Lichttherapie für Immunzellen hilft bei Nebenwirkungen von Krebstherapie
Eine häufige Nebenwirkung von Krebs-Immuntherapien lässt sich vermutlich durch Lichtaktivierung von Immunzellen stoppen, wie Forscher des Universitätsklinikums Freiburg zeigen / Publikation im New England Journal of Medicine
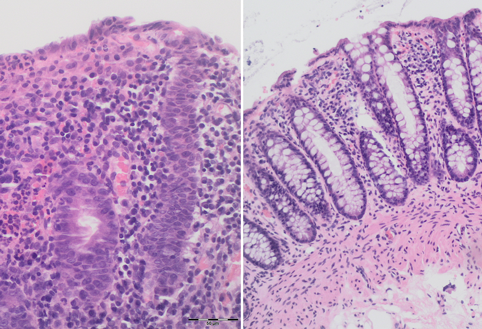
Erst seit wenigen Jahren ist schwarzer Hautkrebs, auch Melanom genannt, medikamentös behandelbar. Allerdings kommt es bei jedem zweiten Patienten zu starken Autoimmunreaktionen wie Hautausschlag oder Durchfall. Dass sich diese mit einer speziellen Lichttherapie aufhalten lassen, haben jetzt Forscherinnen und Forscher des Universitätsklinikums Freiburg mit schweizerischen Kollegen gezeigt. Einen 29-jährigen Krebspatienten mit einer schweren Entzündung der Darmschleimhaut behandelten sie sehr erfolgreich mittels Extrakorporaler Photopherese (ECP). Dabei werden Immunzellen außerhalb des Körpers mit einem lichtreaktiven Medikament versetzt, mit UV-Licht bestrahlt und in den Körper zurückgegeben. Durch das Verfahren werden vermutlich Immunzellen aktiviert, die die Entzündung stoppen. Die Photopherese-Therapie führte bei dem Patienten zu einem vollständigen Abklingen der Beschwerden, während durch die fortlaufende Krebstherapie der Hautkrebs erfolgreich behandelt werden konnte. Bisherige, etablierte Behandlungsansätze waren im Vorfeld erfolglos geblieben. Die Fallbeschreibung erschien am 15. Januar 2020 im renommierten Fachmagazin New England Journal of Medicine.
„Der Patient sprach unglaublich gut auf unseren neuen Therapieansatz an. Mit der Extrakorporalen Photopherese haben wir für ihn und hoffentlich für viele weitere Patienten eine wichtige Therapiemöglichkeit gefunden“, sagt Studienleiter Prof. Dr. Robert Zeiser, Leiter der Abteilung Tumorimmunologie der Klinik für Innere Medizin I (Schwerpunkt: Hämatologie, Onkologie und Stammzelltransplantation) am Universitätsklinikum Freiburg. „Prinzipiell ist der Therapieansatz auch bei immunvermittelten Nebenwirkungen anderer Krebstherapien denkbar“, so Zeiser. Die Wirksamkeit der ECP konnte die Forschungsgruppe um Zeiser in Zusammenarbeit mit Dr. Frank Meiß undProf.Dr. Dagmar von Bubnoff, beide Oberärzte an der Klinik für Dermatologie und Venerologie des Universitätsklinikums Freiburggemeinsam mit Prof. Dr. Burkhard Becher vomInstitut für Experimentelle Immunologie der Universität Zürich nachweisen.
Ersatz für nebenwirkungsreiche Kortisontherapie
Bei der Behandlung von schwarzem Hautkrebs und vielen anderen Krebsarten kommen sogenannte Immuncheckpoint-Inhibitoren zum Einsatz. „Krebszellen haben oft eine Art Deckmäntelchen, das sie für die körpereigene Immunantwort unsichtbar macht. Immuncheckpoint-Inhibitoren entreißen ihnen dieses Deckmäntelchen und ermöglichen so einen Angriff des Immunsystems auf die Krebszellen“, erklärt Zeiser. Allerdings beginnt das Immunsystem oft auch, körpereigene Strukturen zu zerstören. Diese Nebenwirkungen können verschiedene Organe betreffen wie zum Beispiel Darm, Haut, Schilddrüse, Leber oder Gehirn. „Bisher werden Patienten mit derartigen Nebenwirkungen einer Krebs-Immuntherapie meist längere Zeit mit Kortison oder anderen immunmodulierenden Wirkstoffen behandelt, was aber nicht immer wirkt oder starke Nebenwirkungen haben kann“, so Zeiser. Außerdem steht Kortison im Verdacht, die Immunantwort auf den Tumor zu blockieren und damit die Krebsbehandlung zu torpedieren.
Die ECP-Behandlung wurde bei dem Patienten acht Monate lang alle zwei bis vier Wochen wiederholt. Bereits kurz nach Beginn der Therapie kam es zu einem kompletten Rückgang des entzündungsbedingten starken Durchfalls. Wie die Forscher feststellten, wurde während der ECP-Therapie eine bestimmte Art von Immunzellen größer und aktiver. „Wir gehen davon aus, dass diese vergrößerten Immunzellen auf andere Teile des Immunsystems einwirken und so die Entzündung ausbremsen“, erklärt Zeiser. Auch im präklinischen Tiermodell erwies sich der Therapieansatz als sicher. „Ganz wichtig für die begleitende Therapie war, dass die ECP-Behandlung keinen negativen Einfluss auf die Anti-Tumor Wirkung der Immunmedikamente hatte“, so Zeiser.
Wissenschaftlicher Ansprechpartner:
Prof. Dr. Robert Zeiser
Leiter der Abteilung für Tumorimmunologie
Klinik für Innere Medizin I (Schwerpunkt: Hämatologie, Onkologie, Stammzelltransplantation)
Universitätsklinikum Freiburg
Telefon: 0761 270-34580
robert.zeiser@uniklinik-freiburg.de
Originalpublikation:
Originaltitel der Publikation: Extracorporeal Photopheresis for Colitis Induced by Checkpoint-Inhibitor Therapy
DOI: 10.1056/NEJMc1912274
Weitere Informationen:
http://www.nejm.org/doi/full/10.1056/NEJMc1912274?query=featured_home
Die semantisch ähnlichsten Pressemitteilungen im idw
