Gehirn des weltweit ältesten Wirbeltieres untersucht
Detaillierte Untersuchungen des ältesten Gehirns können neue Erkenntnisse für altersbedingte Krankheiten des Gehirns ermöglichen / Studie im Fachmagazin Acta Neuropathologica erschienen
Er wurde 1774 geboren, als J.W. Goethe die „Leiden des jungen Werthers“ schrieb und lebte bis in die Gegenwart: der Grönlandhai ist das älteste bekannte Wirbeltier der Welt, sehr selten, kaum erforscht und kann bis etwa 500 Jahre alt werden. Jetzt ist es einem internationalen Forscherteam unter Leitung des Universitätsklinikums Freiburg gemeinsam mit Wissenschaftler*innen des Marine-Instituts in Hafnarfjörour, Island, erstmals gelungen, das Gehirn eines etwa 245 Jahre alten Grönlandhais ausführlich zu untersuchen. Dieses Tier war dem Isländischen Team um Dr. Klara B. Jakobsdóttir als Beifang ungewollt ins Netz gegangen und kann jetzt den Neurowissenschaftlern neue Einblicke in die Prozesse des Alterns geben. Die Studie ist am 16. Oktober 2020 im Fachjournal Acta Neuropathologica veröffentlicht worden.
„Dieser Fund ist ein Glücksfall für die Neurowissenschaften“, sagt Projektleiter Prof. Dr. Marco Prinz, Ärztlicher Direktor des Instituts für Neuropathologie am Universitätsklinikum Freiburg und Mitglied im Freiburger Exzellenzcluster CIBSS – Centre für Integrative Biological Signalling Studies der Albert-Ludwigs-Universität Freiburg. „Für neurodegenerative Erkrankungen des Menschen wie Parkinson und Alzheimer galt bislang das Alter als das größte Krankheitsrisiko. Bei den über 90-Jährigen sind statistisch mehr als 40 Prozent an Alzheimer erkrankt. Deshalb ist eine detaillierte histopathologische Untersuchung eines extrem langlebigen Wirbeltiers von größtem Interesse.“
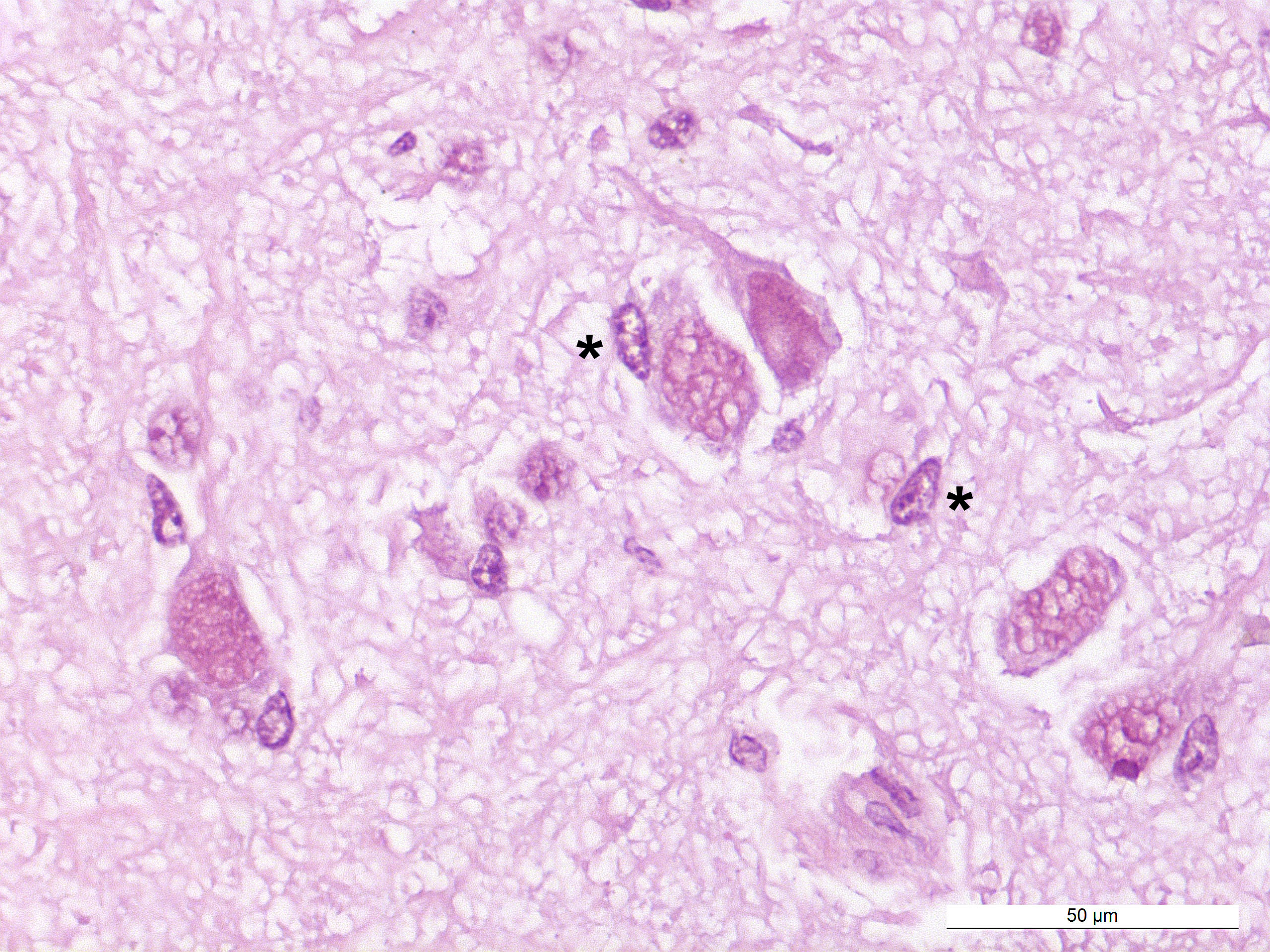
