Dresdner Forscher entdecken Mechanismus bei aggressivem Krebs
Enzym blockiert Wächterfunktion gegen unkontrollierte Zellteilung
Wissenschaftler des Universitätsklinikums Carl Gustav Carus Dresden im Nationalen Centrum für Tumorerkrankungen Dresden (NCT/UCC) haben gemeinsam mit einem internationalen Forscherteam in Laborversuchen einen bislang unbekannten Überlebensmechanismus im Zellkern besonders aggressiver Tumorzellen entschlüsselt. Eine wichtige Rolle hierbei spielt das proteinspaltende Enzym Caspase 8, das sich ausschließlich bei aggressiven Krebszellen im Zellkern anreichert. Ließe sich das Enzym an dieser Stelle chemisch hemmen, wäre es denkbar, verschiedene Krebserkrankungen auch in fortgeschrittenen Stadien wirkungsvoll zu bekämpfen.
Die Aufdeckung des Mechanismus bietet daher einen vielversprechenden Ansatz für die Entwicklung neuer zielgerichteter Therapien. Neben dem schwarzen Hautkrebs (malignes Melanom) und Prostatatumoren konnte der entsprechende Mechanismus für weitere Tumorarten, darunter Bauchspeicheldrüsenkrebs, Blasenkrebs, Brustkrebs, Darmkrebs, Eierstockkrebs, Hodenkrebs, Lungenkrebs, Nierenkrebs und Tumoren des Hirns nahegelegt werden. Die Ergebnisse der Untersuchung sind am heutigen Mittwoch (22. Januar 2020) auf der Website des Fachmagazins „Molecular Cell“ (www.cell.com, DOI 10.1016/j.molcel.2019.12.023) veröffentlicht worden.
Tumorzellen vermehren sich meist besonders schnell und setzen dabei Kontrollmechanismen außer Kraft, mit denen der Körper die Teilung kranker Zellen zu verhindern sucht. Häufig spielen hierbei Mutationen des im Zellkern enthaltenen Proteins p53 eine Rolle, das eine wichtige Kontrollfunktion im Zellzyklus ausübt. Gerade in besonders aggressiven Krebszellen, die bei metastasierenden Tumorerkrankungen wie dem malignen Melanom eine wichtige Rolle spielen, liegt p53 allerdings zumeist in seiner funktionsfähigen Normalform vor. Trotzdem kann es seiner Wächterfunktion offensichtlich nicht nachkommen. Verantwortlich hierfür ist ein bislang unbekannter Mechanismus, der bewirkt, dass der p53-Spiegel im Kern besonders aggressiver Krebszellen zu gering ist, um geschädigte Krebszellen in den programmierten Zelltod – eine Art Selbstmordprogramm der Zelle – zu treiben.
Eine wichtige Rolle in diesem Mechanismus spielt das Enzym Caspase 8, das normalerweise nur im Zytoplasma – der den Zellkern umgebenden Grundsubstanz der Zelle – vorkommt, sich bei aggressiven Krebszellen jedoch im Zellkern anreichert. „Wir konnten erstmals zeigen, dass Caspase 8 im Zellkern ein spezielles Protein – USP28 – spaltet, das dafür verantwortlich ist, den p53-Spiegel in Krebszellen mit erhöhter DNA-Schädigung anzureichern. In der Folge wird p53 zu stark abgebaut und kann seine Kontrollfunktion nicht mehr ausüben. Zellen mit geschädigter DNA werden dann nicht mehr in den programmierten Zelltod getrieben, sondern stattdessen der Zellteilung zugeführt“, erklärt Prof. Dagmar Kulms, Leiterin des Bereichs „Experimentelle Dermatologie“ des Universitätsklinikums Carl Gustav Carus Dresden im Nationalen Centrum für Tumorerkrankungen Dresden (NCT/UCC). „Wie wirkungsvoll dieser Mechanismus ist, zeigen die schlechten Überlebensraten von Patienten, bei denen sich eine Anreicherung von Caspase 8 im Zellkern von Tumorzellen nachweisen lässt. Gerade diese Zellen finden sich oft auch gehäuft in der restlichen Tumormasse, die sich bei vielen aggressiven Krebserkrankungen der zunächst erfolgreichen Behandlung entzieht“, sagt Dr. Mads Daugaard vom Vancouver Prostate Centre (Kanada).
