Dresden researchers discover resistance mechanism in aggressive cancer
Protease blocks guardian function against uncontrolled cell division
Researchers of the Carl Gustav Carus University Hospital Dresden at the National Center for Tumor Diseases Dresden (NCT/UCC), together with an international team of researchers, have deciphered a previously unknown survival mechanism in the nucleus of particularly aggressive tumor cells. Accumultion of the protein-cleaving enzyme (protease) caspase 8, in the nucleus of particularly aggressive cancer cells, plays an important role here. If the enzyme could be chemically inhibited at this point, it might be possible to effectively combat various types of cancer, even in advanced progression stages.
The discovery of the mechanism therefore offers a promising approach for the development of new targeted therapies. In addition to pigment cell-derived skin cancer (malignant melanoma) and prostate tumors, the corresponding mechanism has been suggested for other tumor types, including pancreatic cancer, bladder cancer, breast cancer, colon cancer, ovarian cancer, testicular cancer, lung cancer, kidney cancer and brain tumors. The results of the study were published today, Wednesday (22nd January 2020), on the website of the journal "Molecular Cell" (www.cell.com, DOI 10.1016/j.molcel.2019.12.023).
Tumor cells usually proliferate particularly rapidly, overriding control mechanisms with which the body tries to prevent the division of damaged cancerous cells. Mutations in the nuclear p53 protein, the “guardian of the genome” play a crucial role in cancer cell progression. However, especially in aggressive cancer cells of the metastatic diseases such as malignant melanoma, p53 is mostly present in its normal, non-mutated and therefore functional form. Nevertheless, it obviously cannot fulfil its function as the guardian. This is due to a previously unknown mechanism that causes the p53 level in the nucleus of aggressive cancer cells to be too low to drive damaged cancer cells into programmed cell death - a cell suicide programme.
An important role in this mechanism is played by the enzyme caspase 8, which normally only occurs in the cytoplasm - the basic substance of the cell surrounding the cell nucleus - but accumulates in the cell nucleus of aggressive cancer cells. "We were able to show for the first time that caspase 8 cleaves a special protein - USP28 - in the nucleus, which is responsible for the accumulation of p53 levels in cancer cells with increased DNA damage. As a result, p53 continues being degraded and can no longer perform its control function. Cells with damaged DNA are no longer driven into a programmed cell death, but are directed to cell division instead," explains Prof. Dagmar Kulms, head of the "Experimental Dermatology" department of the Carl Gustav Carus University Hospital Dresden at the National Center for Tumor Diseases Dresden (NCT/UCC). "The effectiveness of this mechanism is shown by the poor survival rates of patients in whom an accumulation of caspase 8 in the nucleus of tumor cells can be detected. It is precisely these cells that are often also found in large numbers of relapsed tumor mass, which in many aggressive cancers eludes initial successful treatment," says Dr. Mads Daugaard of the Vancouver Prostate Centre (Canada).
The researchers were able to prove the mechanism in the laboratory using numerous cell lines and patient tissue for malignant melanoma and prostate cancer. Investigations on cell lines of other tumor types, including pancreatic cancer, bladder cancer, breast cancer, colon cancer, ovarian cancer, testicular cancer, lung cancer, kidney cancer and brain tumors, could confirm the mechanism.
It is particularly promising that caspase 8 only occurs in the nucleus of aggressive cancer cells, where it cleaves the protein USP28. If it was possible to inhibit the interaction of caspase 8 and USP28 with a chemical compound, the aggressive tumor cells could selectively be combated in the future. "Ideally, this could possibly lead to the inhibition of the proliferation and outgrowth of metastatic cancers for which current tumor therapies fail. The mechanism plays a role in a large number of cancers. Therefore, our results are of particularly high clinical relevance," says Prof. Stefan Beissert, Director of the Department of Dermatology at the University Hospital Dresden. Together with specialised chemists, the researchers intend to conduct research on a corresponding active substance in the future.
