Wie Stresssignale den Zellkern aufweichen und die Zelle verändern
Ein Forschungsteam der Universität zu Köln hat herausgefunden, dass Zellen in Geweben mit hohem Energiebedarf anders als üblich auf mitochondriale Fehlfunktionen reagieren. Anstatt sich abzuschalten, passen die Zellen ihren Stoffwechsel als Antwort auf die Stresssignale an und produzieren ein bestimmtes Molekül, das die Funktionen des Zellkerns verändert / Veröffentlichung in „Nature Metabolism“
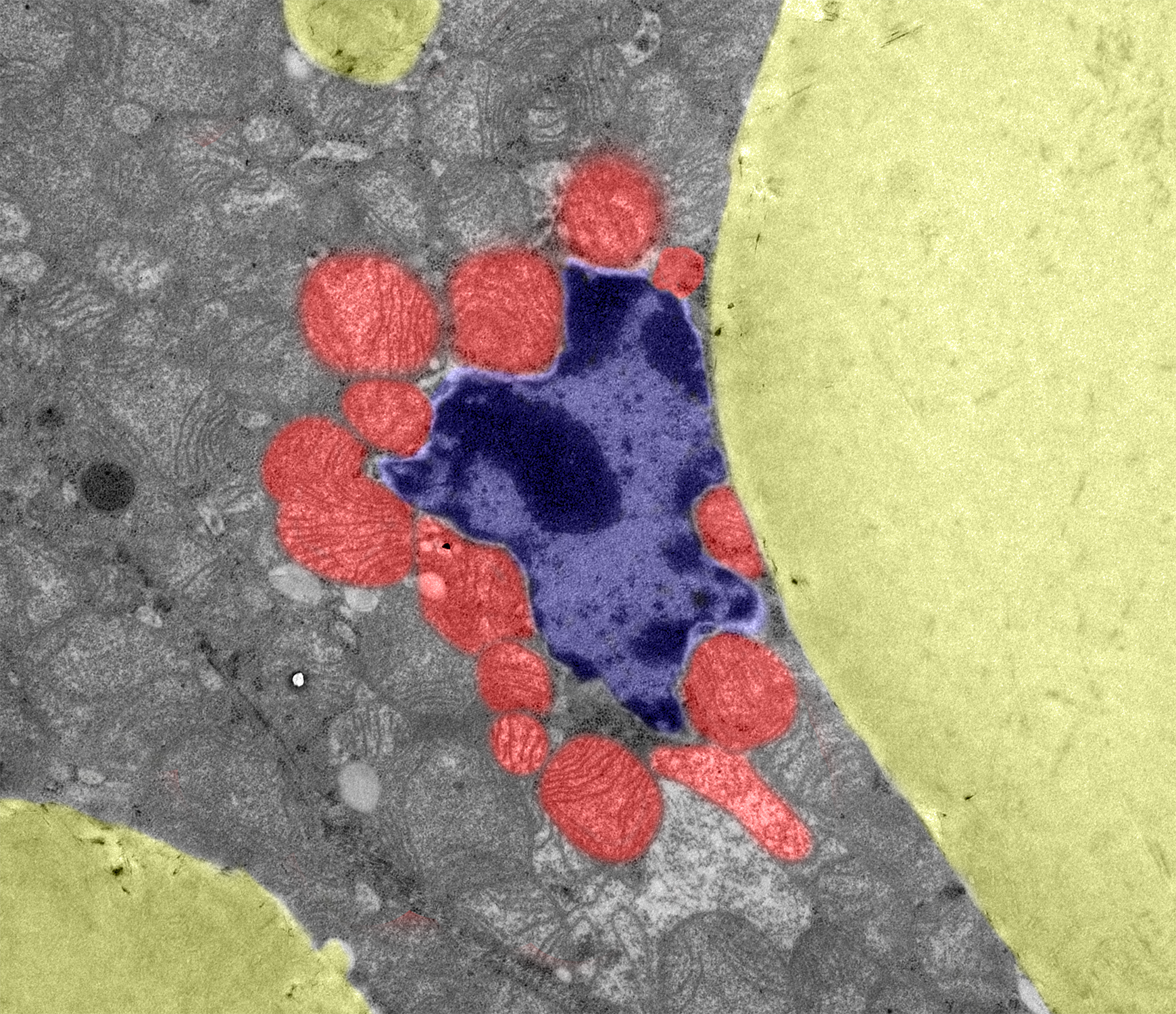
Mitochondrien sind spezialisierte Bestandteile von Zellen, die in erster Linie für die Energieproduktion zuständig sind, aber auch eine Schlüsselrolle dabei spielen, wie Zellen auf Stress reagieren und sich anpassen. Wenn Mitochondrien nicht mehr funktionieren, insbesondere in Gewebe mit einem hohen Energiebedarf wie dem braunen Fettgewebe, muss sich der gesamte Organismus anpassen.