Die Wissenschaftler konnten den Mechanismus im Labor anhand zahlreicher Zelllinien sowie Patientengewebe für das maligne Melanom und Prostatakrebs belegen. Zum gleichen Ergebnis führten Untersuchungen an Zelllinien weiterer Tumorarten, darunter Bauchspeicheldrüsenkrebs, Blasenkrebs, Brustkrebs, Darmkrebs, Eierstockkrebs, Hodenkrebs, Lungenkrebs, Nierenkrebs und Tumoren des Hirns.
Besonders vielversprechend ist, dass Caspase 8 nur bei besonders aggressiven Krebszellen im Zellkern vorkommt und dort das Protein USP28 spaltet. Ließe sich die Interaktion von Caspase 8 und USP28 mit einem chemischen Wirkstoff hemmen, könnten die aggressiven Tumorzellen künftig sehr gezielt bekämpft werden. „Dies könnte im Idealfall dazu führen, dass bei metastasierten Krebserkrankungen, bei denen heutige Tumortherapien versagen, möglicherweise das Wachstum und die Ausbreitung gestoppt werden könnten. Der Mechanismus spielt in einer Vielzahl von Krebsarten eine Rolle. Daher sind unsere Ergebnisse von besonders großer klinischer Relevanz“, sagt Prof. Stefan Beissert, Direktor der Klinik für Dermatologie des Universitätsklinikums Dresden. Gemeinsam mit spezialisierten Chemikern wollen die Wissenschaftler künftig an einem entsprechenden Wirkstoff forschen.
Veröffentlichung
Ines Müller, Elwira Strozyk, Sebastian Schindler, Stefan Beissert, Htoo Zarni Oo, Thomas Sauter, Philippe Lucarelli, Sebastian Raeth, Angelika Hausser, Nader Al Nakouzi, Ladan Fazli, Martin E. Gleave, He Liu, Hans-Uwe Simon, Henning Walczak, Douglas R. Green, Jiri Bartek, Mads Daugaard and Dagmar Kulms: Cancer cells employ nuclear caspase-8 to overcome the p53-dependent G2/M checkpoint through cleavage of USP28
