Millionenförderung für Bekämpfung der Flussblindheit
Die Bill & Melinda Gates-Stiftung fördert ein Projekt zur Künstlichen Intelligenz an der Universität Bonn.
Das Institut für Medizinische Mikrobiologie, Immunologie und Parasitologie der Universität Bonn erhält eine Projektförderung der Bill & Melinda Gates-Stiftung in Höhe von 1,48 Millionen US-Dollar. Zusammen mit der internationalen IT-Beratung Capgemini und der Drugs for Neglected Diseases Initiative (DNDi) in Genf entwickeln die Forscher eine Technologie, mit der sich die Flussblindheit, die durch parasitischen Würmer verursacht wird, besser bekämpfen lassen soll. Mithilfe Künstlicher Intelligenz sollen Schnitte von Wurmknoten im Gewebe maschinell ausgelesen und damit Wirkstofftests standardisiert und deutlich beschleunigt werden.
Die Flussblindheit (Onchozerkose) ist vor allem in Afrika sowie Mittel- und Südamerika verbreitet. Blutsaugende Kriebelmücken nehmen von erkrankten Menschen Wurmlarven auf und verbreiten sie weiter. Daraus entwickeln sich geschlechtsreife Fadenwürmer, die sich als Parasiten im Bindegewebe einnisten und so genannte Mikrofilarien produzieren. Sind die Augen davon betroffen, kann dies zur Erblindung führen. Der Begriff “Flussblindheit” lässt sich darauf zurückführen, dass sich die Erkrankung in der Nähe von Fließgewässern häuft, weil dort die Larven der Kriebelmücke aufwachsen.
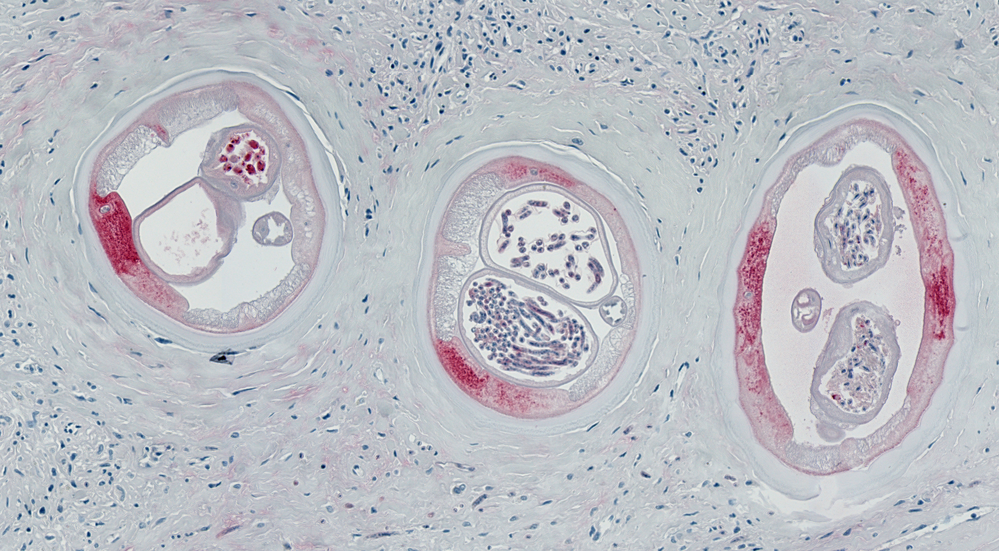
Die ausgewachsenen, bis zu 30 Zentimeter langen weiblichen Würmer leben meist in Knoten (Onchozerkomen) in der Unterhaut; von im Körper umherwandernden Männchen werden sie befruchtet. In den Onchozerkomen tragen die Weibchen Wurmlarven (Mikrofilarien) aus. “Diesen ganzen Prozess kann man unter dem Mikroskop anhand von histologischen Proben nachweisen”, sagt Prof. Dr. Achim Hörauf, Direktor des Instituts für Medizinische Mikrobiologie, Immunologie und Parasitologie (IMMIP) des Universitätsklinikums Bonn (UKB). Die Wirkung neuer Medikamente, die die Würmer in unterschiedlichen Stadien hemmen oder abtöten können, muss deshalb auch anhand histologischer Proben bestätigt werden.