Die Wissenschaftler*innen fanden im Mausmodell mit fehlerhafter mitochondrialer Qualitätskontrolle heraus, dass die braunen Fettzellen auf die Funktionsstörung der Mitochondrien mit einer ausgeklügelten Stoffwechselreaktion reagieren: Anstatt sich abzuschalten, werden Schlüsselenzyme neu geordnet, um das Stoffwechselprodukt D-2HG herzustellen. Die Studie „2-hydroxyglutarate mediates whitening of brown adipocytes coupled to nuclear softening upon mitochondrial dysfunction“ unter der Leitung von Professorin Dr. Aleksandra Trifunovic vom Exzellenzcluster für Alternsforschung CECAD in Zusammenarbeit mit Professor Dr. Christian Frezza (CECAD) und Professorin Sara Wickstrom (Max-Planck-Institut für molekulare Biomedizin, Münster) wurde in Nature Metabolism veröffentlicht.
Das Stoffwechselprodukt D-2HG, das zuvor mit dem Fortschreiten bestimmter Krebsarten in Verbindung gebracht wurde, fördert in diesem Zusammenhang die Anpassung an die mitochondriale Dysfunktion. Es verändert die Struktur der DNA-Verpackung im Zellkern, reguliert, welche Gene aktiviert werden, und beeinflusst sogar die Stabilität der Zellkernhülle. Diese Reaktion hilft dem Gewebe, den Stress zu überleben, verändert aber auch seine Identität und Struktur.
„Es ist erstaunlich, dass D-2HG, das normalerweise als schädlich angesehen wird, in bestimmten Kontexten eine adaptive Funktion haben kann“, sagt Erstautorin Dr. Harshita Kaul. „Wir beginnen gerade erst zu verstehen, wie Mitochondrien unter Zwang Signale an den Rest der Zelle senden.“
Das Team untersuchte außerdem einen der weniger bekannten Aspekte der Mitochondrien: wie sie zur Aufrechterhaltung der gesunden Funktion des braunen Fettgewebes beitragen. Braunes Fettgewebe ist die Fettart, die durch Energieverbrennung Wärme erzeugt und so zur Regulierung von Körpertemperatur und Stoffwechsel beiträgt. Wenn die Mitochondrien nicht richtig funktionieren, geht dieses Gewebe in einen weniger aktiven Zustand über und ähnelt somit normalem weißen Fett. Dieser Prozess nennt sich „Whitening“. Bei einem erhöhten D-2HG-Spiegel konnte eine verstärkte Aufhellung des braunen Fettgewebes nachgewiesen werden, ein Zeichen für eine veränderte Zellidentität.
„Diese stoffwechselbedingte Neuordnung scheint parallel zu einem umfassenderen Stressreaktionsmechanismus zu verlaufen, den wir als mitochondriale integrierte Stressreaktion bezeichnen“, erklärt Professorin Aleksandra Trifunovic, Leiterin der Studie. „Aber was wir entdeckt haben, geht über die klassische Stresssignalisierung hinaus. Die Produktion von D-2HG schlägt eine Brücke zwischen der mitochondrialen Dysfunktion und der Mechanik des Zellkerns; eine unerwartete Form des Cross-Talks, die unser Verständnis von Anpassung in stoffwechselaktiven Geweben verändert.“
Diese Ergebnisse deuten darauf hin, dass die Stabilität des Zellkerns als nachgeschalteter Marker für mitochondriale Signale, Stoffwechselstress und den Zellzustand dienen könnte. Dies könnte die Grundlage für neuartige Diagnoseinstrumente bilden, insbesondere für Stoffwechselkrankheiten und altersbedingte Störungen. Die Wissenschaftler*innen versuchen nun herauszufinden, ob dieser Signalweg in anderen Geweben wie dem Herzen und dem Gehirn ähnlich aktiv ist und wie er therapeutisch genutzt werden könnte.
Wissenschaftlicher Ansprechpartner:
Professor Dr. Aleksandra Trifunovic
CECAD Exzellenzcluster für Alternsforschung
0221 478 - 84291
aleksandra.trifunovic@uk-koeln.de
Originalpublikation:
https://www.nature.com/articles/s42255-025-01332-8
Die semantisch ähnlichsten Pressemitteilungen im idw
