Ist es Corona oder nicht: Studentin entwickelt Röntgen-Software für COVID-19-Diagnose
• Studienarbeit von Künzelsauer Studentin Lena Kopp legt Grundlage für diagnostische
Unterstützung bei Corona.
• Sie möchte damit Erkrankten aus Entwicklungsländern helfen.
Heilbronn / Künzelsau, Juli 2020. Das neuartige Corona-Virus SARS-CoV-2 fordert schnelle Lösungen, um Erkrankten effizient helfen zu können. Eine Früherkennung kann insbesondere bei einem potentiell schweren Verlauf Leben retten. Genau hier setzt die Studentin Lena Kopp an. Sie studiert Elektrotechnik am Campus Künzelsau der Hochschule Heilbronn, Reinhold-Würth-Hochschule und entwickelte eine Röntgen-Software, zur Früherkennung einer Corona-Infektion.
Mit ihrer Möglichkeit, Röntgenbilder zur Covid-19-Diagnose einzusetzen, geht sie sogar einen Schritt weiter: „Mir ist es besonders wichtig mit meiner Arbeit etwas zu tun, was Menschen in ärmeren Ländern in dieser schwierigen Zeit von Nutzen sein kann.“
Denn: Üblicherweise wird bei Verdacht auf eine Infektion mit dem Virus der bekannte Nasen- und Rachenabstrich durchgeführt. Bei Verdacht auf einen schweren Verlauf wird eine Computertomographie (CT) angeordnet. In Entwicklungsländern stehen weder Test-Kits, noch Möglichkeiten einer CT ausreichend zur Verfügung.
So hat Lena Kopp in ihrer Studienarbeit eine Röntgen-Software entwickelt, die zwischen einer bakteriellen- und einer viralen Lungen-Erkrankung unterscheiden kann – völlig automatisch. Ihr Beweggrund: „Da oft kein CT-Equipment zur Verfügung steht, konventionelles Röntgen jedoch inzwischen weit verbreitet ist, ist es aus meiner Sicht besonders sinnvoll die vorhandenen Möglichkeiten optimal zu nutzen und zur Unterstützung der Ärzte Röntgenbilder automatisiert auswerten zu können“, sagt die Studentin weiter.
Ansatzpunkt zur Unterscheidung der Infektionsursache
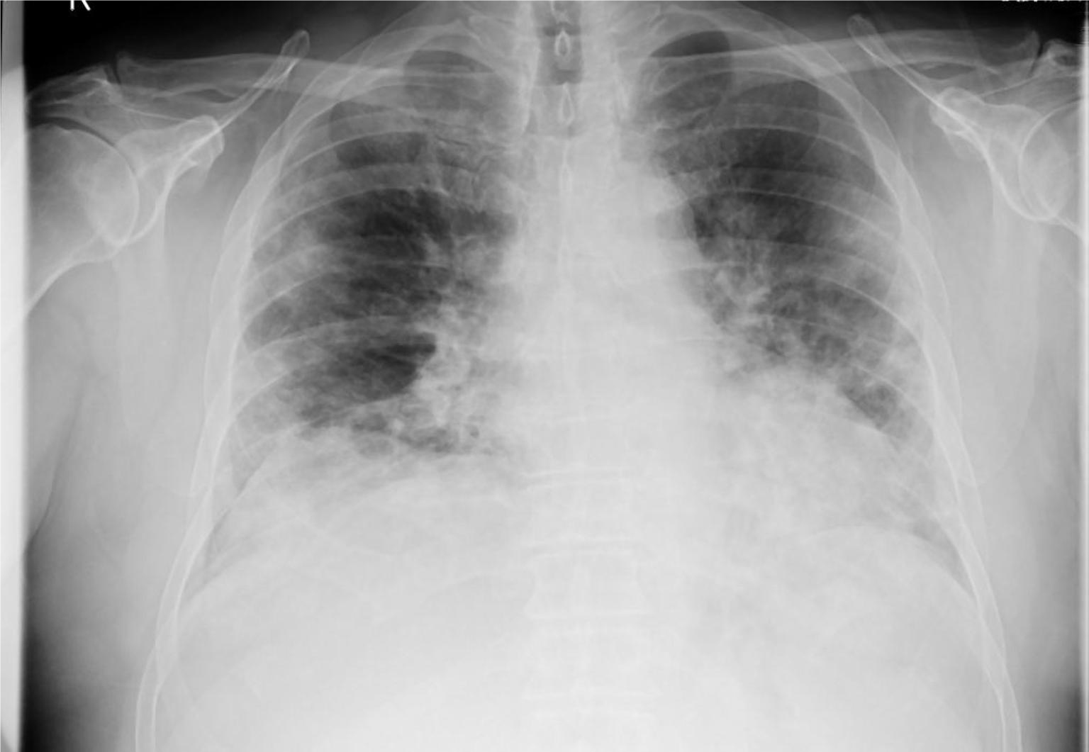
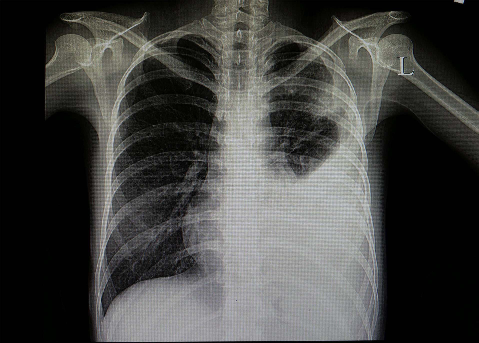
Prof. Dr. Alexander Jesser, betreute gemeinsam mit seinem Mitarbeiter Roman Radtke die Studentin bei ihrer vielversprechenden Forschungsarbeit. Prof. Dr. Jesser erläutert: „Bei einer Erkrankung der Lunge ist das betroffene Gewebe meist weniger transparent für die Röntgenstrahlung und kann durch seine Form und Abgrenzung Aufschluss geben, um welche Art der Krankheit es sich handelt. Eine Covid-19-Erkrankung zeigt meist milchglasartige Veränderungen in beiden Lungenflügeln. Ist eine Erkrankung der Lunge durch eine Infektion mit Bakterien erfolgt, ist mehrheitlich nur ein Flügel der Lunge verändert. Eine gleichmäßige Ausbreitung über alle Bereiche der Lunge ist dabei also ein Hinweis auf eine Covid-19 Infektion.“
