Darmentzündung: Immunzellen schützen Nervenzellen nach Infektion
Internationales Forschungsteam unter Beteiligung des Exzellenzclusters PMI veröffentlicht neue Erkenntnisse zu den Funktionen der Darm-Hirn-Achse
Bei einer Infektion im Magen-Darm-Trakt entzündet sich ein Teil des Gewebes und Darmnervenzellen sterben ab. Dieser Verlust wiederum führt häufig unter anderem zu einer Einschränkung der Darmbeweglichkeit, die für eine gesunde Verdauung nötig ist. In vielen Fällen folgen auch zusätzliche Erkrankungen wie etwa das sogenannte Reizdarmsyndrom. Wie es zu dem Absterben der Nervenzellen kommt, war bisher unklar. Einem internationalen Forschungsteam unter Beteiligung von Professor Philip Rosenstiel, Direktor am Institut für klinische Molekularbiologie (IKMB) an der Christian- Albrechts-Universität zu Kiel (CAU), ist es nun gelungen, den Mechanismus, der zum Absterben der Nervenzellen führt, genauer zu beschreiben. Bestimmte Immunzellen im Darm schützen dabei offenbar die Nervenzellen, wie das Team in einer aktuellen Forschungsarbeit zeigen konnte. Ihre Ergebnisse haben die Wissenschaftlerinnen und Wissenschaftler um Professor Daniel Mucida von der Rockefeller University in New York vor kurzem in der renommierten Fachzeitschrift Cell veröffentlicht.
Der menschliche Magen-Darm-Trakt ist von Nervenzellen durchzogen, die ein eigenständiges Darmnervensystem bilden. Es steuert die Verdauung weitestgehend selbständig, indem es beispielsweise die Darmbeweglichkeit reguliert. Vorangegangene Studien haben gezeigt, dass dabei auch das Immunsystem im Darm eine wichtige Rolle spielt. So regulieren beispielsweise bestimmte Immunzellen die Aktivität der Nervenzellen im gesunden Zustand. Diese Wechselwirkungen zwischen Nerven- und Immunzellen sind bei Krankheiten wie etwa chronisch-entzündlichen Darmerkrankungen oder dem Reizdarmsyndrom gestört.
„Die nun veröffentlichte Arbeit zeigt, dass Immunzellen auch für das Überleben von Nervenzellen bei Infektionen wichtig sind“, sagt Professor Philip Rosenstiel, Vorstandsmitglied im Exzellenzcluster „Precision Medicine in Chronic Inflammation“ (PMI). Demnach erkennen bestimmte Immunzellen die Infektion und begrenzen den Schaden bei den Nervenzellen. Dabei handelt es sich um sogenannte Makrophagen in der Darm-Muskelschicht. Das sind Fresszellen, die Krankheitserreger erkennen und beseitigen. Bei einer Infektion werfen diese Makrophagen ein Schutzprogramm an, in dem sie bestimmte Stoffe produzieren, durch die letztlich die Nervenzellen geschützt werden. Dieses Schutzprogramm ist wiederum offenbar abhängig von den im Darm lebenden Mikroorganismen, dem sogenannten Mikrobiom. Fehlen diese oder ist ihr Gleichgewicht gestört, sind auch die Nervenzellen nicht mehr geschützt.
„Die sogenannte Darm-Hirn-Achse, über die das Darmmikrobiom, die Darmzellen und das zentrale Nervensystem zusammenarbeiten, ist ein wichtiges Zukunftsthema im Exzellenzcluster PMI. Denn die Darm-Hirn-Achse könnte neue Ansätze zur Behandlung von chronischen Darmentzündungen oder auch neurologischen Erkrankungen liefern“, sagt Professor Rosenstiel. „Der jetzt in Zusammenarbeit mit Professor Daniel Mucida und seinem Team aus New York entdeckte Mechanismus, über den das Immunsystem im Darm die Nervenzellen bei einer Infektion schützt, ist ein wichtiger Baustein in der Erforschung der Darm-Hirn-Achse. Darauf wollen wir im Exzellenzcluster aufbauen und zukünftig verstärkt in diesem Bereich forschen“, so Rosenstiel weiter.
