Neuer Ansatz für Test auf Long Covid: Blutgefäße im Auge verändert
Eine standardisierte Augenuntersuchung könnte in Zukunft verraten, ob Menschen unter dem Long-Covid-Syndrom beziehungsweise Post Covid leiden. Ein Team der Technischen Universität München (TUM) konnte einen deutlichen Zusammenhang zwischen der Erkrankung und bestimmten Veränderungen der Äderchen im Auge zeigen.
Zwischen zehn und 35 Prozent der Betroffenen leiden auch lange nach einer Corona-Erkrankung an Symptomen wie Atemproblemen oder Erschöpfung (Fatigue). Bislang sind keine körperlichen Merkmale, sogenannte Biomarker, bekannt, anhand derer sich eine Long-Covid-Erkrankung sicher diagnostizieren lässt.
Eines der Merkmale von Covid-19 sind Veränderungen der Blutgefäße. Betroffen ist hier insbesondere das Endothel, die Gefäßinnenwand. Durch die Veränderungen werden Organe nicht ausreichend mit Blut versorgt.
Kleine Blutgefäße wenig erforscht
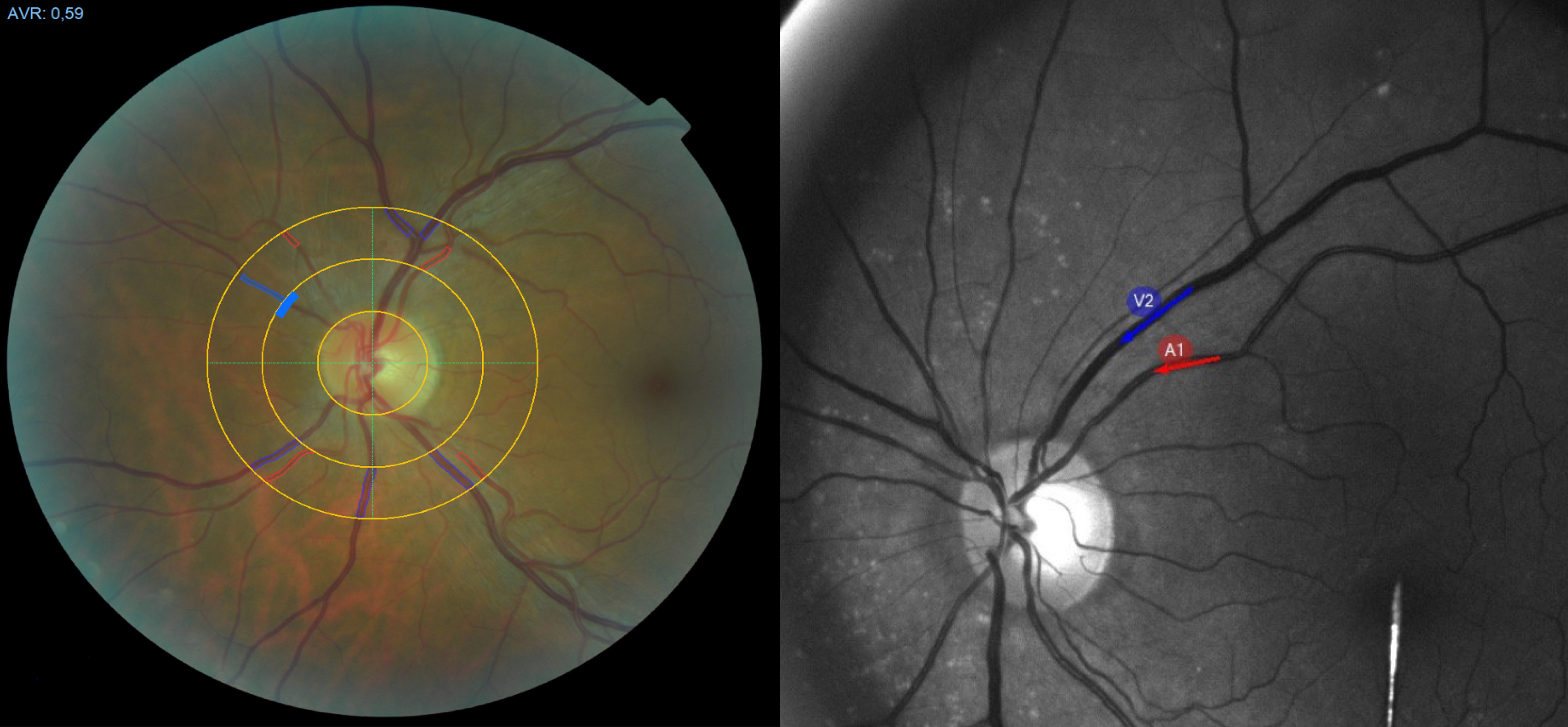
Bislang wurden vor allem große Blutgefäße erforscht. „90 Prozent der Endothelzellen des Körpers befinden sich aber in kleinen und kleinsten Äderchen. Was mit diesen Blutgefäßen bei Long Covid geschieht, ist kaum bekannt“, sagt Studienleiter Prof. Christoph Schmaderer, Geschäftsführender Oberarzt in der Abteilung für Nephrologie des Klinikums rechts der Isar, Universitätsklinikum der TUM.