Wenn Gehirne von Patient*innen mit Parkinson und Alzheimer in das Institut für Neuropathologie am Universitätsklinikum Freiburg gelangen, sind diese meist sehr deutlich verändert. Neben einer Schrumpfung spezieller Hirnstrukturen sehen die Ärzt*innen unter dem Mikroskop Ablagerungen von fehlgefalteten, potentiell toxischen Proteinen, einen deutlichen Nervenzellverlust, reaktive Gewebeveränderungen und altersbedingte Gefäßveränderungen, die zu Blutungen im Gehirn und Störungen der Bluthirnschranke führen.
Es gelang nun den Forscher*innen mit neuartigen, hochauflösenden Mikroskopiertechniken das etwa 245 Jahre alte Gehirn des Grönlandhais detailliert zu untersuchen und mit denen von Menschen mit Parkinson und Alzheimer zu vergleichen. „Überaschenderwiese fanden wir im Gehirn des Hais, der sich in seinem 3. Lebensjahrhundert befand, keine altersbedingten Veränderungen, wie wir sie vom Menschen kennen“, wie Dr. Daniel Erny, Neuropathologe und Erstautor vom Institut für Neuropathologie des Universitätsklinikums Freiburg, hinweist. „Da diese Tiere sehr zurückgezogen in einer größeren Tiefe leben, sich extrem langsam fortbewegen, einen sehr reduzierten Stoffwechsel haben und außergewöhnlich langsam wachsen, kann das bloße chronologische Alter nicht mehr als Hauptrisiko für neurodegenerative Veränderungen gelten. Vielmehr sind neben genetischen Faktoren auch Umwelteinflüsse und speziespezifische Faktoren entscheidend.“ Welche es nun genau sind, wollen die Forscher in zukünftigen Studien untersuchen.
Originaltitel der Studie: Neuropathological evaluation of a vertebrate brain aged 245 years.
DOI: doi: 10.1007/s00401-020-02237-4
Wissenschaftlicher Ansprechpartner:
Prof. Dr. Marco Prinz
Institut für Neuropathologie
Universitätsklinikum Freiburg
Telefon: 0761 270-51060
marco.prinz@uniklinik-freiburg.de
Originalpublikation:
Originaltitel der Studie: Neuropathological evaluation of a vertebrate brain aged 245 years.
DOI: 10.1007/s00401-020-02237-4
Weitere Informationen:
https://link.springer.com/article/10.1007/s00401-020-02237-4 Link zur Studie
Die semantisch ähnlichsten Pressemitteilungen im idw