Bildmaterial steht zum Download bereit:
https://precisionmedicine.de/pm/material/2020_Darmnervenzellen.pdf
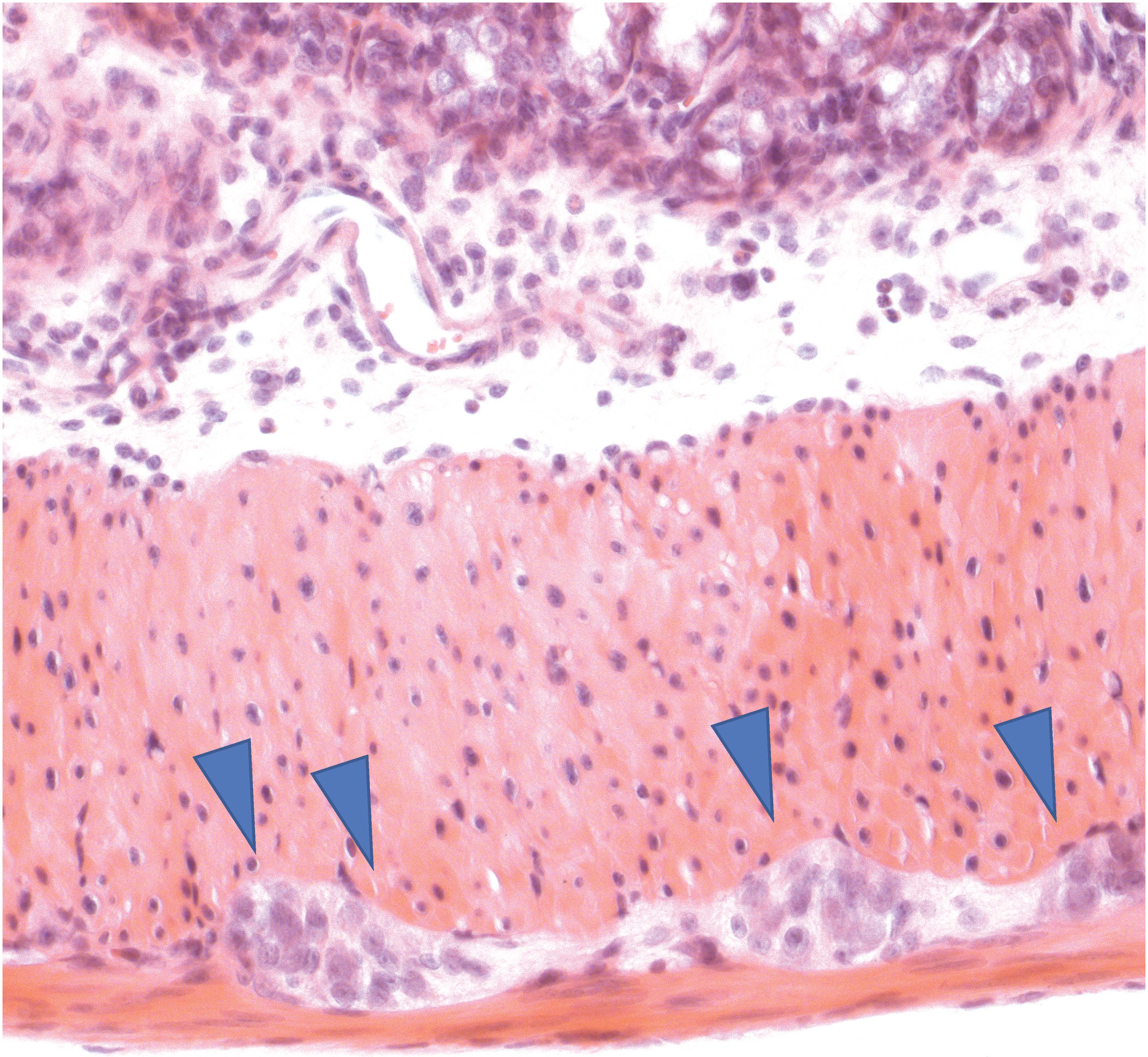
BU: Der Darm ist von Nervenzellen durchzogen (durch blaue Pfeile gekennzeichnet, in Muskelgewebe eingebettet). Diese bilden ein eigenes Nervensystem, das beispielsweise die Darmbeweglichkeit reguliert, die für eine gesunde Verdauung nötig ist.