Publication
Ines Müller, Elwira Strozyk, Sebastian Schindler, Stefan Beissert, Htoo Zarni Oo, Thomas Sauter, Philippe Lucarelli, Sebastian Raeth, Angelika Hausser, Nader Al Nakouzi, Ladan Fazli, Martin E. Gleave, He Liu, Hans-Uwe Simon, Henning Walczak, Douglas R. Green, Jiri Bartek, Mads Daugaard and Dagmar Kulms: Cancer cells employ nuclear caspase-8 to overcome the p53-dependent G2/M checkpoint through splitting USP28
Molecular Cell DOI 10.1016/j.molcel.2019.12.023
Two images in printable resolution are available for the press release:
https://www.nct-dresden.de/fileadmin/media/nct-dresden/das-nct/newsroom/Bild1_PM_Caspase8.jpg
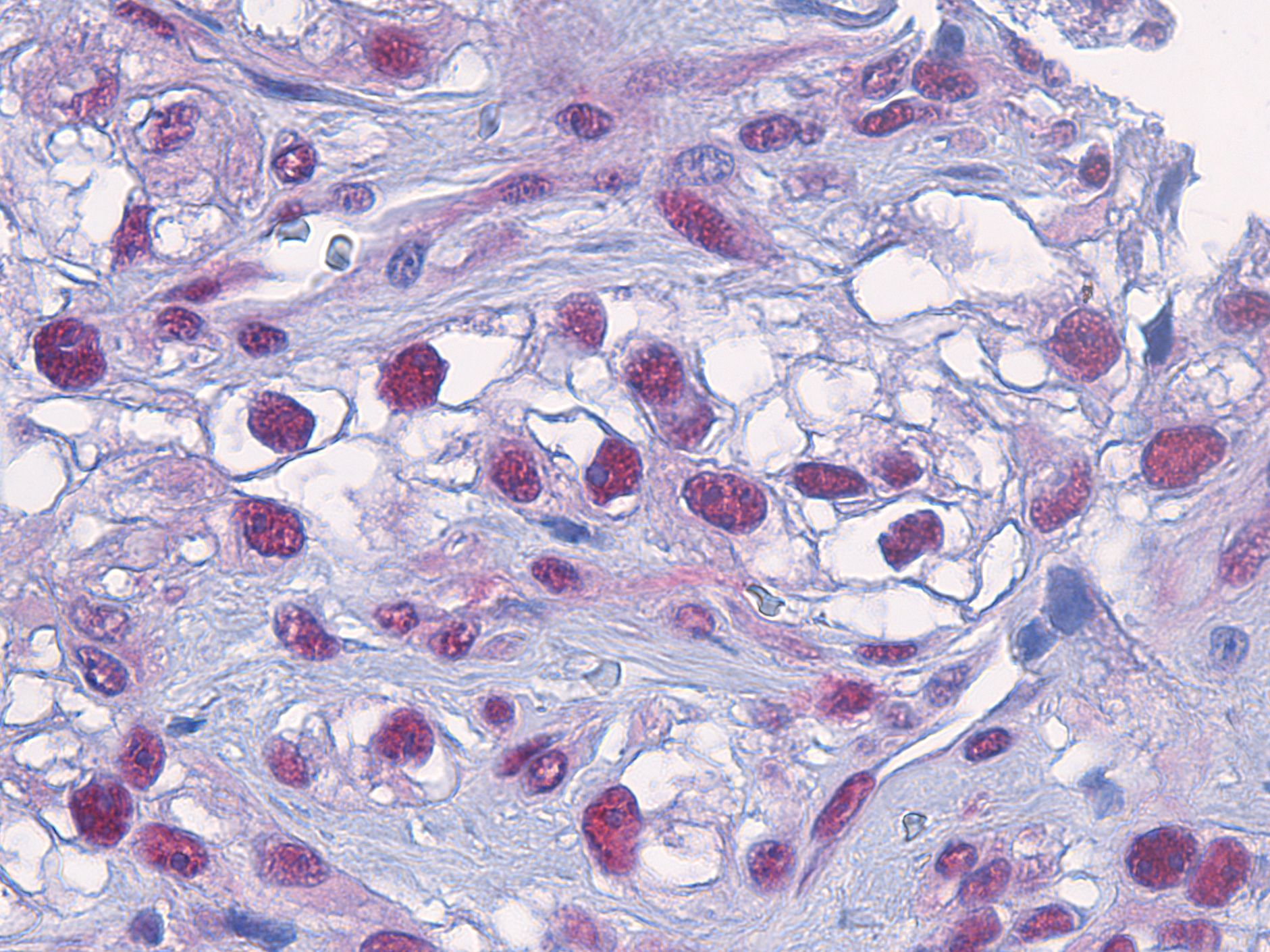
Caption 1: View into tumor tissue of malignant melanoma: The enzyme caspase 8 (dark red dots) accumulates in the nuclei of the cancer cells and activates the cell survival mechanism, which is fatal for patients.
