Augenbewegungen beim Blinzeln messen
Forscher der Westfälischen Wilhelms-Universität (WWU) Münster konnten zum ersten Mal die vollständige Augenbewegung beim Blinzeln messen. Die Analyse der Augenbewegung beruht auf der Magnetresonanztomographie (MRT), die einen Querschnitt und nicht nur den vorderen Teil des Auges vermisst. Dies ermöglicht erstmals Messungen bei geschlossenem Auge.
Forscher der Westfälischen Wilhelms-Universität (WWU) Münster konnten zum ersten Mal die vollständige Augenbewegung beim Blinzeln messen. Die Analyse der Augenbewegung beruht auf der Magnetresonanztomographie (MRT), die einen Querschnitt und nicht nur den vorderen Teil des Auges vermisst. Dies ermöglicht erstmals Messungen bei geschlossenem Auge, die zusätzliche Betrachtung der Augenmuskulatur und komplette Verschiebungen oder Deformationen des Augapfels zu messen. Die Studie über das neu entwickelte Verfahren ist in der Fachzeitschrift „eNeuro“ erschienen.
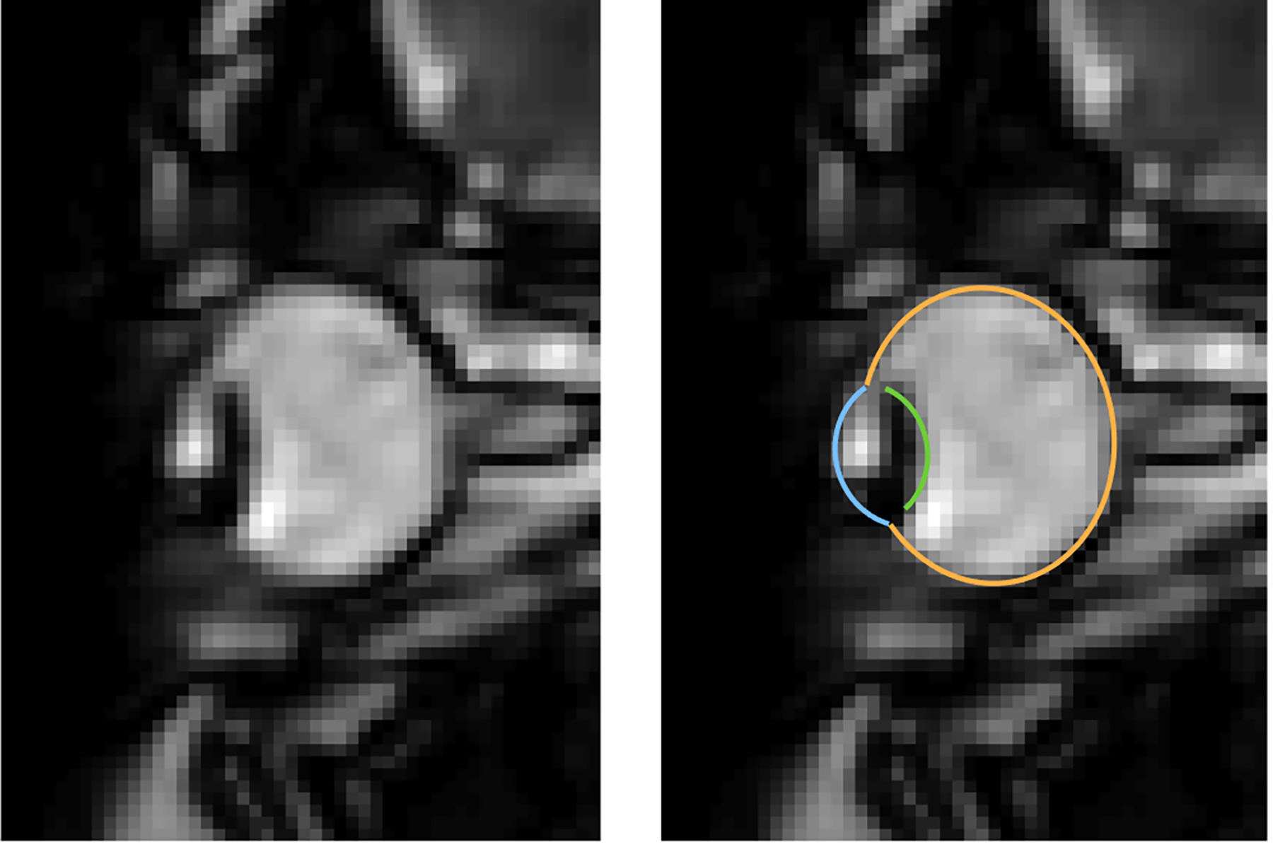
Augenbewegungen werden typischerweise mit sogenannten Eyetrackern gemessen, also Hochgeschwindigkeitskameras, die die Position der Pupille filmen. Einige Aspekte von Augenbewegungen lassen sich damit jedoch nicht messen. „Es ist uns gelungen, ein Verfahren zu entwickeln, das Augenbewegungen in bisher unerreichter zeitlicher Auflösung mit Echtzeit-MRT-Sequenzen misst. So konnten wir mit unserer Methode zum Beispiel zeigen, dass der komplette Augapfel beim Blinzeln in die Augenhöhle zurückgezogen wird“, erläutert Autor Johannes Kirchner, wissenschaftlicher Mitarbeiter am Institut für Psychologie der WWU. Die Methode haben die WWU-Wissenschaftler mit der Co-Autorin Prof. Dr. Tamara Watson von der Western Sydney University entwickelt.
