Kleinhirn: Struktur & Funktion wichtiger hemmender Synapsen entschlüsselt
Ob es darum geht, einen kleinen Gegenstand wie einen Stift aufzuheben oder verschiedene Körperteile zu koordinieren – das Kleinhirn erfüllt im Gehirn wesentliche Funktionen für die Steuerung unserer Bewegungen. Wissenschafter:innen am Institute of Science and Technology Austria (ISTA) untersuchten, wie eine entscheidende Gruppe von Synapsen zwischen Neuronen in diesem Gehirnareal funktioniert und sich entwickelt. Ihre Ergebnisse wurden nun in der Fachzeitschrift Neuron veröffentlicht.
Auch wenn man nicht darüber nachdenkt, benutzt man jeden Tag die komplizierten Schaltkreise der Neuronen in Gehirn, um erstaunlich feine Bewegungen mit dem Körper auszuführen. Das Kleinhirn spielt dabei eine Schlüsselrolle bei feinmotorischer Kontrolle, Koordination und Timing.
„Jedes Mal, wenn ich klettern gehe, nutze ich die komplexen Verbindungen zwischen den Neuronen – die Synapsen – in meinem Kleinhirn. In diesem Projekt wollten wir verstehen, wie sie tatsächlich funktionieren“, bringt Peter Jonas, Magdalena Walz Professor for Life Sciences am Institute of Science and Technology Austria (ISTA), seine Forschung mit seinen Alltagserfahrungen in Verbindung. In einer neuen Studie, die jetzt in der Fachzeitschrift Neuron veröffentlicht wurde, haben die Wissenschafter:innen – unter der Leitung der Doktorandin Jingjing Chen aus Jonas Forschungsgruppe und Walter Kaufmann von der Electron Microscopy Facility des ISTA mit maßgeblicher Unterstützung von ISTA-Professor Ryuichi Shigemoto – einige der zentralen Mechanismen in den Synapsen des Kleinhirns entschlüsselt.
Kontrollierende Synapsen
„Das Kleinhirn erhält viele Signale von anderen Teilen des Gehirns und von sensorischen Systemen, aber seine Ausgangssignale, welche die Bewegungen steuern, laufen alle über eine wichtige Art von Neuron, die Purkinje-Zelle“, erklärt Chen. „Und alle diese Purkinje-Zellen erhalten ihrerseits über ihre Eingangssynapsen viele Signale von anderen Neuronen im Kleinhirn. Wir haben uns eine bestimmte Art von Synapse angesehen, welche die Aktivität der Purkinje-Zellen hemmt und eine entscheidende Rolle bei der Steuerung ihrer Ausgangssignale spielt.“
Die Purkinje-Zellen im Kleinhirn bilden ein Nadelöhr für die Signale der motorischen Steuerung. Aber viele Aspekte, wie dies auf molekularer und zellulärer Ebene geschieht, waren bisher unklar. In ihrer Studie haben die Forscher:innen nun die Details der hemmenden Synapsen dieser Zellen erklärt.
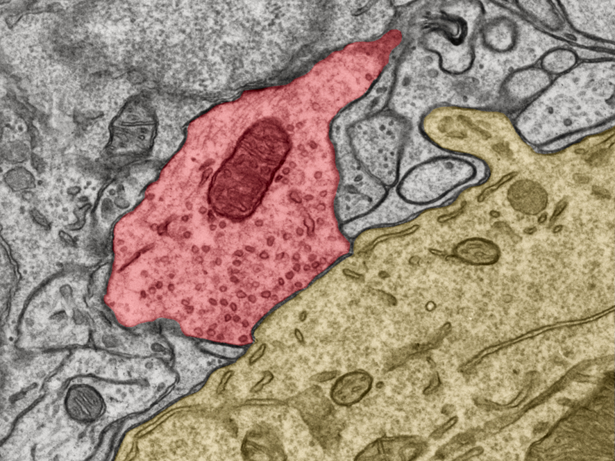
Die Wissenschafter:innen verwendeten subzelluläres Patch-Clamp-Recording, das von einer fortschrittlichen Mikroskopietechnik, der so genannten konfokalen Bildgebung, unterstützt wurde, um die Funktion dieser Synapsen im Detail zu studieren. Parallel dazu untersuchten sie mit Hilfe von Elektronenmikroskopie die Struktur der Synapsen mit der höchstmöglichen Auflösung. Einige der Zellteile sind nur wenige Nanometer – Millionstel eines Millimeters – groß. Chen und ihre Kolleg:innen maßen verschiedene Parametern der Synapsen, beispielsweise wo und wie oft Neurotransmitter freigesetzt werden, sowie die Größe der winzigen Bläschen, welche die Neurotransmitter enthalten, um ein Computermodell des gesamten Prozesses zu erstellen. Sie führten ihre Untersuchungen mit Neuronen aus Gehirnen von Mäusen in verschiedenen Altersstufen durch, um ihre Entwicklung im Laufe der Zeit zu verstehen.
