Depression vor den Tagen: Serotonin-Transporter im Gehirn erhöht
WissenschaftlerInnen um Julia Sacher vom MPI CBS und Osama Sabri vom Universitätsklinikum Leipzig haben in einer aufwendigen Patientinnen-Studie herausgefunden, dass sich der Transport des Botenstoffs Serotonin im Gehirn bei Frauen mit prämenstrueller dysphorischer Störung (PMDS) kurz vor der Menstruation erhöht. Ihre Ergebnisse bilden die Grundlage für eine gezieltere Therapie dieser schweren Form einer depressiven Verstimmung, bei der die Patientinnen nur für wenige Tage Antidepressiva nehmen müssen.
PMS, das prämenstruelle Syndrom, ist mittlerweile vielen ein Begriff – einige Tage vor ihrer Menstruation leiden rund 50 Prozent aller Frauen daran. Die schwerere Form, prämenstruelle Dysphorie genannt, trifft hingegen acht Prozent der Frauen im gebärfähigen Alter und geht mit körperlichen Symptomen wie Schlafstörungen oder Brustschmerzen als auch psychisch-emotionalen Symptomen einher, unter anderem Depressionen, Kontrollverlust, Reizbarkeit, Aggressivität und Konzentrationsstörungen. Viele Frauen mit PMDS können dadurch ihrem Alltag und Beruf nicht mehr nachgehen.
Es wird angenommen, dass PMDS bei betroffenen Frauen vor allem durch eine Überempfindlichkeit auf die normalen Veränderungen der Sexualhormone Östrogen und Progesteron verursacht wird, da deren Konzentrationen in der zweiten Hälfte des Zyklus und nach dem Eisprung stark schwanken. „Wir wissen, dass Östrogen und Progesteron Einfluss auf den Serotoninspiegel haben, welcher sich wiederum direkt auf die Stimmung auswirkt. Bei den Patientinnen mit PMDS scheint die Antwort des Gehirns auf diese Veränderungen im Zyklus falsch reguliert zu werden.“, erklärt Studienleiterin Julia Sacher. Gemeinsam mit den KollegInnen aus der Nuklearmedizin des Universitätsklinikums Leipzig hat sie sich daher genauer angesehen, welche Rolle der Botenstoff Serotonin bei PMDS-Patientinnen im Gehirn spielt.
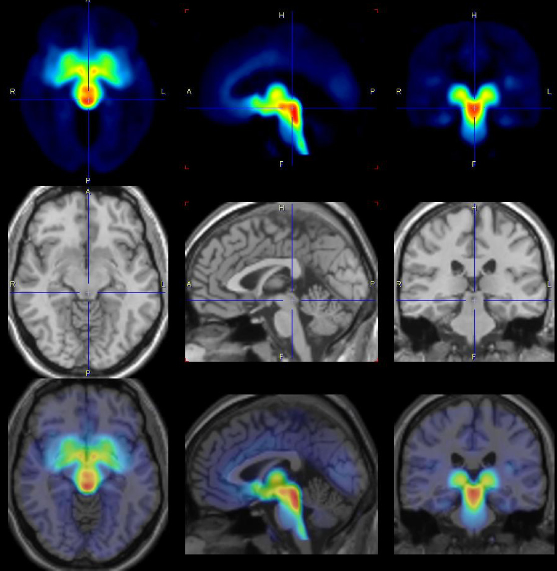
„Wir haben 30 Patientinnen und 29 gesunde Studienteilnehmerinnen über mehrere monatliche Zyklen hinweg untersucht und zu verschiedenen Zykluszeitpunkten Aufnahmen vom Gehirn mit Positronen-Emissions-Tomografie (PET) gemacht. Dabei haben wir herausgefunden, dass vor der Menstruationsblutung die Serotonin-Transporter-Dichte im Gehirn erhöht ist und damit einen Verlust von diesem Botenstoff im synaptischen Spalt begünstigt, der die affektiven Symptome bei den betroffenen Frauen auslösen kann. Dieser Befund ist überraschend, weil man bisher dachte, der Serotonin-Transporter sei ein individuelles Merkmal, das sich in einer derartig kurzen Zeitspanne von zwei Wochen nicht verändert - normalerweise geht man von nur geringfügigen Veränderungen alle 10 Jahre aus.“
Der kurze Veränderungszeitraum kann nun in der Therapie der Symptome von PMDS besser genutzt werden, indem die Patientinnen gezielt über nur wenige Tage Antidepressiva nehmen müssen, die einen Serotonin-Wiederaufnahme-Hemmer als Wirkstoff enthalten. Bislang gingen die meisten Therapie-Empfehlungen von einer längeren Einnahme aus.
Die WissenschaftlerInnen haben zu verschiedenen Zykluszeitpunkten Aufnahmen vom Gehirn der Frauen mit Positronen-Emissions-Tomografie (PET) gemacht.
Auch mit dem Essverhalten lässt sich prinzipiell der Serotoninspiegel beeinflussen, sagt Julia Sacher. „Vorläufer-Substanzen von Serotonin, wie z.B. Tryptophan finden sich beispielsweise in Käse, Geflügel, Soja-Bohnen, Tofu, Nüssen und dunkler Schokolade. Gerade im Winter, wo die verminderten Sonnenstunden und das trübe Wetter noch zusätzlich zur Verschlechterung der Stimmung beitragen können, macht es Sinn, beim Essen etwas darauf zu achten. Auch mit einer Tageslichtlampe kann positiv auf den Serotonin-Haushalt eingewirkt werden. Allerdings erreicht man durch diese Maßnahmen nicht die Konzentrationen, die durch eine medikamentöse Therapie erreicht werden. Hier müsste in zukünftigen Studien noch genauer erforscht werden, wie man über Ernährung und Licht-Therapie gezielt PMDS beeinflussen kann.“
Wissenschaftlicher Ansprechpartner:
Prof. Julia Sacher
Forschungsgruppenleiterin
+49 341 9940-2409
sacher@cbs.mpg.de
Originalpublikation:
Julia Sacher, Rachel G. Zsido, Claudia Barth, Franziska Zientek, Michael Rullmann, Julia Luthardt, Marianne Patt, Georg A. Becker, Pablo Rusjan, A. Veronica Witte, Ralf Regenthal, Abhay Koushik, Juergen Kratzsch, Beate Decker, Petra Jogschies, Arno Villringer, Swen Hesse, Osama Sabri
„Increase in serotonin transporter binding in patients with premenstrual dysphoric disorder across the menstrual cycle: a case-control longitudinal neuroreceptor ligand PET imaging study“
In: Biological Psychiatry
https://www.biologicalpsychiatryjournal.com/article/S0006-3223(23)00005-7/fulltext
Weitere Informationen:
https://www.cbs.mpg.de/2089401/20230127
Die semantisch ähnlichsten Pressemitteilungen im idw