Foto: P. Rosenstiel, IKMB Uni Kiel.
https://precisionmedicine.de/pm/material/2020_Rosenstiel.jpg
BU: Prof. Dr. Philip Rosenstiel, Vorstandsmitglied im Exzellenzcluster „Precision Medicine in Chronic Inflammation“ (PMI) und Direktor am Institut für Klinische Molekularbiologie, CAU, UKSH.
Foto / Copyright: T. Böschen / Exzellenzcluster PMI, Uni Kiel.
Über den Exzellenzcluster PMI:
Der Exzellenzcluster „Präzisionsmedizin für chronische Entzündungserkrankungen/Precision Medicine in Chronic Inflammation“ (PMI) wird von 2019 bis 2025 durch die Exzellenzstrategie des Bundes und der Länder gefördert (ExStra). Er folgt auf den Cluster Entzündungsforschung „Inflammation at Interfaces“, der bereits in zwei Förderperioden der Exzellenzinitiative (2007-2018) erfolgreich war. An dem neuen Verbund sind rund 300 Mitglieder in acht Trägereinrichtungen an vier Standorten beteiligt: Kiel (Christian-Albrechts-Universität zu Kiel, Universitätsklinikum Schleswig-Holstein, Muthesius Kunsthochschule, Institut für Weltwirtschaft und Leibniz-Institut für die Pädagogik der Naturwissenschaften und Mathematik), Lübeck (Universität zu Lübeck, Universitätsklinikum Schleswig-Holstein), Plön (Max-Planck-Institut für Evolutionsbiologie) und Borstel (Forschungszentrum Borstel - Leibniz Lungenzentrum).
Ziel ist es, die vielfältigen Forschungsansätze zu chronisch entzündlichen Erkrankungen von Barriereorganen in ihrer Interdisziplinarität verstärkt in die Krankenversorgung zu übertragen und die Erfüllung bisher unbefriedigter Bedürfnisse von Erkrankten voranzutreiben. Drei Punkte sind im Zusammenhang mit einer erfolgreichen Behandlung wichtig und stehen daher im Zentrum der Forschung von PMI: die Früherkennung von chronisch entzündlichen Krankheiten, die Vorhersage von Krankheitsverlauf und Komplikationen und die Vorhersage des individuellen Therapieansprechens.
Exzellenzcluster Präzisionsmedizin für chronische Entzündungserkrankungen
Wissenschaftliche Geschäftsstelle, Leitung: Dr. habil. Susanne Holstein
Postanschrift: Christian-Albrechts-Platz 4, D-24118 Kiel
Kontakt: Sonja Petermann
Telefon: (0431) 880-4850, Telefax: (0431) 880-4894
E-Mail: spetermann@uv.uni-kiel.de
Twitter: PMI @medinflame
precisionmedicine.de
Pressekontakt:
Frederike Buhse
Telefon: (0431) 880 4682 E-Mail: fbuhse@uv.uni-kiel.de
Link zur Pressemitteilung: https://precisionmedicine.de/pm/20200122_PM_Immunzellen-schuetzen-Nervenzellen.pdf
Wissenschaftlicher Ansprechpartner:
Prof. Dr. Philip Rosenstiel
Institut für Klinische Molekularbiologie (IKMB)
Christian-Albrechts-Universität zu Kiel (CAU), Universitätsklinikum Schleswig-Holstein (UKSH)
Tel.: 0431/500 15111
p.rosenstiel@mucosa.de
Originalpublikation:
Fanny Matheis, Paul A. Muller, Christina L Graves, Ilana Gabanyi, Zachary J. Kerner, Diego Costa-Borges, Thomasz Ahrends, Philip Rosenstiel, Daniel Mucida: Adrenergic Signaling in Muscularis Macrophages Limits Infection-Induced Neuronal Loss. Cell (2020). doi.org/10.1016/j.cell.2019.12.002
Die semantisch ähnlichsten Pressemitteilungen im idw
