Vereinfachte Diagnose seltener Augenerkrankung - Uveitis-Experten geben Überblick zu einer unterschätzten Bildgebung
Uveitis ist eine seltene entzündliche Augenerkrankung. Vor allem die posteriore und die Panuveitis sind mit einer schlechten Prognose und einem langwierigen Krankheitsverlauf assoziiert. Die Diagnose und das Monitoring können für das ärztliche Fachpersonal herausfordernd sein. Die Fundusautofluoreszenz (FAF) ist ein schnelles und nicht-invasives bildgebendes Verfahren das hierbei unterstützt. Forschende des Universitätsklinikums Bonn und der Universität Bonn haben nun gemeinsam mit Fachleuten aus Berlin, Münster und Mannheim eine Übersichtsarbeit dazu verfasst, wie die FAF die Diagnosestellung und das Monitoring von posteriorer Uveitis und Panuveitis erleichtern kann.
Die Ergebnisse sind jetzt im Fachmagazin „Biomolecules“ erschienen.
Uveitis ist eine seltene entzündliche Erkrankung der Aderhaut des Auges, die zwischen der Netzhaut und der Lederhaut liegt. „Je nach der entzündeten anatomischen Struktur kann diese Erkrankung in die Subtypen anteriore, intermediäre, posteriore und Panuveitis eingeteilt werden. Die genaue Diagnosestellung von Uveitis posterior und Panuveitis kann herausfordernd sein, da es viele verschiedene und zum Teil äußerst seltene Unterformen gibt“, erklärt Privatdozent Dr. Maximilian Wintergerst von der Augenklinik des Universitätsklinikums Bonn (UKB), der auch an der Universität Bonn forscht. In der Übersichtsarbeit zeigen die Forschenden aus Bonn, Berlin Münster und Mannheim nun auf, wie die Bildgebung mittels Fundusautofluoreszenz (FAF) bei der Diagnosestellung und dem Monitoring mancher Uveitis posterior Formen unterstützt.
FAF liefert Hinweise auf aktive Entzündungen
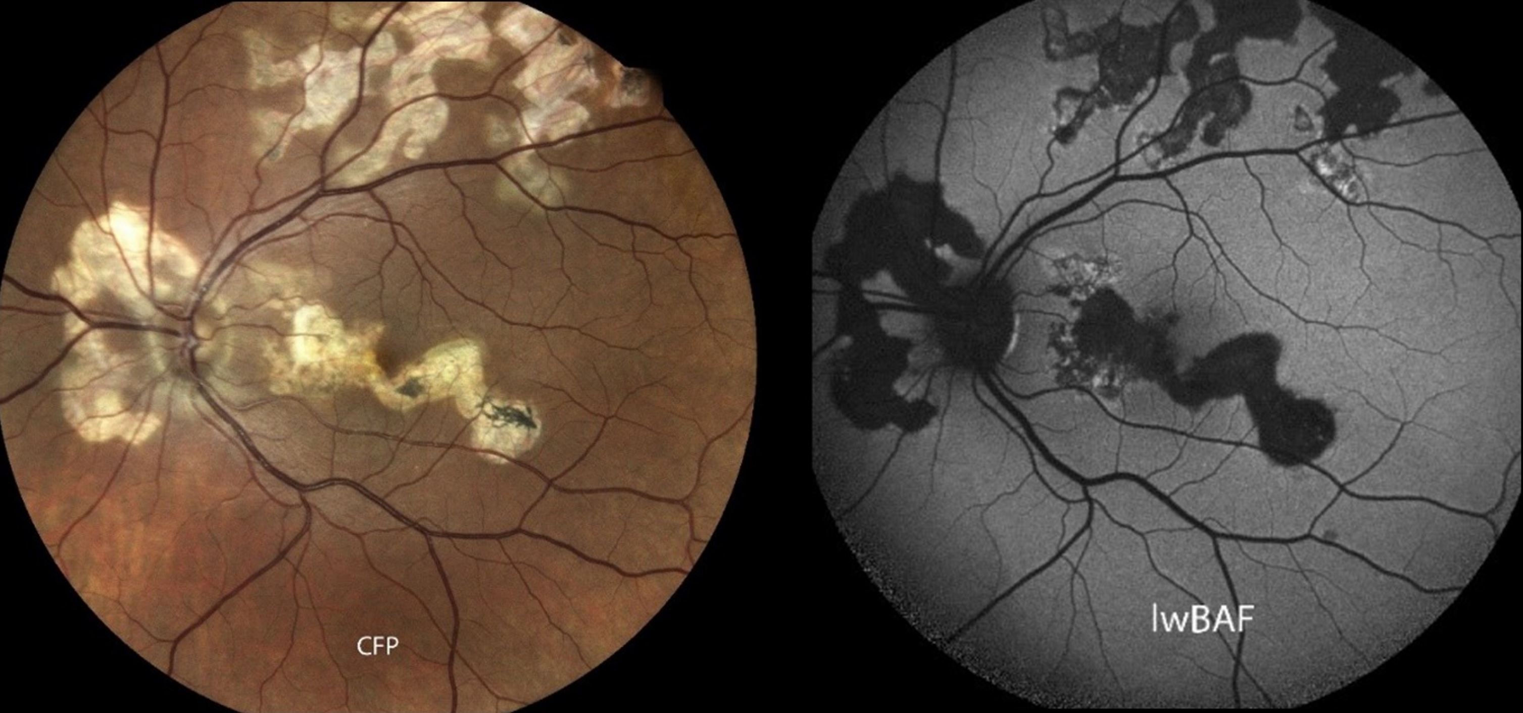
Die Fundusautofluoreszenz ist eine nicht-invasive Methode zur Bildgebung des Augenhintergrundes. „Durch Licht genau definierter Wellenlänge, werden sogenannte Fluorophore in den Gewebeschichten des Auges zum Leuchten angeregt. Die Verteilung dieser Fluorophore, die Intensität des Leuchtsignals sowie bestimmte entstehende Leuchtmuster können Rückschlüsse auf die zugrundeliegende Uveitis Form geben“, erklärt Wintergerst. In unklaren Fällen kann dies dabei helfen, die korrekte Diagnose zu stellen. „Darüber hinaus kann uns das Autofluoreszenzsignal bei bestimmten Uveitis-Formen auch Hinweise zum aktuellen Entzündungszustand liefern. So gehen stark leuchtende Bereiche in der Netzhaut teilweise mit aktiver Entzündung einher, während dunklere Bereiche Hinweise auf inaktive Entzündung sein können“, ergänzt Privatdozent Dr. Matthias Mauschitz, Leiter der Uveitis-Sprechstunde am UKB.
