Individuelle und hochmoderne Versorgung von Patienten mit Hirntumoren
Die Wilhelm Sander-Therapieeinheit NeuroOnkologie des Universitätsklinikums Regensburg (UKR) und des medbo Bezirksklinikums Regensburg wurde seit ihrer Gründung im Jahr 2011 mit insgesamt 3,14 Millionen Euro durch die Wilhelm Sander-Stiftung gefördert. Beide Einrichtungen setzen diese Therapieeinheit nun in eigener Verantwortung fort und garantieren damit auch in Zukunft beste Versorgung für Patienten mit Hirntumoren.
Mit finanzieller Unterstützung der Wilhelm Sander-Stiftung konnte in den vergangenen acht Jahren die Behandlung von Patienten mit Hirntumoren am UKR stetig verbessert werden. Die Stiftung verfolgte mit der Förderung dabei das Ziel, an jedem Universitätsklinikum in Bayern Therapieeinheiten zur Behandlung bestimmter Krebserkrankungen zu etablieren. In Regensburg entschied man sich im Bereich der Neuroonkologie tätig zu werden und die bestehenden Behandlungs- und Forschungsstrukturen sukzessive zu erweitern. Entscheidend für die Gründung der Wilhelm Sander-Therapieeinheit „NeuroOnkologie“ im Jahr 2011 war die seit Jahren vorhandene medizinische und wissenschaftliche Expertise der Kliniken für Neurologie und Neurochirurgie am Universitätsklinikum Regensburg und am medbo Bezirksklinikum Regensburg. „Mit der Wilhelm Sander-Therapieeinheit wurden bestehende Strukturen erweitert, die es uns erlauben, unsere Patienten noch effizienter und gezielter zu behandeln. Die Therapieeinheit dient als interdisziplinärer Knotenpunkt für alle Informationen rund um Hirntumoren. Von dort aus werden alle beteiligten Kliniken und deren medizinische Fachgebiete eingebunden und die Patienten in eine ambulante oder stationäre Behandlung weitergeleitet und bestmöglich betreut“, erklärt Professor Dr. Peter Hau, Leiter der Wilhelm Sander-Therapieeinheit und Oberarzt der Klinik und Poliklinik für Neurologie.
Insgesamt erhielt die Therapieeinheit NeuroOnkolgie im nun ausgelaufenen Förderzeitraum 3,14 Millionen Euro an Fördergeldern von der Stiftung. Zukünftig wird die Therapieeinheit durch die beteiligten Kliniken des UKR finanziert. Daran beteiligt sind hauptsächlich die neuen Lehrstuhlinhaber für Neurologie, Professor Dr. Ralf Linker, und für Neurochirurgie, Professor Nils Ole Schmidt. „Es ist wichtig, nachhaltig etwas zu schaffen, und das gelingt uns mit der jetzt initialisierten Verstetigung der Wilhelm Sander-Therapieeinheit. Sie erlaubt es uns, medizinisch und strukturell auf die bisherigen Errungenschaften aufzubauen und die Versorgung weiter auszubauen. Ohne die Wilhelm Sander-Therapieeinheit könnten wir auch den geplanten Umzug der Neuroonkologie vom Bezirksklinikum ans UKR, der hauptsächlich von der Neurologie getragen und von allen Partnern unterstützt wird, nicht realisieren“, lenkt Professor Dr. Oliver Kölbl, Ärztlicher Direktor des UKR, den Blick auf eine langfristige Etablierung der Wilhelm Sander-Therapieeinheit.
Neuropathologie als Leitschiene bei der Behandlung von Hirntumoren
So wurde die Gründung einer eigenständigen Abteilung für Neuropathologie am Universitätsklinikum Regensburg erst durch die Stiftungsförderung ermöglicht. „Die Neuropathologie ist bei der Diagnose von Tumorerkrankungen des zentralen Nervensystems und der Hirnhäute unerlässlich“, erklärt Professor Dr. Markus J. Riemenschneider, Leiter der Abteilung für Neuropathologie des UKR. Dabei ist die Neuropathologie integraler Teil der Wilhelm Sander-Therapieeinheit. Gemeinsam gewährleisten sie und die beteiligten klinischen Einrichtungen die optimale integrierte Diagnostik und Behandlung von Hirntumorpatienten am Standort Regensburg. Einen wichtigen Meilenstein stellte die Erstakkreditierung der Abteilung für Neuropathologie im Jahr 2013 dar, die seitdem die kontinuierliche qualitätsgesicherte Diagnostik mit einem breiten Spektrum von gewebsbasierten und modernen molekularen Methoden sicherstellt.
