Long-term inflammation raises questions about white snus
Painful inflammation that takes months or up to a year to heal – this can be seen in the mouth after using white snus. Researchers in oral medicine at the University of Gothenburg will now look more closely at the effects of the popular white snus.
The study is the result of patient cases that have started to be seen within university dental care following referrals from dental clinics. The patients have gum damage extremely different to that seen in those who use traditional brown, tobacco-based snus.
At the same time, high user figures for white snus are noted among young people. According to previously unpublished data from the latest national survey from the SOM Institute at the University of Gothenburg, 25 percent of people aged 16-29 regularly use white snus. Among women aged 16-29, the proportion is 27 percent.
Greater concern about white snus
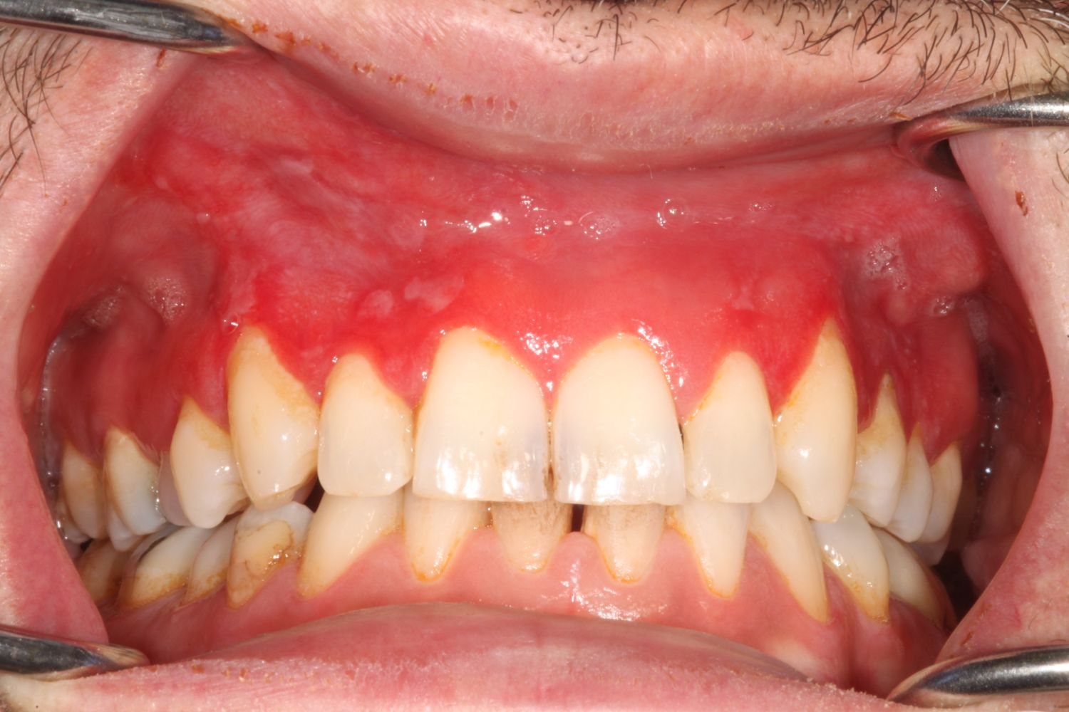
Brown snus users often develop wrinkled mucosa with a white-colored thickening where the snus is placed. Some white snus users, on the other hand, have painful and distinctly red-colored changes to the gums. In certain cases, ulcers can also appear where the white snus is placed against the mucosa.
"We're more concerned about these lesions. They're completely different, with redness and thinning of the mucous membrane. Tissue samples have revealed severe inflammation, and we recommend that users stop using snus immediately if they develop problems or notice changes," says dr Gita Gale, specialist dentist and one of the researchers behind the study.
The lesions associated with white snus use also seem to heal more slowly. Among brown snus users, once they stop using it, their gums usually recover within a few weeks. With white snus, however, the damage has been seen to last for several months, even as much as a year.
Changes and risk factors
Research on white snus is currently limited. This new study is financed with independent research funds and will not accept external funding linked to tobacco products or white snus.
The study's recruitment base comprises Västra Götaland via specialist dental clinics at various hospitals in the region. So far, some 40 patients have been recruited to the study, all with oral mucosal lesions following white snus use.
The researchers will investigate the different types of mucosal changes that white snus can cause and the associated risk factors. They will also study the severity of any inflammation and tissue changes.
The results will be compared to the available data for brown snus. The study will even include a control group of non-users with healthy oral mucosa, with biopsies taken from the parts of the mouth where users normally place their snus.
Widespread use – lack of knowledge
The study will continue for at least five years, with the gradual inclusion of additional study participants. One key driver is the widespread use of white snus among young people, particularly among women.
"White snus use, especially among young people, is alarmingly high given how little we know about the long-term consequences of its use," says dr Gita Gale.
Dr Gita Gale, PhD, specialist and senior lecturer in oral medicine at the University of Gothenburg, is leading the research study together with oral pathologist Jenny Öhman, associate professor and senior lecturer in oral pathology at the University of Gothenburg.
Fact Box-1: About the White Snus
-Contains nicotine extracted from tobacco leaves, cellulose (binder and bulking agent), sodium alginate (thickener), salt, sodium carbonate, flavorings, and sweeteners.
-Often has a high pH value, an effect of the sodium carbonate, which allows the nicotine to penetrate the mucosa more quickly and enter the bloodstream, resulting in stronger nicotine kicks.
-Has been on the market for ten years. Classified as tobacco-free and not subject to Sweden's Act on Tobacco and Similar Products. Cannot be sold to anyone under 18 and marketing is regulated.
Source: Institute of Odontology at the University of Gothenburg
Fact Box-2: White snus habits in Sweden
-9% of adults, aged 16 and over, report using white snus at least once a month (regular use) compared to 16% for snus in general.
-8% of women and 10% of men regularly use white snus, compared to 9% of women and 24% of men for snus in general.
-Use of white snus is most widespread in the 16-29 age group (25%), clearly more than in the 30-49 age group (12%), 50-64 (7%) and 65 years or older (3%).
Source: The SOM Institute at the University of Gothenburg
The snus habits of Swedes have been included in the national SOM survey since 1992. The use of specific white snus was studied for the first time in the autumn of 2024. The question was then sent to a random sample of 3,750 people taken from the Swedish Population Register. The survey's net response rate was 51 percent.
Wissenschaftlicher Ansprechpartner:
Gita Gale, tel. +46 763 41 43 34, email gita.gale@odontologi.gu.se
Weitere Informationen:
https://www.gu.se/en/news/long-term-inflammation-raises-questions-about-white-snus
Die semantisch ähnlichsten Pressemitteilungen im idw