Neuer SFB an der Universitätsmedizin Mainz soll Grundlage für maßgeschneiderte Immuntherapien schaffen
Unter Federführung der Universitätsmedizin Mainz startet der heute von der Deutschen Forschungsgemeinschaft (DFG) bewilligte Sonderforschungsbereichs/Transregio (SFB/TRR) 355 „Heterogenität und funktionelle Spezialisierung regulatorischer T-Zellen in unterschiedlichen Mikromilieus“. Der SFB erforscht die Rolle von regulatorischen T (Treg)-Zellen bei immunologischen und gewebespezifische Erkrankungen. Das Ziel: Treg-Zellen für die Entwicklung maßgeschneiderter Immuntherapien sowie für die Geweberegeneration einsetzen zu können. Als Kooperationspartner sind die Ludwigs-Maximilians-Universität München und die Technische Universität München an dem transregionalen SFB beteiligt.
Deutsche Forschungsgemeinschaft fördert SFB/TRR 355 mit rund 13 Millionen Euro / Zwei weitere Mainzer biomedizinische SFBs ebenfalls bewilligt
Die Deutsche Forschungsgemeinschaft (DFG) hat die Einrichtung und Förderung des Sonderforschungsbereichs/Transregio (SFB/TRR) 355 „Heterogenität und funktionelle Spezialisierung regulatorischer T-Zellen in unterschiedlichen Mikromilieus“ bewilligt. Unter Federführung der Universitätsmedizin Mainz erforscht der SFB, wie sogenannte regulatorische T (Treg)-Zellen immunologische und gewebespezifische Erkrankungen beeinflussen. Ausgehend von diesen Erkenntnissen könnten zukünftig mithilfe von Treg-Zellen maßgeschneiderte Immuntherapien entwickelt werden. Als Kooperationspartner sind die Ludwigs-Maximilians-Universität München und die Technische Universität München an dem transregionalen SFB beteiligt. Für die vier Jahre der ersten Förderperiode erhält der SFB/TRR 355 rund 13 Millionen Euro.
Der Vorstandsvorsitzende und Medizinische Vorstand der Universitätsmedizin Mainz,
Univ.-Prof. Dr. Norbert Pfeiffer, freut sich über Entscheidung der DFG: „Die Universitätsmedizin Mainz ist jetzt an insgesamt elf Sonderforschungsbereichen beteiligt. Bei drei SFBs liegt die Sprecherschaft bei uns. Damit sind wir eine Universitätsklinik mit besonders vielen SFB-Beteiligungen. Das ist ein hervorragender Erfolg und ein Aushängeschild für unsere exzellente Forschung, die wir auch direkt in die Krankenversorgung umsetzen.“
Der neu bewilligte SFB/TRR 355 untersucht die Rolle von sogenannten regulatorischen T-Zellen bei immunbedingten und gewebespezifischen Erkrankungen. Regulatorische T (Treg)-Zellen steuern maßgeblich die Immunantwort mit. Fehlende oder defekte Treg-Zellen können zu Autoimmunität führen. Eine übermäßige Aktivität der Treg-Zellen kann dagegen wichtige Immunreaktionen, wie zum Beispiel gegen Krankheitserreger, beeinträchtigen. Treg-Zellen sind zudem in die funktionelle Architektur verschiedener Gewebe integriert. Trotz einiger Gemeinsamkeiten weisen Treg-Zellen abhängig von ihrer Funktion auch wesentliche Unterschiede auf. Der neue SFB erforscht diese Heterogenität der Treg-Zellen. Das Ziel: Treg-Zellen für die Entwicklung maßgeschneiderter Immuntherapien sowie für die Geweberegeneration einsetzen zu können.
Der Sprecher des SFB/TRR 355 und Leiter des Instituts für Molekulare Medizin der Universitätsmedizin Mainz, Univ.-Prof. Dr. Ari Waisman, erläutert: „Wir untersuchen die Voraussetzungen und Folgen der Heterogenität und funktionellen Spezialisierung von Treg-Zellen in einer Vielzahl von gewebe- und krankheitsspezifischen Fragestellungen. Neben der Funktion von Treg-Zellen bei Immun- bzw. Autoimmunreaktionen, nehmen wir auch das zentrale Nervensystem sowie verschiedene Gewebe und Organe, wie zum Beispiel die Muskeln, die Lunge und den Darm unter die Lupe. Dabei sollen die relevanten Moleküle und Mechanismen identifiziert werden, bei der ein Treg-Zell-gerichteter Therapieansatz geeignet sein könnte. Mit diesen Erkenntnissen könnten wir das volle Potential der Treg-Zellen ausschöpfen – nicht nur für eine maßgeschneiderte Immuntherapie, sondern auch gezielt für gewebespezifische Prozesse wie die Organregeneration.“
Die Universitätsmedizin Mainz kooperiert im SFB/TRR 355 mit der Ludwigs-Maximilians-Universität München und der Technischen Universität München. Von den insgesamt 22 Projekten des SFBs sind 13 an der Universitätsmedizin Mainz verortet. Neben dem Institut für Molekulare Medizin sind auch das Institut für Immunologie, das Institut für Medizinische Mikrobiologie und Hygiene, die Klinik und Poliklinik für Neurologie, die Hautklinik und Poliklinik, das Centrum für Thrombose und Hämostase (CTH) sowie das Institut für Translationale Immunologie der Universitätsmedizin Mainz an dem interdisziplinären Forschungsvorhaben beteiligt.
