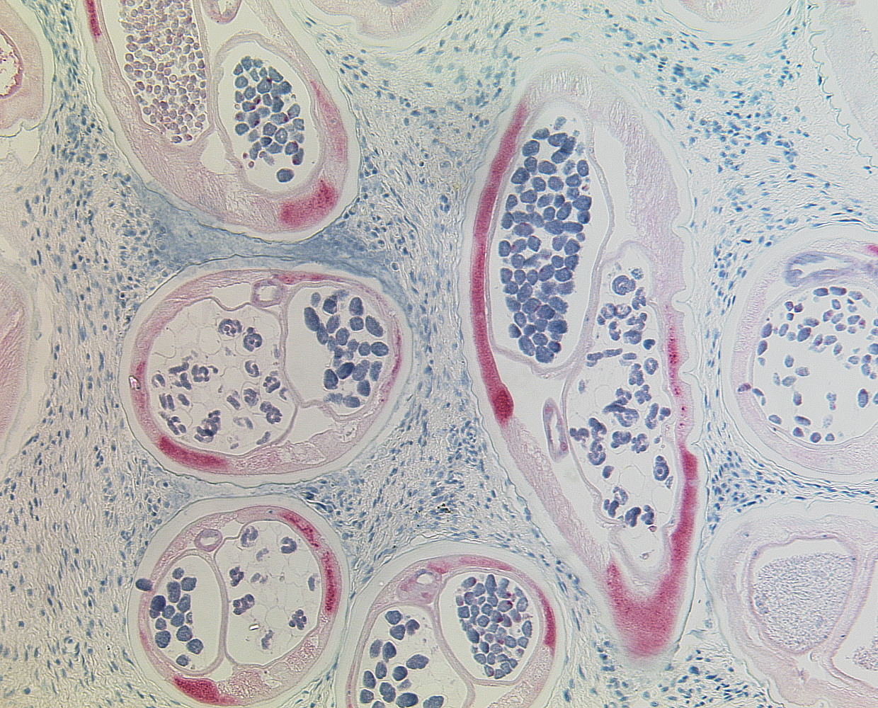
Um den Erfolg solcher Behandlungen aber zu bewerten, müssen die Knoten aus der Haut der Patienten entfernt und analysiert werden. Anhand von daraus abgetrennten dünnen – so genannten histologischen – Schnitten beurteilen Experten am Mikroskop Geschlecht, Vitalität, Embryonalentwicklung der Fadenwürmer sowie die Anwesenheit von symbiontischen Bakterien. „Dieser Prozess ist sehr zeitaufwändig und hängt unmittelbar von der Erfahrung der beurteilenden Personen ab“, fasst Dr. Ute Klarmann-Schulz die Motivation zusammen, warum ihre interdisziplinäre Arbeitsgruppe am IMMIP sich zur Aufgabe gemacht hat, diesen Analyse-Prozess zu optimieren. „Mit Dr. Daniel Kühlwein, Mitarbeiter des Center of Excellence für Künstliche Intelligenz beim weltweit agierenden Beratungsunternehmen Capgemini, konnten wir dafür einen Experten auf dem Gebiet der Künstlichen Intelligenz für eine Kooperation gewinnen.“
Mit seiner Unterstützung will die Arbeitsgruppe um Klarmann-Schulz am Universitätsklinikum Bonn ein KI-System entwickeln, welche die Auswertung histologischer Schnitte automatisieren soll. Dabei greifen sie auf bereits existierende Deep-Learning Modelle zur Objekterkennung zurück. „Die vortrainierten KI-Systeme können grundsätzlich schon sehen, das heißt sie können beispielsweise Linien erkennen“, erklärt Kühlwein. „Mittels Transfer-Learning trainieren wir sie auf unseren neuen speziellen Anwendungsfall.“ Das KI-System lernt hierbei die Erkennung und Beurteilung der Würmer von bereits ausgewerteten Mikroskop-Bildern histologischer Schnitte aus zahlreichen klinischen Studien, die die Bonner Parasitologen bereits mit ihren afrikanischen Partnern durchgeführt haben. Die Wissenschaftler wollen so den Zeitaufwand für die Auswertung reduzieren und einen objektiven Standard für die Analyse etablieren.
Weitere Informationen gibt es unter:
https://gcgh.grandchallenges.org/grant/deep-learning-ai-histology-onchocerciasis
http://www.microbiology-bonn.de/immip/de/about
https://www.capgemini.com/de-de/service/kuenstliche-intelligenz-ki-ai/
Kontakt für die Medien:
Dr. Ute Klarmann-Schulz / Prof. Dr. Achim Hörauf
Institut für Medizinische Mikrobiologie, Immunologie und Parasitologie
Universitätsklinikum Bonn
Telefon: 0228/287-14612 (Klarmann) oder 15673 (Hörauf)
E-Mail: Ute.Klarmann-Schulz@ukbonn.de; Achim.Hoerauf@ukbonn.de
Dr. Daniel Kühlwein
Artificial Intelligence Center of Excellence, Insights & Data, Germany
Capgemini | Köln
Mobil: 015140251432
E-Mail: daniel.kuehlwein@capgemini.com
Die semantisch ähnlichsten Pressemitteilungen im idw