Wie Humane Papillomviren den Energiestoffwechsel infizierter Zellen manipulieren und damit die Krebsentstehung ankurbeln
Humane Papillomviren (HPV) sind ursächlich für genitale Krebsarten und Kopf-Hals-Tumoren. Außerdem verursachen sie den weißen Hautkrebs. Wie HPV-Proteine den Stoffwechsel der Wirtszelle kapern, um den Energiebedarf für die Virusvermehrung zu decken, und wie dies die Tumorentstehung begünstigt, ist jedoch nur unzureichend verstanden. Die Arbeitsgruppe um Prof. Dr. Baki Akgül vom Institut für Virologie der Uniklinik Köln konnte nun im Rahmen eines von der Wilhelm Sander-Stiftung geförderten Forschungsprojektes zeigen, dass HPV insbesondere auf einen Enzymkomplex der zellulären Energiegewinnung, die mitochondriale ATP-Synthase, Einfluss nimmt und so den Energiestoffwechsel antreiben kann.
Humane Papillomviren (HPV) sind Auslöser von Gebärmutterhals-, Penis- und Anal-Karzinomen, sowie deren Krebsvorstufen. Außerhalb der Genitalregion sind HPV mit der Entstehung von Hautkrebs und Karzinomen des Kopf-Hals-Bereiches, speziell des Oropharynx assoziiert, welcher die Rachenmandeln und den Zungengrund umfasst. Hier wird insbesondere der HPV-Typ 16 (HPV16) gefunden, der ein besonders hohes onkogenes Potenzial besitzt. Die Hauptrisikofaktoren bei HPV-negativen Oropharynxkarzinomen sind Tabak- und Alkoholkonsum, während bei HPV-positiven Tumoren, die krebserregenden Eigenschaften der viralen Proteine E6 und E7 direkte Auslöser für die Entstehung der jeweiligen Karzinome sind. Interessanterweise sprechen HPV-positive Oropharynxkarzinome gut auf moderne Therapien an, und haben auch eine deutlich bessere Überlebensprognose.
Die Art und Weise, wie HPV-Proteine den Metabolismus der Wirtszelle kapern, um den Energiebedarf für die Vermehrung von Viruspartikeln zu decken, und wie dies die Tumorentstehung begünstigt, ist bisher jedoch nur unzureichend verstanden.
Im Rahmen eines von der Wilhelm-Sander Stiftung geförderten Forschungsprojektes konnten Wissenschaftler* um Prof. Dr. Baki Akgül vom Institut für Virologie der Uniklinik Köln zeigen, dass das HPV-Onkoprotein E7 direkt mit der mitochondrialen ATP-Synthase – insbesondere der Untereinheit ATP5B – interagiert. Die ATP-Synthase ist ein Enzymkomplex der zellulären Energiegewinnung und eine Art „Energieturbine“, die in den Mitochondrien – den Kraftwerken der Zelle – verankert ist, und aus Adenosindiphosphat (ADP) und einem anorganischen Phosphat-Molekül das Adenosintriphosphat (ATP) bildet, welches als Hauptenergiespeicher innerhalb der Zelle dient. „Unsere Untersuchungen zeigen, dass ATP5B interessanterweise sowohl von E7-Proteinen der hautinfizierenden HPV-Typen gebunden wird, als auch von HPV-Typen, die mit gutartigen oder bösartigen Schleimhaut-Tumoren assoziiert sind. ATP5B könnte somit ein wichtiges konserviertes Zielmolekül von HPV in infizierten Zellen darstellen“, erläutert Erstautor Matthias Kirschberg die Ergebnisse der Studie, die jüngst in der renommierten Fachzeitschrift Scientific Reports (Kirschberg M et al., 2020, Sci Rep.) veröffentlicht wurden.
Um die Auswirkung dieser Bindung auf den Energiestoffwechsel der Zelle zu charakterisieren, führten die Wissenschaftler unter anderem Messungen in HPV-positiven Zellen durch. „Die Bindung von E7 an ATP5B führt zu einem Anstieg des Grundenergielevels und zusätzlich zu einem dramatischen Anstieg der Energiebereitstellungskapazität in den Mitochondrien. Mit anderen Worten: HPV scheint über die Bindung an ATP5B das Energieniveau der infizierten Zelle zu erhöhen, was für die virale Vermehrung eine große Rolle spielen könnte“, so Baki Akgül.
