Eye provides clues to insidious vascular disease
Researchers at the University and the University Hospital of Bonn have developed a method that could be used to diagnose atherosclerosis. Using self-learning software, they were able to identify vascular changes in patients with peripheral arterial disease (PAD), often at an early stage. Although these early stages do not yet cause symptoms, they are nevertheless already associated with increased mortality. The algorithm used photos from an organ not normally associated with PAD: the eye. The results have now been published in the journal Scientific Reports.
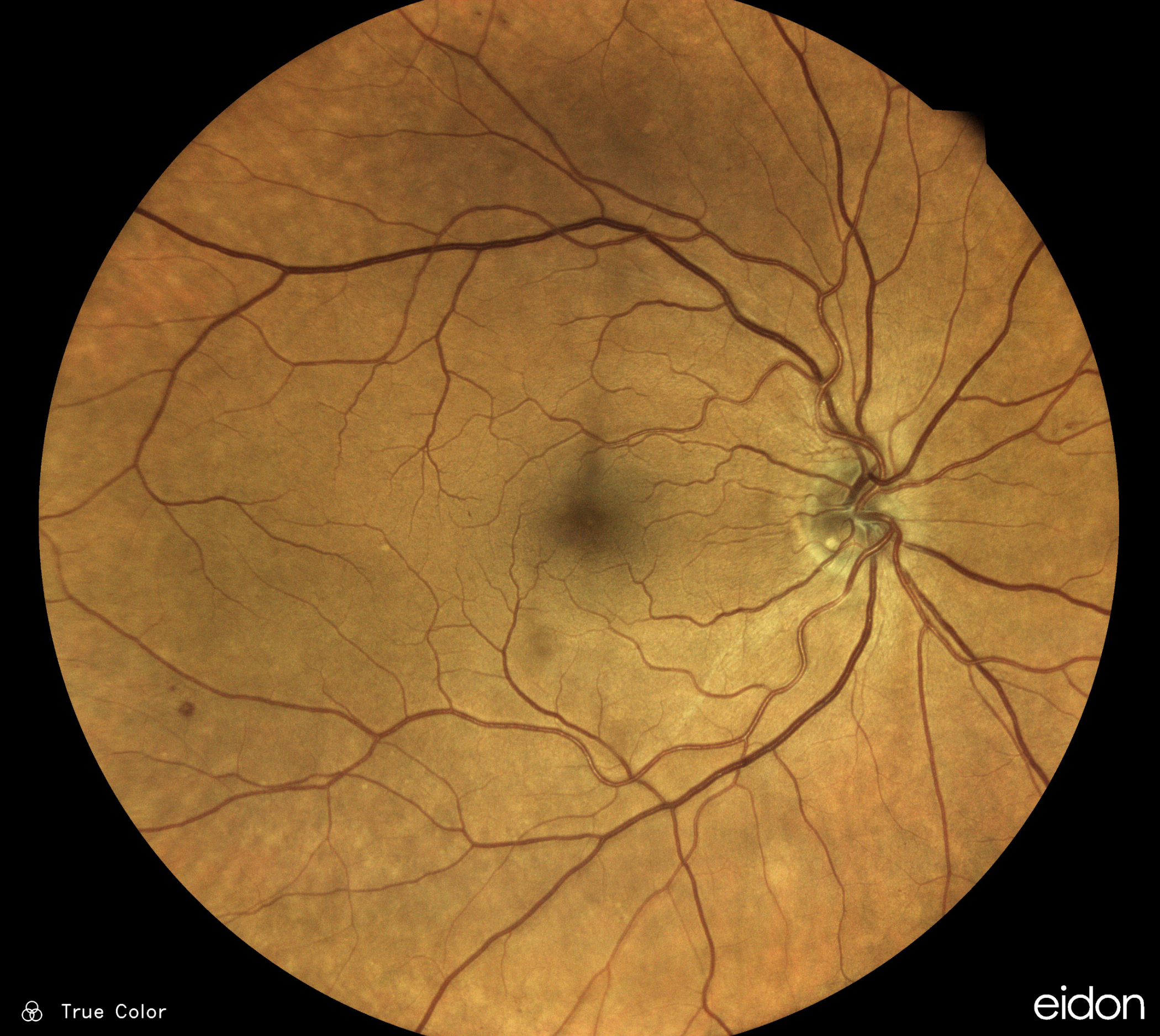
Poets consider the eyes a window to the soul. But more prosaically, they could also be called windows to our vessels. The fundus of the eye is very well supplied with blood. It has to be, so that the more than 100 million photoreceptors in the retina and the nerve cells connected to them can do their work. At the same time, the arteries and veins can be observed and photographed through the pupil without much effort.
