Kürzere Bestrahlungsdauer, gleichwertiges Behandlungsergebnis
Behandlungsstudie unter Heidelberger Federführung zeigt, dass intensivere, dafür kürzere Bestrahlungstherapie nach Brustkrebs-OP ebenso wirksam ist wie Standardtherapie / Ergebnisse sind im International Journal of Radiation Oncology • Biology • Physics erschienen
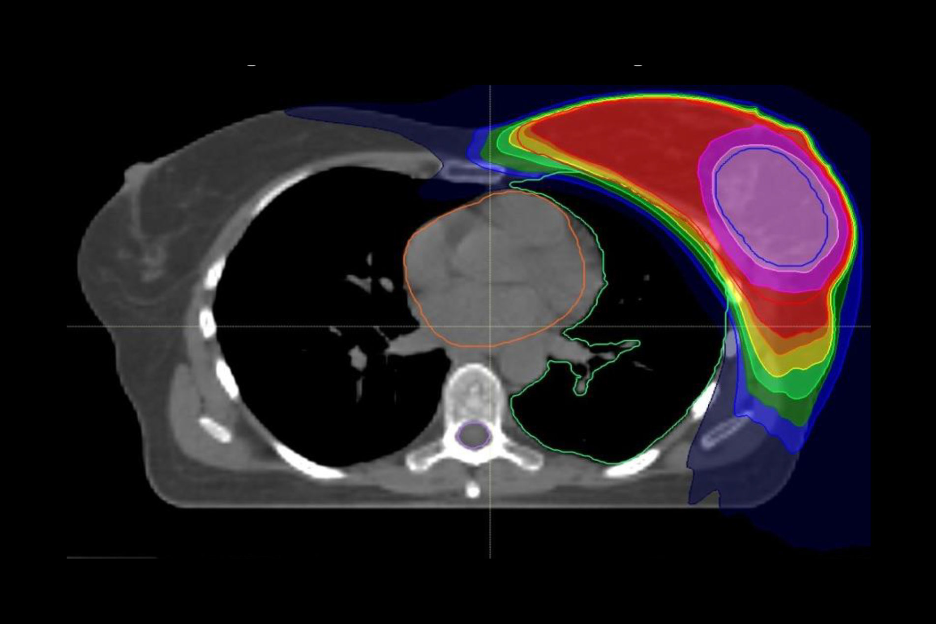
Nach der Brustkrebs-OP wird in der Regel zusätzlich zur Bestrahlung der gesamten Brust die unmittelbare Umgebung des entfernten Tumors gesondert intensiv bestrahlt. Diese „Boost“-Bestrahlung muss allerdings nicht zwangsläufig – wie bisher empfohlen – im Anschluss an die mehrwöchige Bestrahlung stattfinden. Sie ist ebenso wirksam, wenn sie simultan in ein modernes Bestrahlungskonzept integriert wird, wie eine im International Journal of Radiation Oncolocy • Biology • Physics veröffentlichte Studie unter Leitung der Radiologischen Universitätsklinik Heidelberg ergeben hat. Durch die integrierte Boost-Bestrahlung verkürzt sich die Strahlentherapie um rund 10 Tage auf fünf Wochen. Während der Nachbeobachtungszeit von fünf Jahren war das neue Bestrahlungskonzept in Behandlungs- und kosmetischem Ergebnis der Standartbehandlung gleichwertig. „Die kürzere Bestrahlungszeit ist für die Patientinnen eine deutliche Erleichterung und damit im Hinblick auf die Lebensqualität im Vorteil“, sagt Erstautorin Privatdozentin Dr. Juliane Hörner-Rieber, Geschäftsführende Oberärztin der Abteilung Radioonkologie und Strahlentherapie an der Radiologischen Universitätsklinik Heidelberg.
Die vom Bundesministerium für Bildung und Forschung geförderte Studie ist eine Kooperation der Universitätskliniken Heidelberg und Tübingen. An beiden Standorten wurden zwischen 2011 und 2015 insgesamt 502 Brustkrebs-Patientinnen nach brusterhaltender Operation und mit erhöhtem Risiko für ein Wiederauftreten des Tumors in die Studie eingeschlossen. Die Zuteilung zu den beiden Behandlungsgruppen erfolgte zufällig.
Die aktuellen Leitlinien der Amerikanischen Gesellschaft für Radioonkologie (ASTRO) zur Strahlentherapie bei Brustkrebs empfehlen bislang noch die anschließende Boost-Bestrahlung. „Das liegt daran, dass es bisher noch keine belastbaren Daten zur Bewertung des integrierten Boosts gab“, so Professor Dr. Dr. Jürgen Debus, Ärztlicher Direktor der Radiologischen Universitätsklinik und Letztautor der Studie. „Unsere Ergebnisse sind ein erster wichtiger Schritt zur evidenzbasierten Aktualisierung der Leitlinien.“ Insbesondere moderne Bestrahlungstechniken wie die sogenannte Intensitätsmodulierte Radiotherapie (IMRT), bei der Risikoorgane bestmöglich geschont werden können, haben der neuen Entwicklung den Weg geebnet. Inwieweit sich die Ergebnisse auf die seit rund drei Jahren zunehmend angewandte, verkürzte Radiotherapie der Brust übertragen lassen, ist Gegenstand aktueller Studien.
In der COSMOPOLITAN-Studie unter Heidelberger Leitung wird eine weitere, drastische Verkürzung der Bestrahlungszeit untersucht: Dabei erhalten die Patientinnen mit Niedrigrisikotumor die Bestrahlung unmittelbar während der Operation als einmalige intraoperative Bestrahlung des Tumorbettes. Die Studie läuft bis 2023, erste Ergebnisse liegen voraussichtlich 2024 vor.
Wissenschaftlicher Ansprechpartner:
Priv.-Doz. Dr. Juliane Hörner-Rieber
Geschäftsführende Oberärztin
Abteilung Radioonkologie und Strahlentherapie
Radiologische Universitätsklinik Heidelberg
E-Mail: juliane.hoerner-rieber@med.uni-heidelberg.de
Originalpublikation:
Please cite this article as: Hörner-Rieber J, Forster T, Hommertgen A, Haefner MF, Arians N, König
L, Harrabi SB, Schlampp I, Weykamp F, Lischalk JW, Heinrich V, Weidner N, Hüsing J, Sohn C, Heil
J, Hof H, Krug D, Debus J, Intensity-modulated radiotherapy (IMRT) with simultaneously integrated
boost shortens treatment time and is non-inferior to conventional radiotherapy followed by sequential
boost in adjuvant breast cancer treatment: results of a large randomized phase III trial (IMRT-MC2 trial), International Journal of Radiation Oncology • Biology • Physics (2021). https://doi.org/10.1016/j.ijrobp.2020.12.005.
Weitere Informationen:
https://www.klinikum.uni-heidelberg.de/radiologische-klinik/radioonkologie-und-strahlentherapie
Die semantisch ähnlichsten Pressemitteilungen im idw