Molecular Cell DOI 10.1016/j.molcel.2019.12.023
Zur Pressemitteilung stehen zwei Bilder in druckfähiger Auflösung zur Verfügung:
https://www.nct-dresden.de/fileadmin/media/nct-dresden/das-nct/newsroom/Bild1_PM_Caspase8.jpg
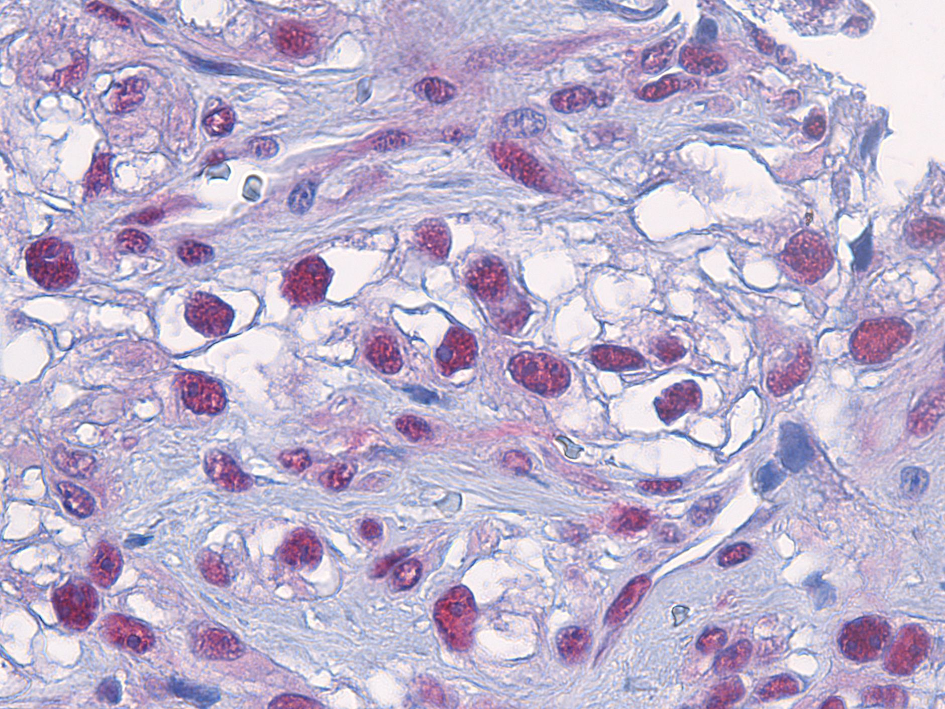
BU 1: Blick in Tumorgewebe des malignen Melanoms: Das Enzym Caspase 8 (dunkelrote Punkte) reichert sich in den Zellkernen an und aktiviert den für Patienten fatalen Überlebensmechanismus der Zelle.
https://www.nct-dresden.de/fileadmin/media/nct-dresden/das-nct/newsroom/Bild2_PM_Caspase8.JPG
BU 2: Ein neu entdeckter Mechanismus zeigt, wie das Enzym Caspase 8 am so genannten G2/M-Schadenskontrollpunkt die Wächterfunktion des Proteins p53 blockiert, den programmierten Zelltod verhindert und die geschädigten Krebszellen stattdessen in den Zellzyklus überführt.
Nutzungshinweis für Bildmaterial zu Pressemitteilungen
Die Nutzung ist kostenlos. Das NCT/UCC Dresden gestattet die einmalige Verwendung in Zusammenhang mit der Berichterstattung über das Thema der Pressemitteilung. Bitte geben Sie als Bildnachweis an: Quelle Bild 1: „Institute of Pharmacology University of Bern“, Quelle Bild 2: „Molecular Cell““. Eine Weitergabe des Bildmaterials an Dritte ist nur nach vorheriger Rücksprache mit der NCT/UCC-Pressestelle (Tel. 0351 458 5548, E-Mail: anna.kraft@nct-dresden.de) gestattet. Eine Nutzung zu kommerziellen Zwecken ist untersagt.
