Computersimulation ermöglicht Prognose des Heilungsverlaufs von Knochenbrüchen
Bei fünf bis zehn Prozent der Patient*innen, die einen Knochenbruch erleiden, verläuft die Heilung nicht ohne Komplikationen. Es ist daher von großer Bedeutung, Komplikationen bei der Frakturheilung frühzeitig zu erkennen. Im Rahmen einer Studie am Universitätsklinikum Ulm (UKU) ermöglichte nun eine Computersimulation, den Heilungsverlauf für eine optimale Frakturversorgung vorauszusagen. Durch den Vergleich von Simulationsergebnissen mit den tatsächlichen Heilungsverläufen der Patient*innen konnten wertvolle Erkenntnisse für die Weiterentwicklung des Heilungsmodells gewonnen werden sowie darüber, ob eine patientenspezifische Prognose der Knochenheilung möglich ist.
Durchgeführt wurde die Studie von einem Projektteam aus Wissenschaftler*innen und Ärzt*innen der universitären Ausgründung der Uni Ulm „OSORA Medical Fracture Analytics“ und der Klinik für Unfall-, Hand-, Plastische und Wiederherstellungschirurgie des UKU.
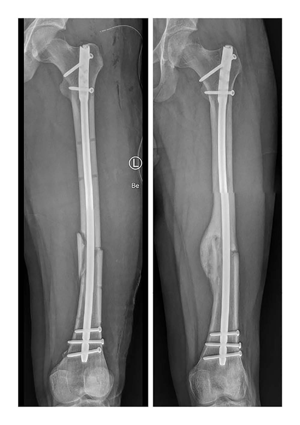
Für die Simulation wurden die klinischen Daten von 36 Patient*innen rückblickend analysiert. Diese hatten sich einen Schaftbruch des Oberschenkelknochens zugezogen, der durch die Implantation von Marknägeln versorgt worden war. Mithilfe von postoperativen Daten konnte die Computersimulation das Heilungsergebnis von 30 Fällen korrekt vorhersagen. „Bisherige Studien zum Ulmer Frakturheilungsmodell basierten auf Daten aus Tierversuchen oder aus Versuchen unter Laborbedingungen. Die Kooperation mit dem UKU hat es uns nun ermöglicht, das Heilungsmodell erstmalig mit klinischen Daten zu testen. So konnten wir den Prototypen des Softwaretools weiterentwickeln“, sagt Dr. Lucas Engelhardt von OSORA. „Das Heilungsmodell ist nicht nur in der Lage, Informationen zu erfolgreichen Heilungsverläufen zu generieren. Es wird ebenso zukünftig möglich sein, das Risiko für Komplikationen bis hin zu Pseudoarthrosen – also knöchernen Fehlheilungen – zu kalkulieren“, ergänzt Dr. Frank Niemeyer, ebenfalls von OSORA. Unter Berücksichtigung von patientenindividuellen Parametern, wie Größe und Gewicht, und Begleiterkrankungen, wie Osteoporose oder Adipositas, können dann Behandlungswege für jeden Patienten und jede Patientin individuell erstellt werden. Die Simulation unterstützt so die ärztliche Expertise durch Informationen zur Belastungsfähigkeit des Knochens während der Heilung.
Lediglich in sechs Fällen – von denen zwei Knochenbrüche geheilt und vier nicht geheilt waren – war die Prognose der Computersimulation nicht korrekt. „Jeder Patient heilt anders, jede Fraktur hat ihre Besonderheiten. Wir können aus den Daten ableiten, warum die Simulation in diesen Fällen nicht den realen Frakturheilungsverlauf abbildet, um neben der Biomechanik weitere Einflüsse auf das Knochenwachstum im Modell mit zu berücksichtigen. Diese Informationen sind für die weitere Entwicklung unserer Softwareplattform von größter Bedeutung, um die Präzision der Vorhersage kontinuierlich zu erhöhen“, erklärt Dr. Lucas Engelhardt.
„Die chirurgische Versorgung von Frakturen durch Osteosynthese – also die operative Verbindung von zwei oder mehr Knochen oder Knochenfragmenten – ist ein elementarer Baustein in der Therapie unserer Patienten. Je früher Einflussfaktoren erkannt werden, die den Heilungserfolg gefährden, desto mehr Spielraum hat der behandelnde Arzt für Anpassungen des Therapieplans. Mit der biomechanischen Analyse und Simulation des Heilungsverlaufs kann zukünftig ein weiteres Hilfsmittel die Behandlungsmöglichkeiten ergänzen und Ärztinnen und Ärzte unterstützen“, so PD. Dr. med. Konrad Schütze, Oberarzt an der Klinik für Unfall-, Hand-, Plastische und Wiederherstellungschirurgie.
Steigende Bedeutung digitaler Tools in der Frakturversorgung
„Die Frakturheilungssimulation hat zunächst großes Potenzial im digitalen Workflow des Behandlungspfades und wäre eine sinnvolle Ergänzung in einem digitalisierten Krankenhaus. Gleichzeitig hat sie große Bedeutung bei der Früherkennung eines abweichenden Heilungsverlaufes“, betont Prof. Dr. med. Florian Gebhard, Ärztlicher Direktor der Klinik für Unfall-, Hand-, Plastische und Wiederherstellungschirurgie.
Der Transfer der Knochenheilungssimulation in ein kommerzialisierbares Produkt ist Mission des Startups OSORA. Für die Positionierung des Produkts ist das Team auf das Feedback von potenziellen Nutzer*innen angewiesen, um in den kommenden Entwicklungsschritten noch besser auf die ärztlichen Bedürfnisse einzugehen. Auf dem Deutschen Kongress für Orthopädie und Unfallchirurgie vom 25.-28.10.2022 wird das Projektteam die Ergebnisse der Studie dem Fachpublikum präsentieren.
Für die Anwendung in Forschung und Lehre steht das Softwaretool von OSORA bereits jetzt zur Verfügung. So wird es ab dem kommenden Wintersemester erstmalig in der Lehre an der Universität Ulm und der Technischen Hochschule Ulm eingesetzt. Für den medizinischen und ingenieurswissenschaftlichen Nachwuchs steht somit ein digitales Tool zur Vermittlung des Zusammenhangs von Biomechanik und Knochenheilung zur Verfügung.
Die semantisch ähnlichsten Pressemitteilungen im idw