It may be possible to detect early signs of atherosclerosis (hardening of the arteries) with such an examination in the future. In this case, chronic remodeling processes lead to narrowing of the vessels and hardening of the affected arteries. It is the main cause of heart attacks and strokes, the most frequent causes of death in western industrialized nations, as well as peripheral arterial disease (PAD).
More than four million people in this country suffer from PAD. "Because it usually does not cause any symptoms in the first few years, the diagnosis is often only made when secondary damage has already occurred," explains Dr. Nadjib Schahab, head of the angiology section and one of the authors of the study. "The consequences can be dramatic. In the long term, progressive circulatory problems in the legs and arms may even result in amputation. In addition, the risk of a fatal heart attack or stroke is significantly increased - even in the early stages of the disease."
Early diagnosis is therefore very important in order to be able to treat those affected in time. The interdisciplinary project of the Department of Informatics at the University of Bonn and the Department of Ophthalmology and the Heart Center of the University Hospital Bonn starts exactly there. "We photographed 97 eyes of women and men who suffered from PAD," explains Dr. Maximilian Wintergerst from the University Eye Hospital in Bonn. "In more than half of them, the disease was still at a stage where it did not cause any symptoms." In addition, the team took camera images of the background of 34 eyes of healthy control subjects.
Neural network detects early vascular changes
They then used the images to feed a convolutional neural network (CNN). This is software that is modeled on the human brain in the way it works. If such a CNN is trained with photos whose content is known to the computer, it can later recognize the content of unknown photos. For this to work with sufficient certainty, however, one normally needs several tens of thousands of training photos - far more than were available in the study.
"We therefore first carried out a pre-training with another disease that attacks the vessels in the eye," explains Prof. Dr. Thomas Schultz from the Bonn-Aachen International Center for Information Technology (b-it) and the Institute for Computer Science II at the University of Bonn. To do this, the researchers used a dataset of more than 80,000 additional photos. "In a sense, the algorithm learns from them what to pay particular attention to," says Schultz, who is also a member of the Transdisciplinary Research Areas "Modeling" and "Life and Health" at the University of Bonn. "We therefore also speak of transfer learning."
The CNN trained in this way was able to diagnose with remarkable accuracy whether the eye photos came from a PAD patient or a healthy person. "A good 80 percent of all affected individuals were correctly identified, if we took into account 20 percent false positives - that is, healthy individuals whom the algorithm incorrectly classified as sick," Schultz explains. "That's amazing, because even for trained ophthalmologists, PAD can't be detected from fundus images."
In further analyses, the researchers were able to show that the neural network pays particular attention to the large vessels in the back of the eye during its assessment. For the best possible result, however, the method needed digital images with a sufficiently high resolution. "Many CNNs work with very low-resolution photos," Schultz says. "That is sufficient to detect major changes. For our PAD classification, on the other hand, we need a resolution at which details of the vascular structures remain discernible."
The researchers hope to further improve the performance of their method in the future. To do so, they plan to cooperate with ophthalmology and vascular medicine centers worldwide that will provide them with additional fundus images of affected individuals. The long-term goal is to develop a simple, rapid and reliable diagnostic method that does not require concomitant procedures such as the administration of eye drops.
Participating institutions:
The B-IT and Institute for Informatics II of the University of Bonn, the University Eye Hospital Bonn and the Clinic for Cardiology and Angiology at the University Hospital Bonn were involved in the study.
Wissenschaftlicher Ansprechpartner:
Prof. Dr. Thomas Schultz
Bonn-Aachen International Center for Information Technology (B-IT) and Institute for Computer Science II of the University of Bonn
Phone +49-228-7369140
E-mail: schultz@cs.uni-bonn.de
Dr. Maximilian W. M. Wintergerst
University Eye Hospital Bonn
Phone +49-228-28715505
E-mail: Maximilian.Wintergerst@ukbonn.de
Priv.-Doz. Dr. Nadjib Shahab
Head of Angiology Section
Heart Center of the University Hospital Bonn
Phone +49-228-28712703
E-mail: nadjib.schahab@ukbonn.de
Originalpublikation:
Mueller, S., Wintergerst, M.W.M., Falahat, P. et al. Multiple instance learning detects peripheral arterial disease from high-resolution color fundus photography. Sci Rep 12, 1389 (2022). https://doi.org/10.1038/s41598-022-05169-z
Die semantisch ähnlichsten Pressemitteilungen im idw