Experimentelles Tumormodell offenbart neue Ansätze für die Immuntherapie bei Glioblastom-Patienten
Glioblastome, extrem aggressive Hirntumoren, sprechen sehr häufig nicht auf Immuntherapien an. Wissenschaftler von der Universitätsmedizin Mannheim (UMM) und vom Deutschen Krebsforschungszentrum (DKFZ) konnten bei Mäusen nun einen Resistenzmechanismus identifizieren, der es Glioblastomen ermöglicht, einer Immuntherapie mit Checkpoint-Inhibitoren zu entkommen.
Moderne Krebsimmuntherapien, die den Körper im Kampf gegen den Tumor unterstützen, haben die Therapie etlicher Krebsarten revolutioniert. Die Behandlung mit sogenannten Immun-Checkpoint-Inhibitoren löst die krebsbedingte Blockade der Immunzellen und ermöglicht dem Abwehrsystem dadurch, sich gegen den Tumor zu richten.
Glioblastome, bösartige Tumoren des Gehirns, zeigen sich jedoch häufig resistent gegenüber dieser Therapie. Wissenschaftler unter der Leitung von Professor Dr. Michael Platten, Direktor der Neurologischen Klinik der Universitätsmedizin Mannheim und Leiter der Klinischen Kooperationseinheit Neuroimmunologie und Hirntumorimmunologie am Deutschen Krebsforschungszentrum, vermuten aber, dass das Potenzial der Immuntherapien bei der Behandlung des Glioblastoms längst nicht ausgeschöpft ist. Daher erforschen sie, über welche Resistenzmechanismen sich Glioblastome vor den Immun-Checkpoint-Inhibitoren schützen.
Ziel ihrer aktuellen Arbeit war es, eine Systematik zu entwickeln, mit der die Resistenz oder das Ansprechen der Tumoren auf eine Behandlung mit Checkpoint-Inhibitoren individuell vorhergesagt werden kann. Ein für ihre Fragestellungen geeignetes Modell fanden die Wissenschaftler bei bestimmten Mäusen, bei denen überraschenderweise einzelne Individuen – ebenso wie beim Menschen – heterogen auf Immuntherapien reagieren und entsprechend in „Responder“ und „Nicht-Responder“ unterschieden werden können.
Das bot den Forschern ideale Voraussetzungen, um die den gegensätzlichen Reaktionen zugrundeliegenden zellulären und molekularen Mechanismen zu erforschen. So wollen sie neue Zielstrukturen ermitteln, die sich für mögliche Kombinationstherapien eignen.
