Akademische Ausbildung kann Hirnalterung günstig beeinflussen
Eine gute Ausbildung und lebenslanges Lernen tragen auch im hohen Alter Früchte: Erste Befunde einer Langzeitstudie zeigen, dass bei Akademikerinnen und Akademikern gewisse Degenerationsprozesse im Gehirn weniger stark voranschreiten. Altersbedingte kognitive und neuronale Einschränkungen werden besser kompensiert.
Eine gute Ausbildung gilt als sinnvolle Strategie, um beruflich erfolgreich zu sein und die eigene Persönlichkeit zu entfalten. Aber kann Bildung auch günstige Einflüsse auf die Hirnalterung ent-falten? Dieser Frage ging ein Längsschnittprojekt des universitären Forschungsschwerpunkts «Dynamik des gesunden Alterns» unter der Leitung von Lutz Jäncke, Professor für Neuropsycho-logie an der Universität Zürich, nach.
Das Forschungsteam begleitete über sieben Jahren lang mehr als 200 Seniorinnen und Senioren, die nicht dement, durchschnittlich bis überdurchschnittlich intelligent und sozial sehr aktiv sind. In regelmässigen Abständen wurden sie mittels Magnetresonanztomographie neuroanatomisch sowie neuropsychologisch untersucht. Anhand von aufwendigen statistischen Analysen konnte nun gezeigt werden, dass eine akademische Ausbildung eine geringere altersbedingte Hirnde-generation begünstigt.
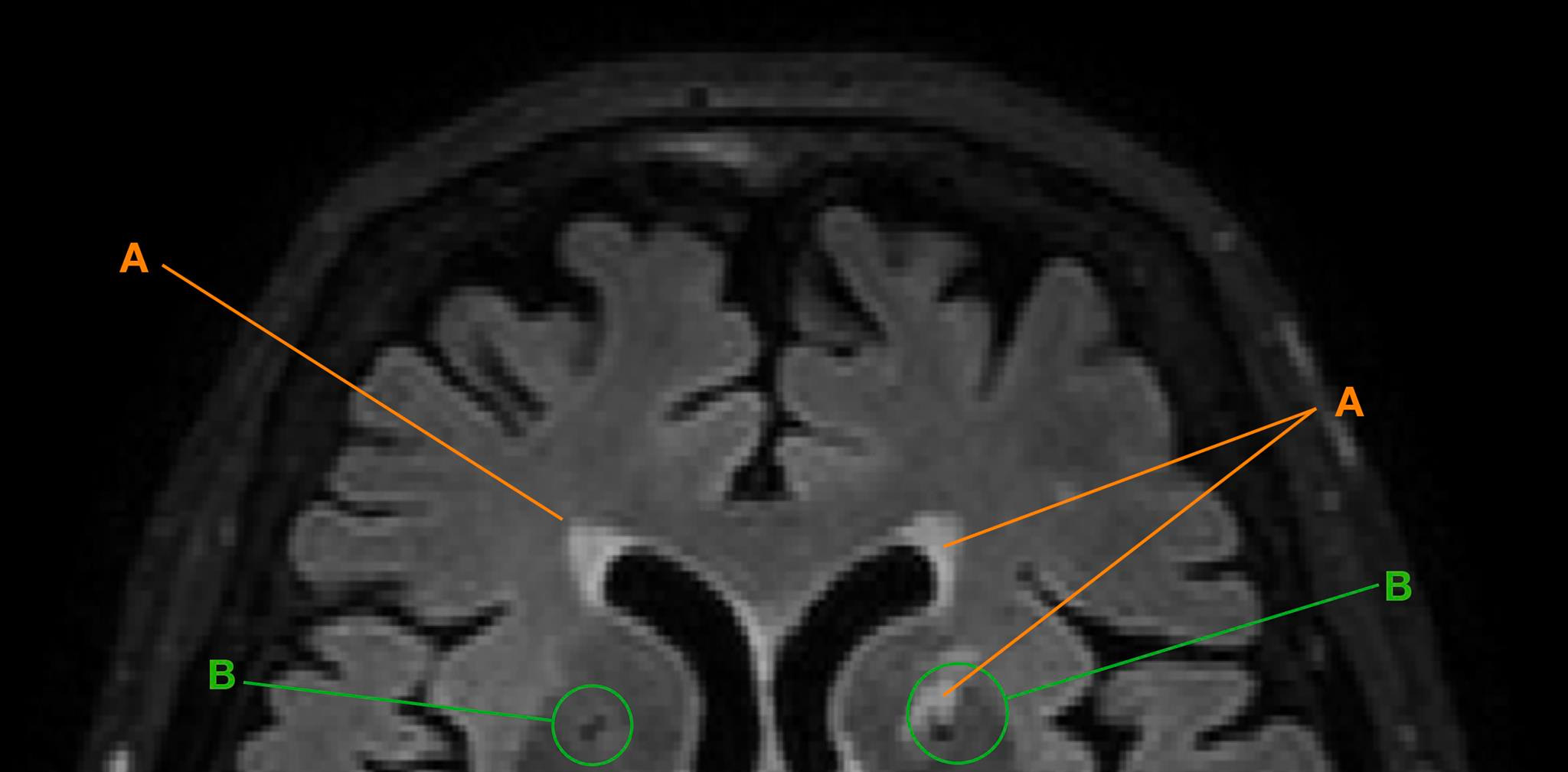
Hirnzerfall durch weisse Flecken oder schwarze Löcher
Die Erstautorin Isabel Hotz vermass im Rahmen ihrer Doktorarbeit mit teilweise neuen, automati-sierten Methoden sogenannte Lakunen und Hyperintensitäten der weissen Hirnsubstanz. Diese Degenerationsprozesse zeigten sich als «weisse Flecken» oder «schwarze Löcher» auf den digi-talen Aufnahmen. Die Ursachen dafür sind nicht eindeutig bekannt und können in kleinen, nicht bemerkten Hirn-infarkten, einer geringeren Durchblutung oder im Abbau von Nervenbahnen und -zellen liegen. In der Folge können Einschränkungen kognitiver Leistungen auftreten, vor allem dann, wenn dieser Zerfall an strategisch wichtigen Stellen des Gehirns auftritt.