„Blutgefäße im Auge könnten einen Hinweis auf den Zustand der kleinen Blutgefäße im gesamten Körper bieten“, sagt Schmaderer. Sie seien für Untersuchungen leicht zugänglich, die notwendigen Verfahren und Geräte sind erprobt und erfordern keinen Eingriff in den Körper.
Äderchen sind verengt oder erweitern sich weniger
Im Fachmagazin „Angiogenesis“ schildern Schmaderer, Co-Studienleiter Dr. Timon Kuchler und ihr Team ihre Ergebnisse. Besonders zwei Werte zeigten einen starken Zusammenhang mit Long-Covid-Erkrankungen: Zum einen waren Arteriolen, also kleinste Arterien, im Vergleich zur gesunden Kontrollgruppe deutlich verengt. Zum anderen zeigten Venolen – nicht aber die Arteriolen – eine veränderte Reaktion auf Lichtreize. Leuchtet man mit einem flackernden Licht ins Auge, erweitern sich die Blutgefäße. Bei Patient:innen mit Long Covid war diese Reaktion deutlich verringert.
Je mehr Entzündungsmarker im Blut der Studienteilnehmenden gemessen wurden, desto ausgeprägter waren die Veränderungen. Anhaltende Entzündungsreaktionen sind Studien zufolge vermutlich ein weiterer wichtiger Faktor für Long Covid.
Weitere Studien notwendig
Da die Studie mit 41 teilnehmenden Erkrankten vergleichsweise klein ist und nur in einer einzelnen Klinik durchgeführt wurde, lässt sich aus den Ergebnissen noch kein zuverlässiger Test auf Long Covid ableiten. Aus Sicht der Forschenden sind weitere Studien notwendig um die Ergebnisse zu verifizieren. „Ich bin zuversichtlich, dass auf Grundlage unserer Ergebnisse ein Werkzeug entwickelt werden kann, um Long Covid sicher zu diagnostizieren“, sagt Christoph Schmaderer. „Wir gehen zudem davon aus, dass die Mikrozirkulation nicht nur im Auge, sondern auch in anderen Teilen des Körpers eingeschränkt ist. Dadurch könnte die Methode insbesondere dafür geeignet sein, um die Wirksamkeit zukünftiger Therapien für Long Covid zu beurteilen.“
Weitere Informationen:
Die Studie wurde unter dem Titel "All Eyes on PCS - Analyse der retinalen Mikrogefäßstruktur bei Patienten mit Post-COVID-19-Syndrom" registriert und durch das Bayerische Staatsministerium für Wissenschaft und Kunst finanziert.
Zusatzinformationen für Redaktionen:
Fotos zum Download: https://mediatum.ub.tum.de/1721005
Kontakt im TUM Corporate Communications Center:
Paul Hellmich
Pressereferent
Tel. +49 89 289 22731
presse@tum.de
www.tum.de
Wissenschaftlicher Ansprechpartner:
Prof. Dr. Christoph Schmaderer
Klinikum rechts der Isar der Technischen Universität München
Abteilung für Nephrologie
christoph.schmaderer@mri.tum.de
Originalpublikation:
Kuchler, T., Günthner, R., Ribeiro, A. et al. Persistent endothelial dysfunction in post-COVID-19 syndrome and its associations with symptom severity and chronic inflammation. Angiogenesis (2023). https://doi.org/10.1007/s10456-023-09885-6
Die semantisch ähnlichsten Pressemitteilungen im idw