Jonas, der das Computermodell entwickelt hat, fügt hinzu: „Der Aufbau eines Modells ermöglicht es, ein System richtig zu verstehen, und liefert außerdem neue Ideen für künftige Experimente. Man muss jedoch vorsichtig sein und das Modell mit experimentellen Daten auf dem Boden der Realität halten.“
Mit ihrem Computermodell, das die Vorgänge in verschiedenen Entwicklungsstadien vom frühen bis zum erwachsenen Alter simuliert, konnten die Wissenschafter:innen sehen, wie die hemmenden Synapsen der Purkinje-Zellen im Kleinhirn die Ausgangssignale der Zelle beeinflussen und so die Feinsteuerung der motorischen Fähigkeiten ermöglichen.
Wachsende Struktur
„Wir haben festgestellt, dass im frühen Alter alle Mechanismen in der Synapse ziemlich zufällig organisiert sind und in ihren Funktionen nicht so genau sind“, erklärt Kaufmann, der vor etwa zehn Jahren als einer der ersten Staff Scientists ans ISTA kam, die Ergebnisse. „Mit zunehmender Reifung der Neuronen wird die Synapse strukturierter, nähert sich einer viel genaueren Konfiguration an und erreicht dadurch ein höheres Maß an funktioneller Präzision.“ Chen, die nach ihrer Promotion ihre Arbeit zum Kleinhirn fortsetzen will, fügt hinzu: „Das Knifflige war, dass wir die Zellen nicht einfach direkt fragen können, wie sie funktionieren. Stattdessen müssen wir Schnappschüsse – also Messungen – in verschiedenen Entwicklungsstadien machen und daraus auf die Prozesse und die Gesamtstruktur dahinter schließen.“
Das Verständnis dieser Art von Synapsen ist nicht nur ein spannendes Unterfangen für die Grundlagenforschung, sondern könnte Forscher:innen in Zukunft sogar helfen, neurologische Krankheiten zu verstehen, deren Ursache in einer Fehlfunktion von Synapsen im Gehirn vermutet wird.
Jonas fügt hinzu: „Dieses Projekt hat eine Brücke geschlagen zwischen den biophysikalischen Eigenschaften von Synapsen und dem, was wir unter dem Mikroskop tatsächlich beobachten können. Es ist ein großer Schritt vorwärts zum Verständnis der Funktionsweise des Kleinhirns und wie es uns hilft, unsere Bewegungen zu kontrollieren und zu koordinieren. Anfangs schienen die erforderlichen Experimente unmöglich, aber mit der Unterstützung von Ryuichi Shigemoto sowie unseren engagierten Kolleg:innen aus der Jonas Gruppe und den Scientific Service Units ist es uns gelungen, unser Verständnis dieser entscheidenden Synapsen auf den Punkt zu bringen.“
---
Projektförderung
Diese Forschungsarbeit wurde von den Scientific Services Units (SSUs) des ISTA (Electron Microscopy Facility, Preclinical Facility und Machine Shop) unterstützt. Das Projekt wurde vom Europäischen Forschungsrat (ERC) im Rahmen des Forschungs- und Innovationsprogramms Horizont 2020 der Europäischen Union (grant agreement No. 692692), dem FWF – Fonds zur Förderung der Wissenschaftlichen Forschung (Z 312-B27, Wittgenstein Preis; P 36232-B), alle für Peter Jonas., und einem DOC-Stipendium der Österreichischen Akademie der Wissenschaften, für Jingjing Cheng., finanziert.
Information zu Tierversuchen
Um ganzheitlich zu verstehen, wie Gene während der Entwicklung eines Organs (z.B. des Gehirns) agieren, ist es wichtig, ihre Funktion in Mäusen in vivo zu untersuchen. Andere Methoden, wie In-Vitro- oder In-Silico-Modelle, können nicht als Alternativen dienen. Die Tiere werden gemäß der strengen in Österreich geltenden gesetzlichen Richtlinien aufgezogen, gehalten und behandelt. Alle tierexperimentellen Verfahren sind durch das Bundesministerium für Bildung, Wissenschaft und Forschung genehmigt
Originalpublikation:
Chen J., Kaufmann W., Chen C., Arai I., Kim O., Shigemoto R., and Jonas P. 2024. Developmental transformation of Ca2+ channel–vesicle nanotopography at a central GABAergic synapse. Neuron. DOI: https://doi.org/10.1016/j.neuron.2023.12.002
Weitere Informationen:
https://ista.ac.at/de/forschung/jonas-gruppe/ Jonas Gruppe am ISTA
https://ista.ac.at/de/forschung/shigemoto-gruppe/ Shigemoto Gruppe am ISTA
https://ista.ac.at/de/forschung/wissenschaftliche-services/ Electron Microscopy Facility am ISTA
Die semantisch ähnlichsten Pressemitteilungen im idw