Ansprechpartner für die Presse:
Dr. Anna Kraft
Nationales Centrum für Tumorerkrankungen Dresden (NCT/UCC)
Presse- und Öffentlichkeitsarbeit
Tel.: +49 (0)351 458-5548
E-Mail: anna.kraft@nct-dresden.de
www.nct-dresden.de
Dr. Sibylle Kohlstädt
Deutsches Krebsforschungszentrum (DKFZ)
Kommunikation und Marketing
Im Neuenheimer Feld 280
69120 Heidelberg
Tel.: +49 (0)6221 42-2854
Fax: +49 (0)6221 42-2968
E-Mail: s.kohlstaedt@dkfz.de
www.dkfz.de
Stephan Wiegand
Stabsstelle Öffentlichkeitsarbeit & Marketing
Medizinische Fakultät Carl Gustav Carus der Technischen Universität Dresden
Fetscherstr. 74
01307 Dresden
Tel.: +49 (0) 351 458-19389
Fax: +49 (0) 351 458-885486
E-Mail: stephan.wiegand@tu-dresden.de
www.tu-dresden.de/med
Holger Ostermeyer
Universitätsklinikum Carl Gustav Carus Dresden Pressestelle
Fetscherstraße 74
01307 Dresden
Tel.: +49 (0)351 458-4162
Fax: +49 (0)351 449210505
E-Mail: Pressestelle@uniklinikum-dresden.de www.uniklinikum-dresden.de
Dr. Christine Bohnet
Kommunikation und Medien | Leiterin
Helmholtz-Zentrum Dresden-Rossendorf
Bautzner Landstr. 400 | 01328 Dresden
E-Mail: c.bohnet@hzdr.de
Tel.: +49 351 260-2450 | +49 160 969 288 56 | Fax: +49 351 260-2700
www.hzdr.de
NCT/UCC Dresden
Dresden ist seit 2015 neben Heidelberg der zweite Standort des Nationalen Centrums für Tumor-erkrankungen (NCT). Das Dresdner Zentrum ist eine gemeinsame Einrichtung des Deutschen Krebs-forschungszentrums (DKFZ), des Universitätsklinikums Carl Gustav Carus Dresden, der Medizinischen Fakultät der Technischen Universität Dresden und des Helmholtz-Zentrums Dresden-Rossendorf (HZDR).
Das NCT hat es sich zur Aufgabe gemacht, Forschung und Krankenversorgung so eng wie möglich zu verknüpfen. Damit können Krebspatienten in Dresden und Heidelberg auf dem jeweils neuesten Stand der wissenschaftlichen Erkenntnisse behandelt werden. Gleichzeitig erhalten die Wissenschaftler durch die Nähe von Labor und Klinik wichtige Impulse für ihre praxisnahe Forschung. Gemeinsamer Anspruch beider Standorte ist es, das NCT zu einem internationalen Spitzenzentrum der patientennahen Krebsforschung zu entwickeln. Das Dresdner Zentrum baut auf den Strukturen des Universitäts KrebsCentrums Dresden (UCC) auf, das 2003 als eines der ersten Comprehensive Cancer Center (CCC) in Deutschland gegründet wurde. Seit 2007 wurde das UCC von der Deutschen Krebshilfe e.V. (DKH) kontinuierlich als „Onkologisches Spitzenzentrum“ ausgezeichnet.
Deutsches Krebsforschungszentrum (DKFZ)
Das Deutsche Krebsforschungszentrum (DKFZ) ist mit mehr als 3.000 Mitarbeiterinnen und Mitarbeitern die größte biomedizinische Forschungseinrichtung in Deutschland. Über 1000 Wissenschaftlerinnen und Wissenschaftler erforschen im DKFZ, wie Krebs entsteht, erfassen Krebsrisikofaktoren und suchen nach neuen Strategien, die verhindern, dass Menschen an Krebs erkranken. Sie entwickeln neue Methoden, mit denen Tumoren präziser diagnostiziert und Krebspatienten erfolgreicher behandelt werden können. Die Mitarbeiterinnen und Mitarbeiter des Krebsinformationsdienstes (KID) klären Betroffene, Angehörige und interessierte Bürger über die Volkskrankheit Krebs auf. Gemeinsam mit dem Universitätsklinikum Heidelberg hat das DKFZ das Nationale Centrum für Tumorerkrankungen (NCT) Heidelberg eingerichtet, in dem vielversprechende Ansätze aus der Krebsforschung in die Klinik übertragen werden. Im Deutschen Konsortium für Translationale Krebsforschung (DKTK), einem der sechs Deutschen Zentren für Gesundheitsforschung, unterhält das DKFZ Translationszentren an sieben universitären Partnerstandorten. Die Verbindung von exzellenter Hochschulmedizin mit der hochkarätigen Forschung eines Helmholtz-Zentrums ist ein wichtiger Beitrag, um die Chancen von Krebspatienten zu verbessern. Das DKFZ wird zu 90 Prozent vom Bundesministerium für Bildung und Forschung und zu 10 Prozent vom Land Baden-Württemberg finanziert und ist Mitglied in der Helmholtz-Gemeinschaft deutscher Forschungszentren.