https://www.nct-dresden.de/fileadmin/media/nct-dresden/das-nct/newsroom/Bild2_PM_Caspase8.JPG
Caption 2: A newly discovered mechanism shows how the enzyme caspase 8 at the so-called G2/M damage control point blocks the guardian function of the protein p53, prevents programmed cell death, and instead directs the damaged cancer cells into cell cycle progression.
Terms of use for image material for press releases
The use is free of charge. The NCT/UCC Dresden permits one-time use in connection with reporting on the topic of the press release. Please quote as image credits: Source image 1: “Institute of Pharmacology University of Bern“, Source image 2: “Molecular Cell“. Images may only be passed on to third parties after prior consultation with the NCT/UCC press office. (Tel. +49 351 458 5548, email: anna.kraft@nct-dresden.de). Use for commercial purposes is prohibited.
Contact person for the press:
Dr. Anna Kraft
National Center for Tumor Diseases (NCT/UCC)
Press Office and Public Relations
Tel.: +49 351 458-5548
Email: anna.kraft@nct-dresden.de
www.nct-dresden.de
Dr. Sibylle Kohlstädt
German Cancer Research Center (DKFZ)
Communications and Marketing
Im Neuenheimer Feld 280
69120 Heidelberg
Tel.: +49 6221 42-2854
Fax: +49 6221 42-2968
Email: s.kohlstaedt@dkfz.de
www.dkfz.de
Stephan Wiegand
Staff Unit Communications and Marketing
Carl Gustav Carus Faculty of Medicine at Technische Universität Dresden
Fetscherstr. 74
01307 Dresden
Tel.: +49 351 458-19389
Fax: +49 351 458-885486
Email: stephan.wiegand@tu-dresden.de
www.tu-dresden.de/med
Holger Ostermeyer
Carl Gustav Carus University Hospital Dresden Press Office
Fetscherstraße 74
01307 Dresden
Tel.: +49 351 458-4162
Fax: +49 351 449210505
Email: Pressestelle@uniklinikum-dresden.de www.uniklinikum-dresden.de
Dr. Christine Bohnet
Communication and Media | Head
Helmholtz-Zentrum Dresden-Rossendorf
Bautzner Landstr. 400 | 01328 Dresden
Email: c.bohnet@hzdr.de
Tel.: +49 351 260-2450 | +49 160 969 288 56 | Fax: +49 351 260-2700
www.hzdr.de
NCT/UCC Dresden
Dresden has been the second location of the National Centre for Tumor Diseases (NCT) in addition to Heidelberg since 2015. The Dresden Center is a joint institution of the German Cancer Research Center (DKFZ), the Carl Gustav Carus University Hospital Dresden, the Carl Gustav Carus Faculty of Medicine of Technische Universität Dresden and the Helmholtz Center Dresden-Rossendorf (HZDR).