Interdisziplinäre Zusammenarbeit aller medizinischen Bereiche
In der Wilhelm Sander-Therapieeinheit wird ein breites Spektrum an Patienten mit primären Hirntumoren (Tumoren, die vom Gehirn oder vom Rückenmark ausgehen), Hirnmetastasen (Absiedlungen von Tumoren aus anderen Organen), paraneoplastischen Syndromen (indirekte Auswirkungen von Tumorerkrankungen auf das Nervensystem und andere Organe) und Nebenwirkungen von Tumortherapien, zum Beispiel Chemotherapie, behandelt. „Um diese Erkrankungen optimal zu versorgen und jedem Patienten eine für ihn individuell bestmögliche Therapie zukommen zu lassen, setzen wir auf interdisziplinäre Zusammenarbeit verschiedenster medizinischer Disziplinen am UKR“, führt Professor Hau weiter aus. So sind in der Wilhelm Sander-Therapieeinheit nicht nur die Kliniken für Neurochirurgie und Neurologie und die Abteilung für Neuropathologie, sondern auch das Zentrum für Neuroradiologie und die Kliniken für Strahlentherapie und Internistische Onkologie sowie die Nuklearmedizin, die Pädiatrische Onkologie und weitere Partner in die Diagnose und die behandlungsentscheidenden Prozesse eingebunden. Ihre Expertise wird in der Wilhelm Sander-Therapieeinheit gebündelt und regelmäßig in einer interdisziplinären Fallkonferenz, in der jeder einzelne Patient besprochen wird, zusammengebracht. Insbesondere das ambulante Patientenportal der Wilhelm Sander-Ambulanz greift hier unterstützend ein. Durch diese Einrichtung werden Patienten am Folgetag der interdisziplinären Fallkonferenz direkt vor Ort von den verschiedenen Behandlungspartnern individuell beraten, um keine wertvolle Zeit durch weite Wege und aufeinander folgende Termine zu verlieren und die diagnostischen und therapeutischen Maßnahmen so schnell wie möglich einleiten zu können.
„Wir können durch die Wilhelm Sander-Therapieeinheit mehr Patienten therapieren“
Im Zuge des Aufbaus der Wilhelm Sander-Therapieeinheit erfolgte auch die Zertifizierung des Neuroonkologischen Zentrums durch die Deutsche Krebsgesellschaft. Mit dieser Zertifizierung wurde gleichzeitig ein Qualitätsmanagementsystem eingeführt. „Dieses System erlaubt es uns, all unsere Prozesse, von der Diagnose über die Therapie bis hin zur Entlassung unserer Patienten, ständig zu überprüfen und zu optimieren“, so Professor Hau. Ein Umstand, der sich auch direkt auf die therapierten Patienten auswirkt. Hinzu kommt eine enge Vernetzung mit niedergelassenen Ärzten. „Gerade bei diagnostischen Zweitmeinungen wird unsere Expertise immer öfter hinzugezogen, weil sich die Therapieeinheit einen hervorragenden Ruf, weit über den ostbayerischen Raum hinaus, erarbeitet hat. Zu uns kommen Patienten aus dem gesamten Bundesgebiet und sogar aus dem nicht-deutschsprachigen Ausland“, so Professor Linker, Direktor der Klinik und Poliklinik für Neurologie. Im Zeitraum seit dem Jahr 2012 ist die Anzahl der Erstdiagnosen von jährlich 130 auf 220 angestiegen. „Wir können mehr Menschen helfen, weil wir bessere Möglichkeiten haben, auch schwierigste Fälle zu erkennen. Dabei kommen spezielle Operations- und bildgebende Techniken in der Neurochirurgie und der Neuroradiologie zum Einsatz“, sagt Professor Dr. Nils Ole Schmidt, Direktor der Klinik und Poliklinik für Neurochirurgie des UKR.