Dies sei ein sehr guter Tag für die biomedizinische Forschung an der Universitätsmedizin Mainz und an der Johannes Gutenberg-Universität Mainz betont Univ.-Prof. Dr. Ulrich Förstermann, Wissenschaftlicher Vorstand und Dekan der Universitätsmedizin Mainz: „Der SFB/TRR 355 stärkt noch einmal den Forschungsschwerpunkt Immunologie der Universitätsmedizin Mainz. Er ist der dritte immunologische SFB der Universitätsmedizin Mainz und deckt einen weiteren wichtigen Aspekt ab, der für die moderne Immuntherapie von großer Bedeutung sein kann. Ich bin überzeugt, dass unsere Wissenschaftlerinnen und Wissenschaftler zukunftsweisende Erkenntnisse für den Einsatz von regulatorischen T-Zellen in der Immuntherapie erlangen werden. Gleichzeitig aber wurden zwei weitere biomedizinische SFBs von der DFG bewilligt beziehungsweise wiederbewilligt, an denen die Universitätsmedizin Mainz mit jeweils mehreren Projekten beteiligt ist. Neu von der DFG eingerichtet wurde der SFB 1551 ‚Polymerkonzepte zum Verstehen zellulärer Funktionen‘ unter der Sprecherschaft der Johannes Gutenberg-Universität Mainz. Der SFB 1361 ‚Regulation von DNA-Reparatur und Genomstabilität‘ geht unter der Leitung des Mainzer Instituts für Molekulare Biologie (IMB) in die zweite Runde.“
Sonderforschungsbereiche ermöglichen die Bearbeitung innovativer, anspruchsvoller und langfristig konzipierter Forschungsvorhaben im Verbund. Sie sollen damit der Schwerpunkt- und Strukturbildung an den antragstellenden Hochschulen dienen. Bei den transregionalen Sonderforschungsbereichen sind mehrere Hochschulen an der Antragstellung beteiligt. Durch die enge Kooperation zwischen diesen Hochschulen soll ein komplementäres und synergistisches Forschungsnetzwerk entstehen. Sonderforschungsbereiche werden für maximal drei Förderperioden von jeweils vier Jahren von der DFG gefördert.
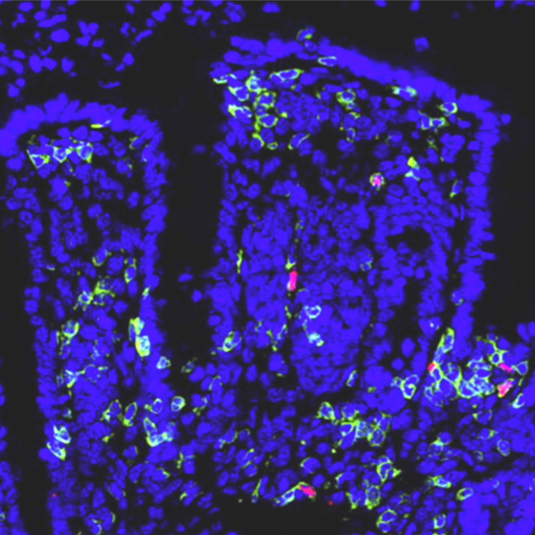
Bildunterschrift: Der neue Sonderforschungsbereich/Transregio 355 der Universitätsmedizin Mainz untersucht den Einfluss von regulatorischen T (Treg)-Zellen auf immunbedingte und gewebespezifische Erkrankungen. Das Ziel ist, Treg-Zellen für eine maßgeschneiderte Therapie einzusetzen. (Das Bild zeigt Zellen aus dem Dickdarm-Gewebe einer Maus. Die Treg-Zellen sind in rot gefärbt.)
Bildquelle: © Universitätsmedizin Mainz / AG Waisman
Kontakt:
Univ.-Prof. Dr. Ari Waisman, Institut für Molekulare Medizin, Universitätsmedizin Mainz,
Telefon 06131 17-9129, E-Mail: waisman@uni-mainz.de
Pressekontakt:
Natkritta Hüppe, Unternehmenskommunikation, Universitätsmedizin Mainz,
Telefon 06131 17-7771, E-Mail: pr@unimedizin-mainz.de
Über die Universitätsmedizin der Johannes Gutenberg-Universität Mainz
Die Universitätsmedizin der Johannes Gutenberg-Universität Mainz ist die einzige medizinische Einrichtung der Supramaximalversorgung in Rheinland-Pfalz und ein international anerkannter Wissenschaftsstandort. Sie umfasst mehr als 60 Kliniken, Institute und Abteilungen, die fächerübergreifend zusammenarbeiten und jährlich mehr als 320.000 Menschen stationär und ambulant versorgen. Hochspezialisierte Patientenversorgung, Forschung und Lehre bilden in der Universitätsmedizin Mainz eine untrennbare Einheit. Mehr als 3.500 Studierende der Medizin und Zahnmedizin sowie rund 700 Fachkräfte in den verschiedensten Gesundheitsfachberufen, kaufmännischen und technischen Berufen werden hier ausgebildet. Mit rund 8.700 Mitarbeitenden ist die Universitätsmedizin Mainz zudem einer der größten Arbeitgeber der Region und ein wichtiger Wachstums- und Innovationsmotor. Weitere Informationen im Internet unter https://www.unimedizin-mainz.de.
Wissenschaftlicher Ansprechpartner:
Univ.-Prof. Dr. Ari Waisman, Institut für Molekulare Medizin, Universitätsmedizin Mainz,
Telefon 06131 17-9129, E-Mail: waisman@uni-mainz.de
Die semantisch ähnlichsten Pressemitteilungen im idw