Die Befunde zeigen, dass Seniorinnen und Senioren mit einer akademischen Ausbildung im Ver-lauf der sieben Jahre eine deutlich geringere Zunahme dieser typischen Hirndegenerationszei-chen aufweisen. «Darüber hinaus waren Akademikerinnen und Akademiker auch in der Verarbei-tungsgeschwindigkeit schneller und genauer – zum Beispiel beim Vergleich von Buchstaben, Zahlen oder Mustern. Sie offenbarten insgesamt eine geringere Leistungsabnahme in diesem wichtigen psychischen Verarbeitungsprozess», fasst Hotz zusammen.
Reserven werden angezapft
Damit ergänzen diese Befunde erste Hinweise anderer Forschungsgruppen, dass Bildung einen günstigen Einfluss auf die Hirnalterung hat. Frühere Studien zeigten zudem, dass die Verarbei-tungsgeschwindigkeit von der Integrität der im Hirn verteilter neuronaler Netzwerke abhängt. Wer-den diese in Mitleidenschaft gezogen, sinkt die Verarbeitungsgeschwindigkeit.
Auch wenn noch kein kausaler Mechanismus zwischen Bildung und geringerer natürlicher Hirn-degeneration gefunden wurde, liegt zumindest ein Zusammenhang nah: «Wir vermuten, dass eine gute Ausbildung im Laufe des Lebens zu einer Zunahme der neuronalen und kognitiven Netzwerke führt und damit Reserven aufbaut. Im Alter können dann eintretende Hirnbeeinträchti-gungen besser kompensiert werden», sagt Neuropsychologe Lutz Jäncke. Möglich sei auch, dass ein Gehirn, das bis ins hohe Alter geistig rege bleibt, weniger anfällig für Degenerationspro-zesse ist. Dies müsse allerdings im weiteren Verlauf der noch andauernden Längsschnittstudie überprüft werden, so der Forscher.
https://www.dynage.uzh.ch/de.html
Wissenschaftlicher Ansprechpartner:
Prof. Dr. Lutz Jäncke
Neuropsychologie
Institut für Psychologie
Universität Zürich
Tel. +41 44 635 74 01
E-Mail: l.jaencke@psychologie.uzh.ch
Originalpublikation:
Literatur:
Hotz, I., Deschwanden P., Merillat S., Liem F., Kollias S., Jäncke L. (2021). Associations of sub-clinical cerebral small vessel disease and processing speed in non-demented subjects: A 7-year study. NeuroImage: Clinical, 32, 102884. https://doi.org/10.1016/j.nicl.2021.10288432, 102884 (2021).
Weitere Informationen:
https://www.media.uzh.ch/de/medienmitteilungen/2021/Hirnalterung.html
Die semantisch ähnlichsten Pressemitteilungen im idw