Forschung, Lehre und Patientenversorgung als Basis für erfolgreiche Medizin
„Unser Ziel ist es, mit den Wilhelm Sander-Therapieeinheiten die Entwicklung neuer Therapieformen für Krebspatienten unmittelbar aus Forschungsergebnissen zu unterstützen. Wir freuen uns deshalb besonders, dass es gelungen ist, am Universitätsklinikum Regensburg ein klinisches Zentrum zu schaffen, das genau dieses Ziel verfolgt“, erläutert Bernhard Knappe, Vorstandsvorsitzender der Wilhelm Sander-Stiftung, das Konzept. So konnten mit den Fördergeldern der Stiftung die Forschungsaktivitäten im Bereich Hirntumoren weiterentwickelt werden. Neben der neu geschaffenen Professur für Neuroonkologie wurde die interdisziplinäre Studienplattform für klinische Phase-I- bis Phase-III-Studien weiter ausgebaut. Hierdurch konnten zahlreiche internationale und nationale klinische Studien angeworben werden, wodurch den Patienten ein schnellerer Zugang zu neuartigen Therapieansätzen ermöglicht wird. „In der Wilhelm Sander-Therapieeinheit finden sich die drei Aufgaben der Universitätsmedizin bestens abgebildet: Forschung, Lehre und Krankenversorgung gehen hier Hand in Hand und liefern brauchbaren Wissens-Output, der direkt in der klinischen Praxis Anwendung findet“, freut sich auch Professor Dr. Wolfgang Herr, Forschungsdekan der Fakultät für Medizin der Universität Regensburg und Direktor der Klinik und Poliklinik für Innere Medizin III des UKR.
Die Partner in der Wilhelm Sander-Therapieeinheit betreiben außerdem eine große Biobank (Biobank des Zentrums für Hirntumoren), die mehrere tausend Proben von Hirntumoren und Hirnmetastasen für wissenschaftliche und translationale Fragestellungen vorhält. All dies unterstützt die Vernetzung am Wissenschaftsstandort Regensburg und die Beteiligung von Partnern der Sander-Therapieeinheit an zahlreichen erfolgreichen Forschungsmitteleinwerbungen in jüngerer Zeit. Die Partner der Sander-Therapieeinheit sind auf ihren jeweiligen Fachgebieten exzellent national und international vernetzt. Auch diese Entwicklung wurde durch den hierfür notwendigen Aufbau sichtbarer lokaler Strukturen durch die Wilhelm Sander-Stiftung exzellent unterstützt. Professor Hau: „Die Förderung durch die Wilhelm Sander-Stiftung war für die Entwicklung der Hirntumor-Medizin in Regensburg und vor allem natürlich für die betroffenen Patienten ein bedeutender Schritt. Wir sind der Stiftung für diese Unterstützung sehr dankbar und arbeiten auch in Zukunft weiter daran, die Lehre, Forschung und Krankenversorgung im Bereich der Hirntumoren stetig zu verbessern.“
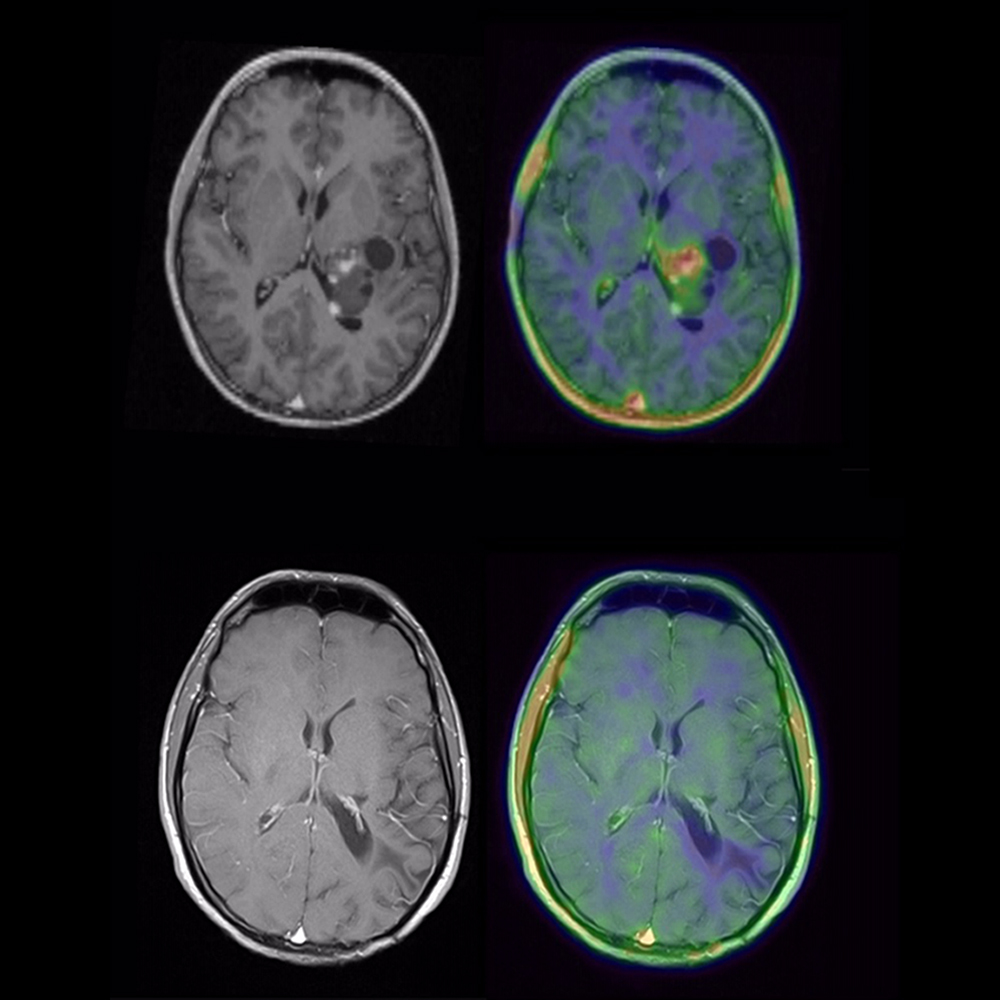
Ergänzung zur Abbildung:
MRT eines Patienten mit Glioblastom vor (oben) und nach (unten) molekularer neuropathologischer Diagnostik und zielgerichteter Therapie. Die Wilhelm Sander-Therapieeinheit NeuroOnkologie ermöglicht neben einer gezielten Diagnostik auch die personalisierte Behandlung von Patienten mit Hirntumoren.