Künstliche Intelligenz ersetzt Untersuchungen “von Hand”
Bislang werden diese histologischen Untersuchungen zur Flussblindheit manuell durchgeführt. “Für die Zulassung neuer Medikamente ist es aber besser, wenn die Qualität der Untersuchung durch Künstliche Intelligenz standardisiert werden kann”, sagt Hörauf. Anhand von Gewebeschnitten, die zuvor von mehreren Experten beurteilt wurden, werden KI-Modelle trainiert und die Genauigkeit der automatischen Auswertung überprüft.
“Der Vorteil Künstlicher Intelligenz ist neben der Standardisierung, dass die automatisierte Auswertung der histologischen Schnittbilder viel schneller geht, als dies händisch möglich wäre. Die Auswertung von klinischen Studien kann so teilweise um Monate verkürzt werden”, sagt Dr. Daniel Kühlwein von dem AI Center of Excellence der IT-Beratung Capgemini, die die Algorithmen entwickelt.
“Dr. Ute Klarmann-Schulz und Dr. Janina Kühlwein vom IMMIP haben ganz wesentlich zur Durchführung der bisherigen Arbeiten und der Antragsstellung beigetragen”, sagt Hörauf, der auch Mitglied im Exzellenzcluster Immunosensation2 und im Transdisziplinären Forschungsbereich (TRA) “Leben und Gesundheit” der Universität Bonn ist. Ein wichtiges Ziel der TRA ist es, Forschung an der Schnittstelle zwischen Biomedizin und künstlicher Intelligenz voranzutreiben. Beteiligt ist auch die Drugs for Neglected Diseases Initiative (DNDi) in Genf, die die Ergebnisse der Künstlichen Intelligenz im Zuge der Zulassungsstudien für neue Medikamente gegen Flussblindheit evaluieren wird. „Für unser Team wäre es ein toller Erfolg, wenn wir so zur Bekämpfung der Onchozerkose beitragen könnten“, fügt Klarmann-Schulz hinzu.
Die Wissenschaftler am UKB hatten bereits einen Seedgrant der Bill & Melinda Gates Foundation erhalten, der die prinzipielle Machbarkeit des Projekts gezeigt hat. Daraufhin hat die Gates-Stiftung die Bonner zur Bewerbung für eine weitere Förderung aufgefordert. “Da bisher noch kein Medikament entwickelt wurde, das die erwachsenen Filarien-Würmer angreift, betreten wir hier Neuland”, sagt Hörauf. Bislang zugelassene Medikamente töten lediglich die Wurmlarven ab. Die Wissenschaftler des IMMIP haben bisher mehrere neue Wirkstoffe zur Behandlung der Flussblindheit entdeckt und waren an der präklinischen Entwicklung dieser Wirkstoffe beteiligt.
“Die Medizinische Fakultät der Universität Bonn freut sich über die Einwerbung dieses selten vergebenen Grants der Bill & Melinda Gates Foundation durch die Wissenschaftler des Instituts für Medizinische Mikrobiologie, Immunologie und Parasitologie”, sagt Dekan Prof. Dr. Bernd Weber. “Das stärkt die internationale Sichtbarkeit des Standortes Bonn im Zusammenhang mit der Bekämpfung vernachlässigter Tropenkrankheiten.
Wissenschaftlicher Ansprechpartner:
Prof. Dr. Achim Hörauf
Direktor des Instituts für Medizinische Mikrobiologie, Immunologie und Parasitologie (IMMIP)
Universitätsklinikums Bonn
Tel. 0228/28715675
E-Mail: hoerauf@uni-bonn.de
Die semantisch ähnlichsten Pressemitteilungen im idw