Bauchspeicheldrüsenkrebs: PRMT1 unterstützt Prognose
Das Enzym PRMT1 zeigt an, wie gut die Überlebenschancen für Patientinnen und Patienten stehen, die an Bauchspeicheldrüsenkrebs erkrankt sind. Das haben die Teams um die Marburger Molekularbiologieprofessorin Dr. Uta-Maria Bauer und den Marburger Medizinprofessor Dr. Detlef Bartsch herausgefunden, indem sie Erkenntnisse aus der molekularen Grundlagenforschung und der klinischen Forschung zusammenführten. Liegt viel PRMT1 im Tumorgewebe vor, so verbessert dies die Langzeitprognose der Betroffenen nach einer Operation und Chemotherapie deutlich. Die Wissenschaftlerinnen und Wissenschaftler berichten in der Fachzeitschrift „EMBO Journal“ über ihre Ergebnisse.
Stehen Zellen unter Stress, so verfügen sie über eine drastische Möglichkeit, zu reagieren: Die Zellen schalten dann ein Programm an, das zu ihrem eigenen Tod führt. So aktiviert das Protein p14ARF dieses Programm, um Tumore zu unterdrücken. „Wir haben entdeckt, dass der Krebshemmer p14ARF mit dem Enzym PRMT1 zusammenwirkt“, erklärt Uta-Maria Bauer, die Leiterin der Studie. „Unsere Daten belegen einen bislang unbekannten Mechanismus, mit dem die beiden Moleküle bei zellulärem Stress, beispielsweise Chemotherapie, den programmierten Tod von menschlichen Zellen steuern.“
Die Klinische Forschungsgruppe KFO325 zum Pankreastumor an der Philipps-Universität bot den beiden Teams die Möglichkeit, molekulare und klinische Daten zusammenzuführen, um die Wechselwirkung der Moleküle und deren Folgen zu charakterisieren. Den Resultaten zufolge kann das Enzym PRMT1 zu einem Therapieerfolg von Bauchspeicheldrüsenkrebs beitragen, indem es die Funktion des Proteins p14ARF unterstützt. PRMT1 verändert das Protein chemisch an vier Stellen, woraufhin dieses aus dem Zellkern ins Zytoplasma der Zelle gelangt und den Zelltod auslöst.
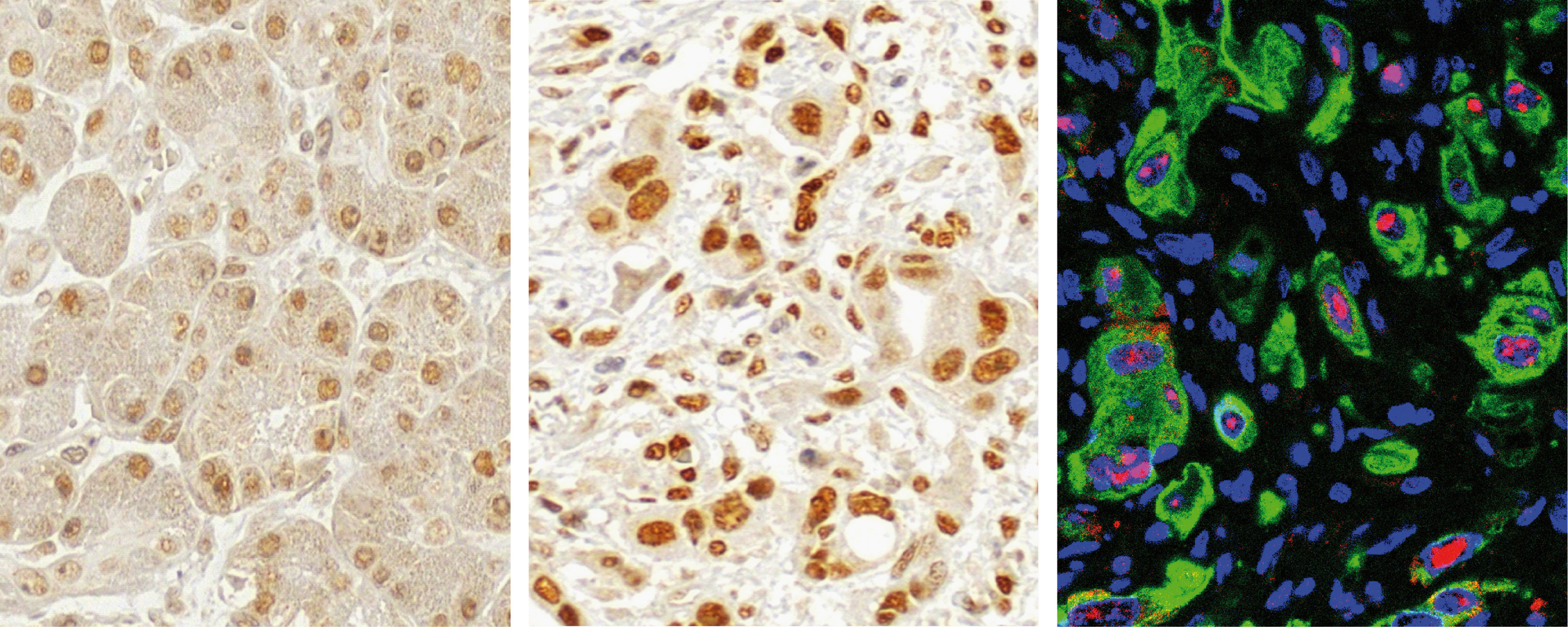