Genutzte Wellenlänge nimmt Einfluss auf das Ergebnis
„Je nach benutzter Wellenlänge, kann sich das Autofluoreszenzsignal aus der Netz- und Aderhaut deutlich unterscheiden. So können abhängig von der Anregungswellenlänge Läsionen in unterschiedlichen Tiefen und damit verschiedene Bereiche abgebildet werden“, erklärt Mauschitz. Ergänzend zu ihrer Übersichtsarbeit haben die Forschenden eine Fallserie einbezogen, in der sie die Autofluoreszenz verschiedener Wellenlängen vergleichen. Es zeigt sich insgesamt, dass die Kombination verschiedener Wellenlängen zusätzliche Hinweise auf die zugrundeliegende Uveitis-Form geben kann.
Kombination verschiedener Wellenlängen liefert zusätzliche Hinweise
Mit ihrer Arbeit möchte das Forscherteam auf die, bei manchen Uveitis-Formen sehr hilfreiche, Bildgebung der Autofluoreszenz hinweisen und neue Ansätze für zukünftige Forschung, wie die Kombination von Autofluoreszenz-Bildgebung verschiedener Wellenlängen, aufzeigen. „Die Fundusautofluoreszenz hat einen wichtigen Stellenwert bei der Diagnosestellung und dem Monitoring von Uveitis posterior und Panuveitis. Bei einigen bestimmten Uveitis-Unterformen kann sie darüber hinaus wichtige Hinweise auf ein Wiederaufflammen von Entzündungsaktivität liefern“, fasst Wintergerst zusammen.
Beteiligte Institutionen und Finanzierung:
Neben dem UKB und der Universität Bonn sind das Sankara Eye Hospital Shimoga in Indien, das Augenzentrum Grischun in der Schweiz, das St. Franziskus-Hospital Münster, die Universität Duisburg-Essen, die Charité in Berlin und die Universitätsmedizin Mannheim beteiligt. Das Projekt wurde von Mitteln des BONFOR GEROK Programmes der Medizinischen Fakultät der Universität Bonn (Förderkennziffer O-137.0028) und der Ernst und Berta Grimmke Stiftung (Förderkennziffer 3/22) unterstützt. 
Publikation: 
Matthias M. Mauschitz, Markus Zeller et al: Fundus Autofluorescence in Posterior and Panuveitis - An Under-Estimated Imaging Technique: A Review and Case Series; Biomolecules; DOI: 10.3390/biom14050515
Link: https://www.mdpi.com/2218-273X/14/5/515
Pressekontakt:
Dr. Inka Väth
stellv. Pressesprecherin am Universitätsklinikum Bonn (UKB)
Stabsstelle Kommunikation und Medien am Universitätsklinikum Bonn
Telefon: (+49) 228 287-10596
E-Mail: inka.vaeth@ukbonn.de
Zum Universitätsklinikum Bonn: Im UKB werden pro Jahr etwa 500.000 Patient*innen betreut, es sind ca. 9.000 Mitarbeiter*innen beschäftigt und die Bilanzsumme beträgt 1,6 Mrd. Euro. Neben den 3.500 Medizin- und Zahnmedizin-Studierenden werden pro Jahr 550 Personen in zahlreichen Gesundheitsberufen ausgebildet. Das UKB steht im Wissenschafts-Ranking sowie in der Focus-Klinikliste auf Platz 1 unter den Universitätsklinika (UK) in NRW und weist den dritthöchsten Case Mix Index (Fallschweregrad) in Deutschland auf. Das F.A.Z.-Institut hat das UKB 2022 und 2023 als begehrtesten Arbeitgeber und Ausbildungs-Champion unter den öffentlichen Krankenhäusern in Deutschland ausgezeichnet.
Wissenschaftlicher Ansprechpartner:
                                Priv.-Doz. Dr. med. Maximilian W. M. Wintergerst
Augenklinik des Universitätsklinikums Bonn
E-Mail: Maximilian.Wintergerst@ukbonn.de
Originalpublikation:
                                Matthias M. Mauschitz, Markus Zeller et al: Fundus Autofluorescence in Posterior and Panuveitis - An Under-Estimated Imaging Technique: A Review and Case Series; Biomolecules; DOI: 10.3390/biom14050515
                                
Weitere Informationen:
                                                                    https://www.mdpi.com/2218-273X/14/5/515 Publikation
                                	
                                
Die semantisch ähnlichsten Pressemitteilungen im idw