Methode
MRT ist ein relativ langsames Verfahren, die zeitliche Auflösung bewegt sich normalerweise im Bereich von Sekunden oder Minuten. Augenbewegung hingegen sind schnell und dauern typischerweise nur ein paar Dutzend Millisekunden an. Entwicklungen in den vergangenen zehn Jahren haben es jedoch ermöglicht, 2-D-MRT-Aufnahmen mit bis zu 20 Millisekunden zeitlicher Auflösung zu produzieren. Diese ultraschnellen Verfahren kommen vor allem bei der Herzbildgebung zum Einsatz und werden bislang nicht auf die Messung von Augenbewegungen angewandt. „In unseren Aufnahmen haben wir eine zeitliche Auflösung von etwa 35 Millisekunden erzielt. Da bei einer gesamten Messzeit von ein paar Minuten mehr als 10.000 Bilder entstehen, braucht man, um tatsächliches Eyetracking zu betreiben, einen vollautomatischen Algorithmus, um diese Daten auszuwerten“, schildert Mitautor Prof. Dr. Markus Lappe, Leiter des Lehrstuhls für Allgemeine Psychologie und kognitive Neurowissenschaften am Institut für Psychologie der WWU. „Mit ‚MREyeTrack’ haben wir einen solchen sogenannten Segmentierungsalgorithmus entwickelt, der es erstmals ermöglicht, vollautomatisch Position und Orientierung des Auges in jedem einzelnen Bild zu analysieren.“
Das MRT-basierte Verfahren ist im Vergleich mit dem kamerabasierten Verfahren kostenintensiver, die zeitliche Auflösung der Bilder ist deutlich schlechter. „Allerdings könnte die MR-basierte Analyse gerade im klinischen Kontext von Interesse sein und bisher unentdeckte Aspekte von Augenbewegungsstörungen sichtbar machen. Der MREyeTrack-Algorithmus könnte prinzipiell auch in anderen gängigen MRT-Sequenzen zum Einsatz kommen, in denen die Segmentierung des Auges wichtig ist. In der fMRT-Forschung könnte so zum Beispiel auf die Nutzung eines zusätzlichen Eyetrackers verzichtet werden”, betont Johannes Kirchner.
Förderung
Die Studie ist Teil des internationalen Projekts „Platypus“, das durch das EU-Förderprogramm „Horizont 2020“ im Rahmen von Marie-Skodowska-Curie-Finanzmaßnahmen gefördert wird.
Wissenschaftlicher Ansprechpartner:
Johannes Kirchner
Institut für Psychologie, Allgemeine Psychologie I
Tel: +49 251 83 34178
Fax: +49 251 83 34173
E-Mail: j_kirc08@uni-muenster.de
Originalpublikation:
Kirchner, Watson, Lappe (2021), Real-time MRI reveals unique insight into the full kinematics of eye movements. eNeuro, DOI: https://doi.org/10.1523/ENEURO.0357-21.2021
Weitere Informationen:
https://www.eneuro.org/content/early/2021/12/06/ENEURO.0357-21.2021 Originalpublikation in „eNeuro“
https://github.com/JohannesKirchner/MREyeTrack-Dem Code des MREyeTrack-Algorithmus
https://www.uni-muenster.de/PsyIFP/AELappe/personen/johanneskirchner.html Johannes Kirchner an der WWU
https://www.uni-muenster.de/PsyIFP/AELappe/personen/lappe.html Prof. Dr. Markus Lappe an der WWU
Ähnliche Pressemitteilungen im idw