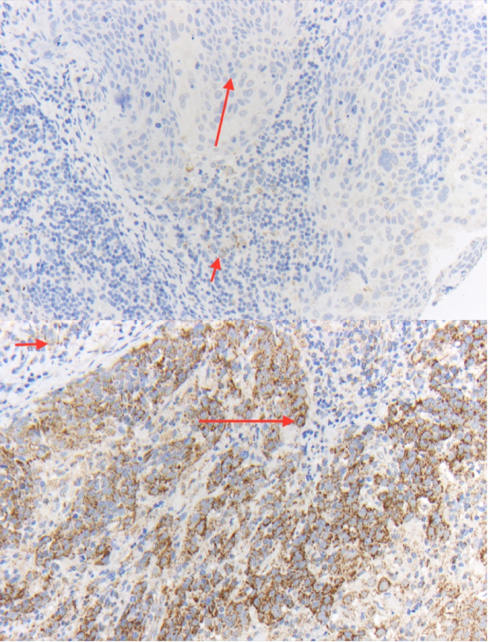
Um die Signifikanz dieser Beobachtung auch im Zusammenhang mit der Tumorentwicklung zu analysieren, untersuchten die Forscher zudem insgesamt 150 HPV-positive bzw. HPV-negative Kopf-Hals-Karzinome. Hier wurde eine verstärkte Expression von ATP5B in HPV-positiven Karzinomen beobachtet, wohingegen in HPV-negativen Karzinomen keine oder nur eine sehr schwache Färbung für ATP5B gezeigt werden konnte (siehe Abbildung). Interessanterweise, korrelierte eine ATP5B-Expression in HPV-positiven Karzinomen mit einer besseren Überlebenswahrscheinlichkeit – ein Effekt, der in HPV-negativen Karzinomen nicht zu beobachten war.
Diese neuartigen Befunde liefern Hinweise darauf, dass HPV massiv in den Energiestoffwechsel der Wirtszelle eingreift, was nicht nur für den viralen Lebenszyklus und die HPV-vermittelte Tumorentstehung wichtig sein könnte, sondern auch für die Einschätzung des möglichen Krankheitsverlaufs. Daher wollen die Wissenschaftler um Baki Akgül diesen Zusammenhängen in anschließenden Forschungsprojekten weiter auf den Grund gehen.
* Die in diesem Text verwendeten Genderbegriffe vertreten alle Geschlechtsformen.
Ergänzung zur Abbildung:
Immunhistochemische Färbung von ATP5B für HPV-negative (oben) und HPV16-positive (unten) Oropharynxkarzinome. Die langen Pfeile markieren die Karzinomzellen, die kurzen Pfeile die On-Slide-Kontrolle in umliegenden Entzündungszellen (Vergrößerung: 200x).
Wilhelm Sander-Stiftung: Partner innovativer Krebsforschung
Die Wilhelm Sander-Stiftung unterstützt dieses Forschungsprojekt nun bereits in der vierten Förderphase mit insgesamt rund 360.000 Euro. Stiftungszweck ist die Förderung der medizinischen Forschung, insbesondere von Projekten im Rahmen der Krebsbekämpfung. Seit Gründung der Stiftung wurden insgesamt rund 245 Millionen Euro für die Forschungsförderung in Deutschland und der Schweiz ausbezahlt. Damit ist die Wilhelm Sander-Stiftung eine der bedeutendsten privaten Forschungsstiftungen im deutschen Raum. Sie ging aus dem Nachlass des gleichnamigen Unternehmers hervor, der 1973 verstorben ist.
Kontakt:
Henrike Boden
Wilhelm Sander-Stiftung
Presse- und Öffentlichkeitsarbeit & Stiftungskommunikation
Tel.: +49 (0) 89 544187-0
Fax: +49 (0) 89 544187-20
E-Mail: boden@sanst.de
Christoph Wanko
Uniklinik Köln
Stellvertretender Pressesprecher
Tel.: +49 (0) 221 478-5548
Fax: +49 (0) 221 478-5151
E-Mail: presse@uk-koeln.de
Wissenschaftlicher Ansprechpartner:
Univ.-Prof. Dr. Baki Akgül
Institut für Virologie
Uniklinik Köln
Fürst-Pückler-Str. 56
50935 Köln
E-Mail: baki.akguel@uk-koeln.de
http://virologie.uk-koeln.de/profile/baki_akguel
Originalpublikation:
Kirschberg M, Heuser S, Marcuzzi GP, Hufbauer M, Seeger JM, Đukić A, Tomaić V, Majewski S, Wagner S, Wittekindt C, Würdemann N, Klussmann JP, Quaas A, Kashkar H, Akgül B. ATP synthase modulation leads to an increase of spare respiratory capacity in HPV associated cancers. Sci Rep. 2020 Oct 15;10(1):17339. doi: 10.1038/s41598-020-74311-6.
https://www.nature.com/articles/s41598-020-74311-6
Weitere Informationen:
https://wilhelm-sander-stiftung.de/
https://www.uk-koeln.de/uniklinik-koeln/presse-mediathek/presse/
Die semantisch ähnlichsten Pressemitteilungen im idw