Universitätsklinikum Carl Gustav Carus Dresden
Das Universitätsklinikum Carl Gustav Carus Dresden bietet medizinische Betreuung auf höchstem Versorgungsniveau. Als Krankenhaus der Maximalversorgung deckt es das gesamte Spektrum der modernen Medizin ab. Das Universitätsklinikum vereint 20 Kliniken und Polikliniken, vier Institute und zehn interdisziplinäre Zentren, die eng mit den klinischen und theoretischen Instituten der Medizinischen Fakultät zusammenarbeiten.
Mit 1.295 Betten und 160 Plätzen für die tagesklinische Behandlung von Patienten ist das Dresdner Uniklinikum das größte Krankenhaus der Stadt und zugleich das einzige Krankenhaus der Maximalversorgung in Ostsachsen. Rund 860 Ärzte decken das gesamte Spektrum der modernen Medizin ab. 1.860 Schwestern und Pfleger kümmern sich um das Wohl der Patienten. Wichtige Behandlungsschwerpunkte des Uniklinikums sind die Versorgung von Patienten, die an Krebs, an Stoffwechsel- und an neurodegenerativen Erkrankungen.
Deutschlands größter Krankenhausvergleich des Nachrichtenmagazins „Focus“ bescheinigt dem Universitätsklinikum Carl Gustav Dresden eine hervorragende Behandlungsqualität. Die Dresdner Hochschulmedizin belegt deshalb Platz zwei im deutschlandweiten Ranking.
Medizinische Fakultät Carl Gustav Carus der Technischen Universität Dresden
Die Hochschulmedizin Dresden, bestehend aus der Medizinischen Fakultät Carl Gustav Carus und dem gleichnamigen Universitätsklinikum, hat sich in der Forschung auf die Bereiche Onkologie, metabolische sowie neurologische und psychiatrische Erkrankungen spezialisiert. Bei diesen Schwerpunkten sind übergreifend die Themenkomplexe Degeneration und Regeneration, Imaging und Technologieentwicklung, Immunologie und Inflammation sowie Prävention und Versorgungsforschung von besonderem Interesse. Internationaler Austausch ist Voraussetzung für Spitzenforschung – die Hochschulmedizin Dresden lebt diesen Gedanken mit Mitarbeiterinnen und Mitarbeitern aus 73 Nationen sowie zahlreichen Kooperationen mit Forschern und Teams in aller Welt.
Helmholtz-Zentrum Dresden-Rossendorf (HZDR)
Das Helmholtz-Zentrum Dresden-Rossendorf (HZDR) forscht auf den Gebieten Energie, Gesundheit und Materie. Folgende Fragestellungen stehen hierbei im Fokus:
• Wie nutzt man Energie und Ressourcen effizient, sicher und nachhaltig?
• Wie können Krebserkrankungen besser visualisiert, charakterisiert und wirksam behandelt werden?
• Wie verhalten sich Materie und Materialien unter dem Einfluss hoher Felder und in kleinsten Dimensionen?
Zur Beantwortung dieser wissenschaftlichen Fragen betreibt das HZDR große Infrastrukturen, die auch von externen Messgästen genutzt werden: Ionenstrahlzentrum, Hochfeld-Magnetlabor Dresden und ELBE-Zentrum für Hochleistungs-Strahlenquellen.
Das HZDR ist Mitglied der Helmholtz-Gemeinschaft, hat fünf Standorte (Dresden, Freiberg, Grenoble, Leipzig, Schenefeld bei Hamburg) und beschäftigt knapp 1.200 Mitarbeiter – davon etwa 500 Wissenschaftler inklusive 170 Doktoranden.
Die semantisch ähnlichsten Pressemitteilungen im idw