Beyond classic stress signalling: how mitochondrial stress softens the cell nucleus and alters cellular identity
A University of Cologne research team has discovered that cells in high-energy-demanding tissues respond to mitochondrial dysfunction in a surprising way. Instead of shutting down, cells adjust their metabolism to produce a particular molecule, which alters the mechanics of the cell nucleus to cope with stress / publication in „Nature Metabolism“
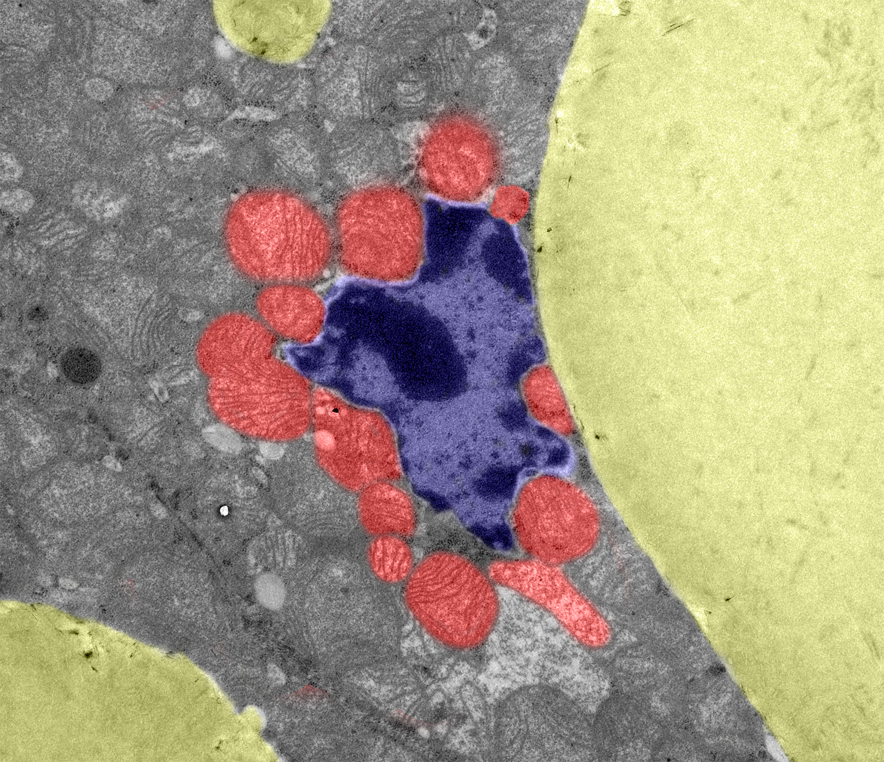
Mitochondria are specialized structures within cells that are primarily responsible for energy production but that also play a key role in how cells respond and adapt to stress. When their function fails, particularly in energy-demanding tissues like brown fat, the entire organism must adapt.
Using a mouse model with defects on mitochondrial quality control, researchers found out that, instead of shutting down, cells in this tissue respond to mitochondrial dysfunction by mounting a sophisticated metabolic response, rewiring key enzymes to generate the metabolic product D-2HG. The study, led by Professor Dr Aleksandra Trifunovic at the CECAD Cluster of Excellence for Aging Research in close collaboration with Professor Dr Christian Frezza (CECAD) and Sara Wickstrom (Max-Planck-Institute for Molecular Biomedicine, Münster) was published under the title “2-hydroxyglutarate mediates whitening of brown adipocytes coupled to nuclear softening upon mitochondrial dysfunction” in Nature Metabolism.
The metabolite D-2HG, which was previously associated with tumour progression in certain types of cancer, has a different role in this context. By modifying the way DNA is packed inside the cell nucleus, changing how and which genes are turned on, and even reshaping the nuclear envelope, it promotes adaptation to the deficient mitochondrial function. This response helps the tissue survive stress, but also changes its identity and structure.
“What is striking is that D-2HG, typically viewed as harmful, may have an adaptive function in certain contexts,” says first author Dr Harshita Kaul. “We are only beginning to uncover how mitochondria signal to the rest of the cell under duress.”
The team also investigated one of the lesser-known aspects of mitochondria: how they help maintain the healthy function of brown fat, a special type of fat that helps regulating body temperature and metabolism by burning energy to generate heat. When mitochondria do not function properly, this tissue shifts into a less active state where it begins to resemble regular white fat, a process known as "whitening". Elevated levels of D-2HG also led to increased whitening of brown fat, a sign of altered cellular identity.
“This metabolite-driven rewiring seems to run parallel to a broader stress response mechanism we call mitochondrial integrated stress response,” explains senior author Professor Aleksandra Trifunovic. “But what we discovered goes beyond classic stress signalling. The production of D-2HG creates a bridge between mitochondrial dysfunction and the mechanics of the cell nucleus, an unexpected form of cross-talk that changes how we think about adaptation in metabolically active, postmitotic tissues.”
These results suggest that nuclear stiffness could serve as a downstream marker of mitochondrial signalling, metabolic stress and cellular state, laying the groundwork for novel diagnostic tools, especially for metabolic diseases and age-associated disorders. Researchers are now trying to figure out whether this pathway is similarly active in other tissues, such as the heart and brain, and how it might be targeted therapeutically.
Wissenschaftlicher Ansprechpartner:
Professor Dr Aleksandra Trifunovic
CECAD Cluster of Excellence in Aging Research
+49 221 478-84291
aleksandra.trifunovic@uk-koeln.de
Originalpublikation:
https://www.nature.com/articles/s42255-025-01332-8
Die semantisch ähnlichsten Pressemitteilungen im idw