Kontakt:
Henrike Boden
Wilhelm Sander-Stiftung
Presse- und Öffentlichkeitsarbeit & Stiftungskommunikation
Tel.: +49 (0) 89 544187-0
Fax: +49 (0) 89 544187-20
E-Mail: boden@sanst.de
Wilhelm Sander-Stiftung: Partner innovativer Krebsforschung
Die Wilhelm-Sander-Stiftung hat die Therapieeinheit seit 2011 mit insgesamt 3,14 Millionen Euro unterstützt. Stiftungszweck ist die Förderung der medizinischen Forschung, insbesondere von Projekten im Rahmen der Krebsbekämpfung. Seit Gründung der Stiftung wurden insgesamt rund 245 Millionen Euro für die Forschungsförderung in Deutschland und der Schweiz ausbezahlt. Damit ist die Wilhelm Sander-Stiftung eine der bedeutendsten privaten Forschungsstiftungen im deutschen Raum. Sie ging aus dem Nachlass des gleichnamigen Unternehmers hervor, der 1973 verstorben ist.
Matthias Dettenhofer
Pressereferent
Universitätsklinikum Regensburg
Franz-Josef-Strauß-Allee 11
93053 Regensburg
Tel.: +49 (0) 941 944-4200
Fax: +49 (0) 941 944-4488
presse@ukr.de
Spitze in der Medizin. Menschlich in der Begegnung.
Das Universitätsklinikum Regensburg (UKR) versorgt jährlich etwa 35.500 Patienten stationär sowie ca. 154.000 ambulant. Hierfür hält das UKR 839 Betten und 52 tagesklinische Behandlungsplätze bereit (von insgesamt 1.087 universitär betriebenen Betten der Fakultät für Medizin der Universität Regensburg). In 29 human- und zahnmedizinischen Kliniken, Polikliniken, Instituten und Abteilungen beschäftigt das Universitätsklinikum Regensburg mehr als 4.900 Mitarbeiter.
Ausgerichtet ist das Universitätsklinikum Regensburg auf Hochleistungsmedizin, insbesondere in den Gebieten der Transplantations- und Intensivmedizin sowie onkologischer und kardiovaskulärer Erkrankungen. Bei der durchschnittlichen Fallschwere („Case-Mix-Index“) liegt das UKR an der Spitze der deutschen Universitätsklinika. Neben der Patientenversorgung der höchsten Versorgungsstufe ist das UKR gemeinsam mit der Fakultät für Medizin der Universität Regensburg für die Ausbildung von rund 2.150 Studierenden (Human- und Zahnmedizin) sowie für die medizinische Forschung verantwortlich. Gemeinsames Ziel aller Mitarbeiter sind die optimale medizinische und pflegerische Versorgung der Patienten sowie ein wertschätzendes Miteinander im Team.
Wissenschaftlicher Ansprechpartner:
Professor Dr. Peter Hau
Leiter Wilhelm Sander-Therapieeinheit NeuroOnkologie
Universitätsklinikum Regensburg
Franz-Josef-Strauß-Allee 11
93053 Regensburg
Tel.: 0941 944-8464
Peter.hau@ukr.de
https://www.ukr.de/zentren/zentrum-fuer-hirntumoren/
Weitere Informationen:
https://www.wilhelm-sander-stiftung.de/
https://www.ukr.de/
Die semantisch ähnlichsten Pressemitteilungen im idw