The NCT has set itself the task of linking research and patient care as closely as possible. This enables cancer patients in Dresden and Heidelberg to be treated using the latest scientific knowledge. At the same time, the proximity of laboratory and clinic gives the researchers important impulses for their practice-oriented research. The common goal of both locations is to develop the NCT into an international centre of excellence for patient-oriented cancer research. The Dresden Center builds on the structures of the University Cancer Center Dresden (UCC), which was founded in 2003 as one of the first Comprehensive Cancer Centers (CCC) in Germany. Since 2007, the UCC has been continuously honoured by the German Cancer Aid (Deutsche Krebshilfe e.V. (DKH) as "Oncological Center of Excellence" since 2007.
German Cancer Research Center (DKFZ)
With more than 3,000 employees, the German Cancer Research Center (DKFZ) is the largest biomedical research institution in Germany. More than 1,000 researchers at the DKFZ investigate how cancer develops, identify cancer risk factors and search for new strategies to prevent people from developing cancer. They are developing new methods with which tumors can be diagnosed more precisely and cancer patients can be treated more successfully. The staff of the Cancer Information Service (KID) educate patients, relatives and interested citizens about the widespread disease cancer. In cooperation with the University Hospital in Heidelberg, the DKFZ has established the National Centre for Tumour Diseases (NCT) in Heidelberg, where promising approaches from cancer research are transferred to the clinic. In the German Consortium for Translational Cancer Research (DKTK), one of the six German Centres for Health Research, the DKFZ maintains translational centres at seven university partner locations. The combination of excellent university medicine with the high-quality research of a Helmholtz Zentrum is an important contribution to improving the chances of cancer patients. The DKFZ is 90 percent funded by the Federal Ministry of Education and Research and 10 percent by the State of Baden-Württemberg. It is a member of the Helmholtz Association of German Research Centres.
Carl Gustav Carus University Hospital Dresden
The Carl Gustav Carus University Hospital Dresden offers medical care at the highest level. As a hospital of maximum care, it covers the entire spectrum of modern medicine. The University Hospital unites 20 clinics and polyclinics, four institutes and ten interdisciplinary centres that work closely with the clinical and theoretical institutes of the Medical Faculty.
With 1,295 beds and 160 places for the day-care treatment of patients, the Dresden University Hospital is the largest hospital in the city and at the same time the only hospital providing maximum care in Eastern Saxony. Around 860 doctors cover the entire spectrum of modern medicine. 1,860 nurses take care of the patients' well-being. Important treatment focuses of the University Hospital are the care of patients suffering from cancer, metabolic and neurodegenerative diseases.
Germany's largest hospital comparison by the news magazine "Focus" certifies that the Carl Gustav University Hospital Dresden has an excellent quality of treatment. Dresden University Medicine therefore occupies second place in the nationwide ranking.
Carl Gustav Carus Faculty of Medicine of Technische Universität Dresden
The Dresden University Medicine, consisting of the Carl Gustav Carus Faculty of Medicine and the Carl Gustav Carus University Hospital, specialises in research in the fields of oncology, metabolic as well as neurological and psychiatric diseases. In these areas, the topics of degeneration and regeneration, imaging and technology development, immunology and inflammation as well as prevention and health care research are of particular interest. International exchange is a prerequisite for outstanding research - the Dresden University Medicine lives this idea with employees from 73 nations and numerous cooperations with researchers and teams all over the world.
Helmholtz-Zentrum Dresden-Rossendorf (HZDR)
The Helmholtz-Zentrum Dresden-Rossendorf (HZDR) conducts research in the fields of energy, health and matter. The following questions are in the focus:
• - How can energy and resources be used efficiently, safely and sustainably?
• - How can cancer diseases be better visualised, characterised and effectively treated?
• - How do matter and materials behave under the influence of high fields and in the smallest dimensions?
To answer these academic questions, the HZDR operates large infrastructures, which are also used by external researchers: Ion Beam Centre, High-Field Magnetic Laboratory Dresden and ELBE Centre for High Power Radiation Sources.
The HZDR is a member of the Helmholtz Association, has five locations (Dresden, Freiberg, Grenoble, Leipzig, and Schenefeld near Hamburg) and employs almost 1,200 people - about 500 researchers including 170 PhD students.
Die semantisch ähnlichsten Pressemitteilungen im idw
