Analysemethoden nehmen Einfluss auf das Ergebnis
Neurowissenschaften: 70 Forschungsteams kommen bei der Analyse der gleichen MRT-Daten zu sehr unterschiedlichen Erkenntnissen
Ein von Ökonomen der Universität Innsbruck mitinitiiertes, weltweites Forschungsprojekt zeigt auf, dass die wissenschaftliche Analyse von komplexen Forschungsdaten im Bereich der Neurowissenschaften zu unterschiedlichen Ergebnissen führen kann. In der Fachzeitschrift Nature appellieren die Forscher deshalb an die wissenschaftliche Gemeinschaft, Forschungsprozesse möglichst transparent zu gestalten und Forschungsdaten miteinander zu teilen.
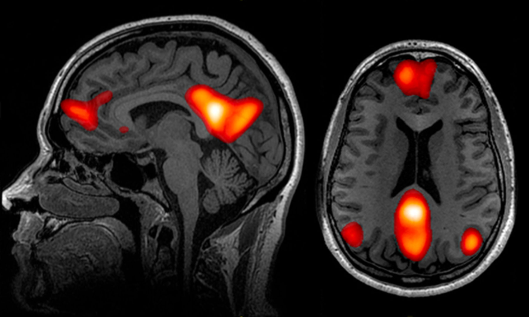
Was passiert, wenn 70 Forschungsteams aus aller Welt unabhängig voneinander denselben Datensatz analysieren, um dieselben Hypothesen zu prüfen? Diese Frage beantwortet erstmals eine internationale Studie, die von den Ökonomen Michael Kirchler, Jürgen Huber und Felix Holzmeister vom Institut für Banken und Finanzen der Universität Innsbruck mitinitiiert wurde. Gemeinsam mit Forschern des California Institute of Technology, der Stanford University, der Stockholm School of Economics und der Universität Tel Aviv haben sie rund 200 Wissenschaftlerinnen und Wissenschaftler eingeladen, den gleichen MRT-Datensatz zu analysieren und neun Forschungshypothesen zu überprüfen. Die Daten stammen aus einem Experiment in Tel Aviv, bei dem die Hirntätigkeit von 108 Probanden mit Hilfe von Funktioneller Magnetresonanztomographie aufgezeichnet wurde, während sie ökonomische Entscheidungen trafen. Das Verfahren zeigt mit hoher räumlicher Auflösung jene Hirnareale an, die während der Messung aktiv sind. Die neurowissenschaftlichen Forschungsteams wurden gebeten, diese Daten mit ihren etablierten Analyseverfahren dahingehend zu untersuchen, ob es Hinweise für einen Zusammenhang zwischen der Aktivität von Teilen des Gehirns und bestimmten Aspekten ökonomischer Entscheidungssituationen gibt.
Transparent und offen
Die Forschungsteams hatten drei Monate Zeit, um die Daten zu analysieren und den Studienautoren ihre Ergebnisse sowie detaillierte Informationen über ihre Methoden zukommen zu lassen. Für fünf der Hypothesen wichen die Schlussfolgerungen der Teams erheblich voneinander ab, für die restlichen vier herrschte tendenziell Übereinstimmung. „Interessanterweise zeigen die den Analysen zugrundeliegenden von den Teams aufbereiteten Datensätze noch eine relativ große Übereinstimmung zwischen allen Teams“, erläutert Felix Holzmeister. „Die ähnlichen Zwischenergebnisse führten aber am Ende zu zum Teil sehr unterschiedlichen Resultaten.“ Eine Metaanalyse auf Basis der Zwischenergebnisse der verschiedenen Teams erbrachte hingegen ein einheitlicheres Bild. Dabei ließ sich zeigen, dass manche Aspekte der Datenanalyse einen gewichtigeren Einfluss auf das Ergebnis haben als andere, und eher zu positiven Ergebnissen führen. „Hier deuten sich bereits Wege an, wie der Forschungsprozess in solch komplexen Fragestellungen weiter verbessert werden kann: Forschungsprozesse sollten möglichst transparent gehalten und Daten und Methoden gemeinsam geteilt werden“, betont Michael Kirchler. Sein Kollege Jürgen Huber ergänzt: „Diese internationale Studie unterstreicht auch, wie wichtig es ist, dass wir Wissenschaftler uns dieser möglichen Diskrepanzen bei komplexen Fragestellungen immer bewusst sind.“
Zu optimistisch
Gemeinsam mit einem Team um Anna Dreber und Magnus Johannesson von der Stockholm School of Economics sowie Colin Camerer vom California Institute of Technology führten die Innsbrucker Ökonomen Prognosemärkte mit Expertinnen und Experten aus dem Gebiet der Neurowissenschaften durch, um deren persönliche Erwartungen hinsichtlich der Ergebnisse herauszufinden. Die Wissenschaftler erhielten Geld, das sie auf unterschiedliche Resultate zu den untersuchten Thesen setzen konnten. „Dabei zeigte sich, dass die Marktteilnehmer überoptimistisch hinsichtlich der Wahrscheinlichkeit von signifikanten Ergebnissen waren, selbst dann, wenn sie die Daten zuvor selbst analysiert haben“, erläutert Felix Holzmeister.
„Die Tatsache, dass hier fast 200 Forscher bereit waren, Dutzende von Stunden in eine solche kritische Selbstüberprüfung zu investieren, unterstreicht die große Bereitschaft der Wissenschaftler in diesem Gebiet, die Qualität ihrer Datenanalysen weiter zu verbessern. Dieser Prozess der Selbstreflexion und der kontinuierlichen Verbesserung der eigenen Methoden ist einzigartig und zeichnet die Wissenschaft aus“, betonen Michael Kirchler und Jürgen Huber. Die Studie NARPS (Neuroimaging Analysis, Replication and Prediction Study) wurde unter anderem vom österreichischen Wissenschaftsfonds FWF (SFB F63) finanziell gefördert und ihre Ergebnisse sind nun in der Fachzeitschrift Nature erschienen.
Wissenschaftlicher Ansprechpartner:
Felix Holzmeister, PhD
Institut für Banken und Finanzen
Universität Innsbruck
Mobil: +43 664 3168568
E-Mail: felix.holzmeister@uibk.ac.at
Web: https://www.uibk.ac.at/ibf/
Originalpublikation:
Variability in the analysis of a single neuroimaging dataset by many teams. Rotem Botvinik-Nezer, et.al. Nature 2020 DOI: 10.1038/s41586-020-2314-9, https://www.nature.com/articles/s41586-020-2314-9 [bioRxiv: https://www.bioRxiv.org/content/10.1101/843193v1]
Weitere Informationen:
https://www.narps.info/ - Projektwebsite Neuroimaging Analysis Replication and Prediction Study (NARPS)
https://www.uibk.ac.at/credence-goods/ - FWF-Spezialforschungsbereich Vertrauensgüter, Anreize und Verhalten
https://www.uibk.ac.at/ibf - Institut für Banken und Finanzen
Die semantisch ähnlichsten Pressemitteilungen im idw