Was bedeutet dies für die klinische Praxis? Um das herauszufinden, untersuchten die Arbeitsgruppen Gewebeproben von Pankreastumoren, die von Patientinnen und Patienten stammen, die nach der Operation eine Chemotherapie erhielten. 45 Prozent der Proben zeigten eine stark erhöhte Konzentration des PRMT1-Enzyms, bei 32 Prozent war sie erhöht, nur bei 23 Prozent entsprach sie der normalen Konzentration in krebsfreiem Bauchspeicheldrüsengewebe.
„Die erhöhte Konzentration geht im Zusammenspiel mit anderen Molekülen, wie p14ARF, mit einem längeren Überleben einher“, ergänzt Detlef Bartsch, Direktor der Klinik für Visceral-, Thorax- und Gefäßchirurgie am Universitätsklinikum Marburg: Bei denjenigen, die nach der Operation länger als zwei Jahre überlebten, zeigten nur 19 Prozent eine normale PRMT1-Konzentration, vier Fünftel wiesen hingegen einen erhöhten Enzymgehalt im Tumorgewebe auf. „Alles in allem zeigen unsere Daten, dass es sich bei PRMT1 um ein therapeutisch wichtiges Molekül mit Vorhersagekraft bei Bauchspeicheldrüsenkrebs handelt“, fasst Uta-Maria Bauer zusammen.
Krebsmedizin an der Schnittstelle zwischen Grundlagenforschung und Patientenversorgung gehört zu den Forschungsschwerpunkten der Universität Marburg. Uta-Maria Bauer lehrt Biochemie und Molekularbiologie am Fachbereichs Medizin der Philipps-Universität und leitet eine Arbeitsgruppe am Institut für Molekularbiologie und Tumorforschung. Neben den Teams von Bauer und Bartsch beteiligten sich zahlreiche weitere Wissenschaftlerinnen und Wissenschaftler aus Marburg, Berlin und München an der Studie. Die Deutsche Forschungsgemeinschaft förderte die wissenschaftliche Arbeit finanziell.
Originalveröffentlichung: Antje Repenning, Daniela Happel & al.: PRMT1 promotes the tumor suppressor function of p14ARF and is indicative for pancreatic cancer prognosis, EMBO Journal 2021, DOI: www.embopress.org/doi/10.15252/embj.2020106777
Weitere Informationen:
Ansprechpartnerin:
Professorin Dr. Uta-Maria Bauer
Institut für Molekularbiologie und Tumorforschung (IMT)
Tel.: 06421 28-65325
E-Mail: bauer@imt.uni-marburg.de
Die semantisch ähnlichsten Pressemitteilungen im idw