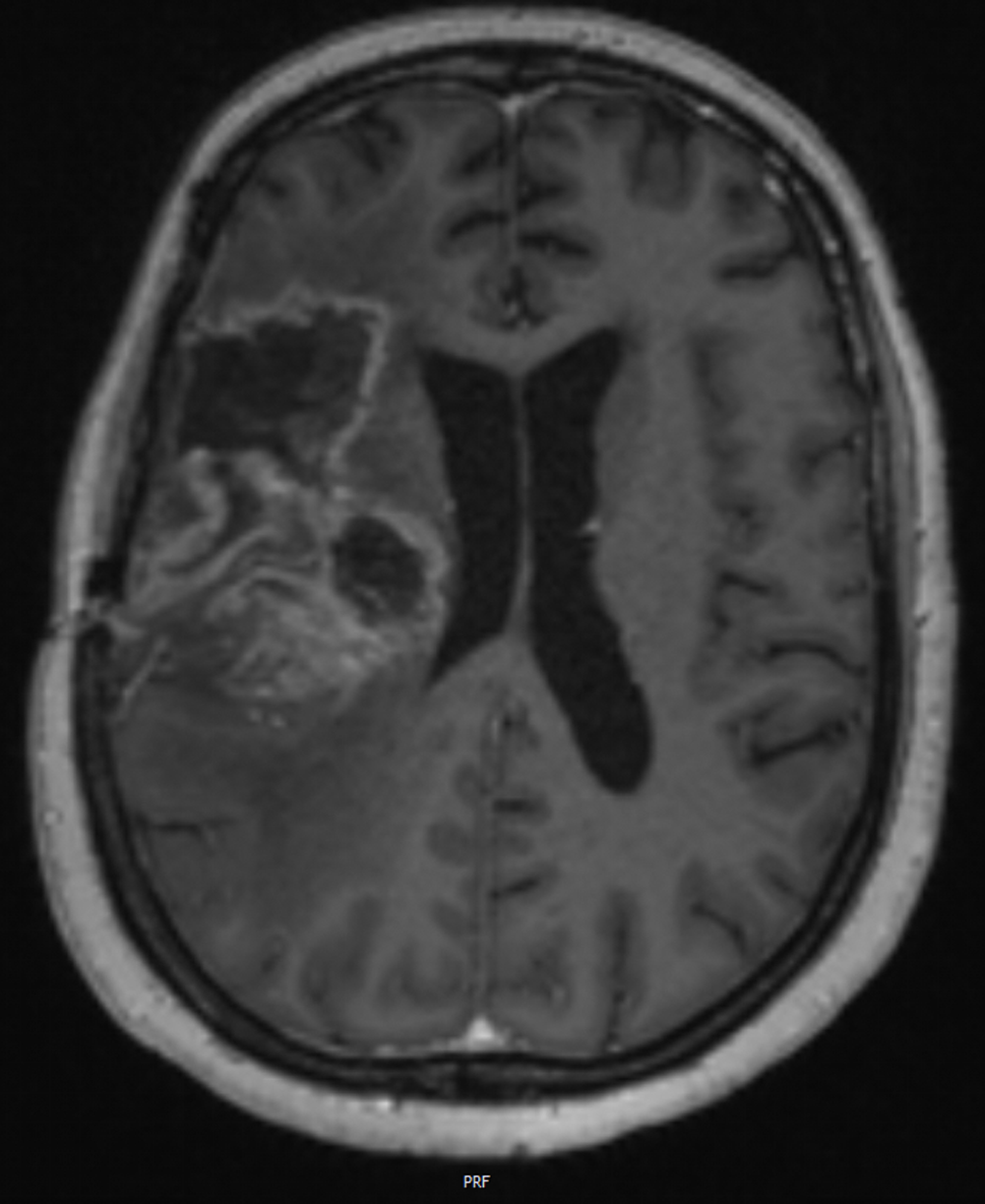
Ebenso bot es die Chance, mittels serieller Magnetresonanztomographie (MRT)-Bildgebung Merkmale zu identifizieren, die ein Therapieansprechen vorhersagen können. Im Modellsystem gelang dies mit einer Genauigkeit von 82,7 Prozent. Diese „Signatur“ soll in künftigen klinischen Studien mit Glioblastom-Patienten überprüft werden.
Durch den Vergleich der Immun-Mikroumgebung der Gliome von resistenten Tieren und solchen, die auf die Behandlung ansprachen, konnten die Wissenschaftler einen Resistenzmechanismus gegen die Immun-Checkpoint-Blockade ermitteln. Er wird von einer Untergruppe der als Makrophagen bezeichneten Fresszellen vermittelt, die das Protein PD-L1 tragen, das als Immunbremse funktioniert. Letztendlich führt dies zu einer Anreicherung von regulatorischen T-Zellen und einer Drosselung der CD4+ T-Zell-Aktivierung, was die natürliche Tumorabwehr unterdrückt.
Ob dieser Resistenzmechanismus auch bei Patienten mit Gliomen eine Rolle spielt, untersuchen die Wissenschaftler aktuell in einer vom Deutschen Konsortium für Translationale Krebsforschung (DKTK) geförderten multizentrischen klinischen Studie.
„Mit einer Behandlung, die sich gegen diese PD-L1-tragenden Makrophagen richtet, könnte sich die Resistenz gegen die Immun-Checkpoint-Inhibitoren überwinden lassen“, vermutet Michael Platten. Die künftige Strategie zur Verbesserung der Therapieantwort von Glioblastom-Patienten auf die Immuntherapie könnte daher eine Kombination dieser beiden Therapien sein.
Wissenschaftlicher Ansprechpartner:
Prof. Dr. med. Michael Platten
Direktor
Neurologische Klinik
Universitätsmedizin Mannheim, Universität Heidelberg
Theodor-Kutzer-Ufer 1-3
68167 Mannheim
+49-621-383-2885
Originalpublikation:
Aslan, K., Turco, V., Blobner, J. et al.
Heterogeneity of response to immune checkpoint blockade in hypermutated experimental gliomas.
Nat Commun 11, 931 (2020).
https://doi.org/10.1038/s41467-020-14642-0
Die semantisch ähnlichsten Pressemitteilungen im idw