Die Auswertung der Röntgenbilder
Zur automatisierten Auswertung werden die Aufnahmen in einen Standard-PC eingelesen und mit einer speziellen mathematischen Operation der Kontrast erhöht - ein Vorteil bei qualitativ schlechten Aufnahmen, die mit älteren Röntgenanlagen entstehen. Die Software erstellt neben einem Falschfarbenbild, das die Auswertung vereinfachen kann, ein Binärbild, auf welchem sich bereits die Umrisse der Lunge, sowie Spuren von geschädigtem Gewebe erkennen lassen. Durch einen weiteren Algorithmus werden die im Binärbild vorhandenen Kanten und Grenzen der einzelnen Bereiche ermittelt. Die Software kann durch weitere Berechnungen Flächen- und Symmetriebetrachtungen vollziehen und anhand dieser mit großer Wahrscheinlichkeit zwischen bakterieller- oder viraler Lungenentzündungen unterscheiden.
Auch Radiologe am Universitätsspital Basel, Dr. Konrad Appelt, der beratend zur Forschungsarbeit beigetragen hat, sieht die automatisierte medizinische Auswertung von Röntgenbildern positiv: „Klar ist, dass durch diese Methode ein qualifizierter Arzt nicht ersetzen werden kann und ein einfaches Röntgenbild nicht die diagnostische Qualität eines Computertomographens aufweist, sie kann aber eine sehr sinnvolle, zusätzliche Maßnahme zur Diagnose der Covid-19 Erkrankung sein.“
--
Hochschule Heilbronn – Kompetenz in Technik, Wirtschaft und Informatik
Mit ca. 8.200 Studierenden ist die Hochschule Heilbronn eine der größten Hochschulen für Angewandte Wissenschaften in Baden-Württemberg. Ihr Kompetenz-Schwerpunkt liegt auf den Bereichen Technik, Wirtschaft und Informatik. An vier Standorten in Heilbronn, Heilbronn-Sontheim, Künzelsau und Schwäbisch Hall bietet die Hochschule mehr als 50 Bachelor- und Masterstudiengänge an. Die Hochschule pflegt enge Kooperationen mit Unternehmen aus der Region und ist dadurch in Lehre, Forschung und Praxis gut vernetzt.
Pressekontakt Campus Künzelsau: Annette Retzbach, Hochschulkommunikation,
Daimlerstr. 22, 74653 Künzelsau, Telefon: 07940-1306-406,
E-Mail: annette.retzbach@hs-heilbronn.de, Internet: www.hs-heilbronn.de
Wissenschaftlicher Ansprechpartner:
Prof. Dr. Alexander Jesser, Studiengang Elektrotechnik, Daimlerstr. 22, 74653 Künzelsau, Telefon: 07940-1306-306, E-Mail: alexander.jesser@hs-heilbronn.de,
Internet: www.hs-heilbronn.de/mee
Die semantisch ähnlichsten Pressemitteilungen im idw